Paciente do sexo masculino, 33 anos, apresentava múltiplas pápulas eritemato‐acastanhadas de 1 a 5mm, disseminadas nos membros superiores, tronco e coxas (fig. 1). À dermatoscopia, havia presença de rede periférica com área homogênea rósea central (fig. 2). O início do quadro se deu há dois anos, quando o paciente procurou outro serviço e recebeu diagnóstico de sífilis secundária, comprovado por testes não treponêmico (VDRL 1:64) e treponêmico (FTA‐ABS positivo). O paciente foi tratado em duas ocasiões com três doses de penicilina benzatina, sem melhora do quadro cutâneo (VDRL após tratamentos, 1:16). Foram feitas as hipóteses diagnósticas de angio‐histiocitoma de células multinucleadas (ACM) generalizado e dermatofibromas eruptivos.
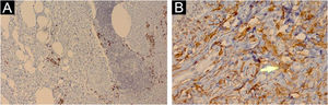
O estudo anatomopatológico evidenciou vasos capilares proliferados com ectasia do lúmen (fig. 3A) e células gigantes multinucleadas com citoplasma amplo entremeadas por fibroblastos, linfócitos e histiócitos (fig. 3B e C). O exame imuno‐histoquímico mostrou imunoexpressão do marcador CD138 na membrana citoplasmática dos plasmócitos intersticiais que permeavam os agregados linfoides (fig. 4A), imunoexpressão citoplasmática do marcador fator XIIIa nas células gigantes multinucleadas espiculadas (fig. 4B), do marcador CD68 e CD163 positiva nos histiócitos dérmicos e negativa nas células endoteliais, do CD31 no componente vascular e imunoexpressão negativa do S100, definindo diagnóstico de ACM.
(A) Na derme reticular superficial, observam‐se vasos capilares proliferados com ectasia do lúmen (Hematoxilina & eosina, 40×). (B) Em algumas regiões, notam‐se células gigantes multinucleadas com citoplasma amplo entremeadas por fibroblastos, linfócitos e histiócitos (Hematoxilina & eosina, 400×). (C) Algumas células gigantes multinucleadas apresentam citoplasma espiculado (seta; Hematoxilina & eosina, 400×)
(A) Exame imuno‐histoquímico mostrando imunoexpressão do marcador CD138 na membrana citoplasmática dos plasmócitos intersticiais que permeiam os agregados linfoides (100×). (B) Imunoexpressão citoplasmática do marcador fator XIIIa nas células gigantes multinucleadas espiculadas (seta; 400×)
Após esclarecimento do quadro, o paciente optou por não realizar tratamento com fins estéticos e retornou um ano depois com melhora significante espontânea do número, da pigmentação e do tamanho das lesões (fig. 5).
ACM é proliferação fibro‐histiocítica benigna rara, descrita em 1985.1 Frequentemente, apresenta‐se como pápulas eritêmato‐acastanhadas em forma de cúpula bem circunscritas agrupadas nas mãos, punhos, face ou pernas. Variantes localizadas, multifocais e generalizadas foram descritas; a variante localizada é a mais comum. Foram encontrados aproximadamente 150 casos descritos, dos quais apenas 15da variante generalizada.2 Há uma importante predileção pelo sexo feminino nas variantes localizadas e multifocais, enquanto na variante generalizada o acometimento é igual entre homens e mulheres.3
Desde a primeira descrição do ACM, várias hipóteses sobre etiologia e patogênese têm sido propostas. A maioria dos autores acredita ser um processo reativo, e relatos de remissão espontânea corroboram ainda mais essa hipótese.4,5 O caso relatado pode representar ACM manifestando‐se após infecção por Treponema pallidum. Outra teoria propõe que o ACM surge por influência de hormônios femininos em decorrência da identificação da expressão do receptor alfa de estrogênio nas células intersticiais e multinucleadas das lesões de parte dos pacientes.6 Essa teoria também explicaria por que o ACM ocorre mais frequentemente em mulheres nas variantes localizadas e multifocais. Já outros autores consideram o ACM uma variante do dermatofibroma7 ou ainda uma hipótese de associação com status imune alterado.2
À dermatoscopia, podem ser encontradas algumas semelhanças com o dermatofibroma, como áreas esbranquiçadas e de padrão reticulado fino periférico. Áreas avermelhadas difusas com bordas desfocadas, que provavelmente representam as dilatações vasculares características, também podem ser encontradas.8
No exame anatomopatológico, há proliferação de capilares dilatados, estroma fibroso com feixes de colágeno espessados e presença de células gigantes multinucleadas. A epiderme suprajacente pode ser normal ou hiperplásica. Foram descritos critérios para o diagnóstico de ACM; a presença de pelo menos três dos critérios no contexto clínico adequado é altamente específica para ACM e torna possível a diferenciação de pápula fibrosa e dermatofibroma. Os critérios considerados foram: a) presença de fibroblastos atípicos e multinucleados com pelo menos dois núcleos; b) presença de fibrose dérmica paralela superficial; c) presença e espessamento de vasos dérmicos papilares superficiais; d) ausência de fibrose perifolicular.9
Em relação à imuno‐histoquímica, as células multinucleadas são tipicamente negativas para o fator VIII e CD34 e marcam positivamente para vimentina e fator XIIIa. Há uma correlação positiva entre a expressão positiva para CD68 das células endoteliais e o tamanho da lesão, e uma correlação inversa entre expressão positiva para CD68 nas células multinucleadas e o desenvolvimento de múltiplas lesões.4
O comportamento biológico do ACM é progressivo na maioria das vezes, mas benigno, e a melhora espontânea é rara. O tratamento pode ser realizado para fins estéticos. As opções terapêuticas disponíveis atualmente incluem corticosteroides tópicos ou intralesionais, excisão cirúrgica, crioterapia, laser de argônio, luz intensa pulsada e laser de CO2.10
Descrevemos um caso raro de ACM possivelmente desencadeado por infecção por T. pallidum e suspeitado pelos achados dermatoscópicos. Por ser raro, torna‐se importante seu reconhecimento por dermatologistas e patologistas para melhor abordagem e orientação ao paciente. Múltiplas opções de tratamento estão disponíveis para melhorar o aspecto estético, a maioria corroborada por relatos de casos.
Suporte financeiroNenhum.
Contribuição dos autoresPatricia Mayumi Ogawa: Concepção e planejamento do estudo; Elaboração e redação do manuscrito; Obtenção, análise e interpretação dos dados; Revisão crítica da literatura.
Maria Cristina Arci Santos: Aprovação da versão final do manuscrito; Elaboração e redação do manuscrito; Obtenção, análise e interpretação dos dados; Participação efetiva na orientação da pesquisa; Revisão crítica do manuscrito.
Nilceo Schwery Michalany: Aprovação da versão final do manuscrito; Obtenção, análise e interpretação dos dados; Participação intelectual em conduta propedêutica e/ou terapêutica de casos estudados; Participação efetiva na orientação da pesquisa; Revisão crítica do manuscrito.
Renato Shintani Hikawa: Aprovação da versão final do manuscrito; obtenção, análise e interpretação dos dados; Concepção e planejamento do estudo; Participação intelectual em conduta propedêutica e/ou terapêutica de casos estudados; Participação efetiva na orientação da pesquisa; Revisão crítica do manuscrito.
Conflito de interessesNenhum.
Os autores agradecem à Dra. Mílvia Maria Simões e Silva Enokihara pela análise, interpretação e fotografia dos dados anatomopatológicos e pela participação efetiva na orientação do trabalho.






