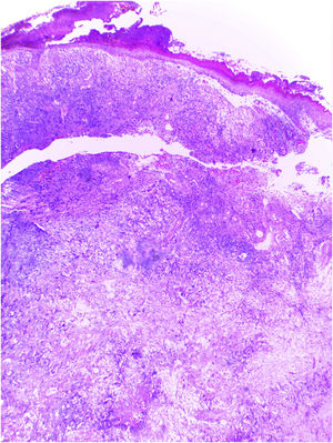
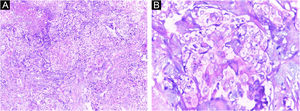
Mulher caucasiana, 54 anos de idade, fototipo Fitzpatrick II, com queixa de lesão dolorosa na região malar direita, de crescimento rápido e comportamento agressivo, surgida havia três meses. Paciente residente em zona rural, agricultora, com relato de exposição solar crônica decorrente do trabalho. Após questionada, negou histórico de trauma no local da lesão, neoplasias cutâneas prévias, imunossupressão e exposição à radiação artificial. Ao exame dermatológico, foi visualizada placa eritematosa infiltrada e dolorosa com exsudação, crostas, ulceração e telangiectasias com extensão para asa nasal direita (fig. 1). Também foi identificado dano cutâneo por exposição solar crônica, manifestado por xerose, melanoses, elastose solar, ceratoses actínicas e perda da elasticidade da pele da face, tórax anterossuperior e membros superiores. As hipóteses diagnósticas iniciais foram carcinoma basocelular terebrante e carcinoma espinocelular invasor. Realizada biopsia incisional da lesão, cujo estudo anatomopatológico evidenciou proliferação maligna epitelioide com ilhas de células claras e áreas de necrose, além de algumas células com citoplasma vacuolado, sugestivo de neoplasia sebácea (fig. 2). Raros focos de queratinização foram identificados, sugerindo carcinoma espinocelular (fig. 3). Coloração especial por PAS com e sem diastase revelou presença de glicogênio citoplasmático, excluindo a possibilidade de diferenciação sebácea.
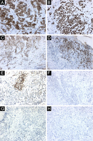
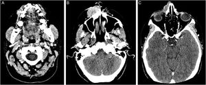
A análise imuno‐histoquímica revelou marcadores positivos para citoqueratina 5/6 e p63; BerEp4, EMA e fator XIIIa focalmente positivos; com adipofilina, receptor de andrógeno e CEA negativos (fig. 4), confirmando a origem escamosa da neoplasia. A tomografia computadorizada da face e do pescoço evidenciou lesão expansiva sólida com ampla ulceração superficial e intenso realce heterogêneo pelo meio de contraste, estendendo‐se pela asa nasal e região maxilar direitas. Notada destruição óssea nasal e do seio maxilar direito, com proximidade à órbita direita e à raiz dentária do canino superior direito (fig. 5). Nenhuma metástase foi encontrada nos exames de imagem. Considerando a extensão da lesão, as equipes de oncologia e cirurgia de cabeça e pescoço optaram por realização de quimioterapia neoadjuvante e avaliação posterior de abordagem cirúrgica.
Achados imuno‐histoquímicos. (A) Positividade das células neoplásicas para citoqueratina 5/6. (B) Positividade das células neoplásicas para p63. (C) Positividade focal para BerEp4. (D) Positividade focal para EMA. (E) Positividade focal para fator XIIIa. (F) Negatividade de células neoplásicas para adipofilina. (G) Negatividade de células neoplásicas para receptor de andrógeno. (H) Negatividade de células neoplásicas para CEA
(A) Tomografia computadorizada da face e do pescoço: proximidade da neoplasia à raiz dentária do canino superior direito. (B) Tomografia computadorizada da face e do pescoço: lesão expansiva sólida com ampla ulceração superficial, estendendo‐se pela asa nasal e região maxilar direita, medindo 3,6×1,9×4,5cm. (C) Tomografia computadorizada da face e do pescoço: destruição óssea nasal e extensão superior, próxima à órbita direita. O tumor apresenta realce intenso e heterogêneo ao meio de contraste
O carcinoma espinocelular cutâneo (CEC) é classificado em muitos subtipos, com ampla variedade de manifestações clínicas, desde crescimento indolente até tumores agressivos com significante potencial metastático.1 A categoria indeterminada inclui: CEC com células em anel de sinete, CEC folicular, CEC papilar, CEC oriundo de cistos anexiais, carcinoma ductal écrino com diferenciação escamosa e CEC com diferenciação de células claras.1
O CEC de células claras é doença rara com etiologia ainda incompletamente esclarecida. Essa variante foi descrita em 1980 por Kuo.2 Desde então, cerca de dez artigos foram publicados sobre essa neoplasia,2–9 nenhum no Brasil (tabela 1).
Resumo de casos publicados de carcinoma espinocelular cutâneo invasor com diferenciação de células claras
| Autor/ano | Idade (anos)/ gênero | Profissão | Localização da lesão | Tempo de evolução | Descrição clínica | Tratamento | Seguimento |
|---|---|---|---|---|---|---|---|
| Kuo, 19802 | 75, M | Mecânico | Malar direita | Vários meses | 1×1,4cm, nódulo ulcerado | Excisão | Nenhuma recorrência após 22 meses |
| 65, F | Operador | Mandíbula à esquerda | 2 meses | 2×3cm, massa dolorosa | Hemimandibulectomia | Morte um ano após, por recidiva local extensa | |
| Dissecção cervical radical | |||||||
| Radioterapia | |||||||
| 70, M | Agricultor | Ângulo da mandíbula esquerda | 2 meses | 2cm, massa elevada indolor | Excisão | Recorrência e reabordagem após três meses. Nenhuma outra recidiva após 21 meses | |
| 80, M | Agricultor | Ângulo da mandíbula direita | 4 meses | 1,5×2cm, massa elevada | Injeção de esteroide | Nenhuma recorrência após 22 meses | |
| Excisão | |||||||
| Radioterapia | |||||||
| 52, M | Técnico de futebol | Ângulo da mandíbula esquerda | 4 meses | 4×5mm, massa indolor | Excisão local | Nenhuma recorrência após 33 meses | |
| Parotidectomia | |||||||
| Excisão cervical radical | |||||||
| 72, M | Inspetor de fazenda | Região cervical esquerda | 10 meses | Massa ulcerada, extensa e friável na região cervical esquerda | Excisão incompleta | Morte no pós‐operatório por pneumonia | |
| Requena et al., 19913 | 62, M | ‐ | Malar direita | 6 meses | 2cm, nódulo | Excisão | ‐ |
| Corbalán‐Vélezet al., 20094 | 7 pacientes (M e F) | Nenhuma informação individual específica | |||||
| Lawal et al., 20136 | 62, M | Pedreiro | Região esquerda da face | 6 meses | 16 cm, larga massa exofítica | Paciente optou por não realizar tratamento | ‐ |
F, feminino; M, masculino.
O CEC geralmente manifesta‐se em áreas fotoexpostas de homens caucasianos em idade avançada, com histórico de exposição solar crônica e múltiplas neoplasias cutâneas.2,6,8 A maioria dos trabalhos na literatura descreve lesões na cabeça e no pescoço, algumas de crescimento rápido.8 No presente caso, foi identificada lesão com crescimento rápido e comportamento agressivo na face de mulher de 54 anos, com histórico de exposição solar crônica e nenhuma neoplasia cutânea prévia.
O CEC de células claras pode ser classificado em três variantes: queratinizante (tipo I), não queratinizante sem conexão com a epiderme (tipo II) e pleomórfico (tipo III).2 Achados histológicos do presente relato são compatíveis com a variante queratinizante (tipo I), de acordo com Kuo.2 Em 2007, nova classificação foi proposta de acordo com a quantidade de células claras no anatomopatológico: casos com ≥ 80% de células claras representam CEC de células claras; casos com <80% e ≥ 50% são definidos como CEC com alteração marcada de células claras; e casos com <50% e >10% são descritos como CEC com alteração moderada de células claras.5 Por essa classificação, a neoplasia apresentada pode ser identificada como CEC com alteração marcada de células claras.
Ao exame anatomopatológico, as células claras atípicas apresentam evidente pleomorfismo nuclear, focos de diferenciação escamosa e áreas de acantólise, com algumas células disceratóticas em meio a espaços pseudoglandulares.1 O principal diagnóstico diferencial é o carcinoma sebáceo, que é marcado por células de citoplasma vacuolado, contendo lipídios, com positividade para fator XIIIa, EMA, adipofilina, receptor de androgênio, citoqueratinas AE1/AE3 e perilipina na imuno‐histoquímica.1,10 Neste relato de caso, o estudo imuno‐histoquímico revelou intensa positividade para citoqueratina 5/6 e p63, com positividade focal para BerEp4, EMA e fator XIIIa. Adipofilina e receptor de androgênio foram negativos (fig. 4). Outros diagnósticos diferenciais incluem triquilemoma, acantoma de células claras, tumor pilar, nevo de células balonizantes, melanoma de células balonizantes e carcinoma metastático renal.6 A cirurgia micrográfica de Mohs é o tratamento de escolha para o CEC de cabeça e pescoço.
É difícil definir o prognóstico dessa variante rara, visto que poucos casos foram publicados na literatura até 2022. Cohen et al. (2008) sugeriram que a infecção por papilomavírus humano (HPV) pode estar associada à oncogênese do tumor, porém apenas dois casos descritos estiveram ligados aos vírus.9 Novos estudos são necessários para elucidar o comportamento do CEC de células claras.
Descrevemos um caso atípico em mulher de 54 anos apresentando neoplasia facial compatível com CEC de células claras, simulando histologicamente carcinoma sebáceo. Tanto o dermatologista quanto o dermatopatologista devem estar atentos às peculiaridades dessa variante de CEC, cujo crescimento foi rápido e bastante agressivo no caso relatado.
Suporte financeiroNenhum.
Contribuição dos autoresEmily Neves Souza: Concepção e planejamento do estudo; elaboração e redação do manuscrito; obtenção, análise e interpretação dos dados; revisão crítica da literatura; revisão crítica do manuscrito.
Lucia Martins Diniz: Concepção e planejamento do estudo; participação efetiva na orientação da pesquisa; participação intelectual em conduta propedêutica e/ou terapêutica do caso estudado; revisão crítica da literatura; revisão crítica do manuscrito; aprovação da versão final do manuscrito.
Luana Amaral de Moura: Concepção e planejamento do estudo; elaboração e redação do manuscrito; obtenção, análise e interpretação dos dados; revisão crítica da literatura.
Alexandre Calegari Oliosi: Concepção e planejamento do estudo; elaboração e redação do manuscrito; obtenção, análise e interpretação dos dados; revisão crítica da literatura.
Marcela Scárdua Sabbagh de Azevedo: Concepção e planejamento do estudo; elaboração e redação do manuscrito; obtenção, análise e interpretação dos dados; revisão crítica da literatura.
Márgya Neves Souza: Concepção e planejamento do estudo; elaboração e redação do manuscrito; obtenção, análise e interpretação dos dados; revisão crítica da literatura.
Conflito de interessesNenhum.
Como citar este artigo: Souza EM, Diniz LM, Moura LA, Oliosi AC, Azevedo MSS, Souza MN. Invasive clear‐cell variant of squamous cell carcinoma mimicking sebaceous carcinoma. An Bras Dermatol. 2023;98:715–9.
Trabalho realizado no Ambulatório de Dermatologia, Hospital Universitário Cassiano Antônio Moraes, Universidade Federal do Espírito, Vitória, ES, Brasil.







