O colagenoma eruptivo é um nevo de tecido conjuntivo raro, que se apresenta como pápulas assintomáticas, múltiplas, discretas, firmes, discretamente elevadas, da cor da pele ou avermelhadas no tronco e extremidades. O presente relato descreve um caso raro de colagenoma eruptivo no dorso de um paciente juvenil com síndrome de Down.
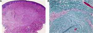
Um jovem de 14 anos com síndrome de Down e história prévia de anomalia anorretal veio ao Departamento queixando‐se de erupções assintomáticas nas costas. Não apresentava história familiar de nevos de tecido conjuntivo. O exame físico mostrou várias pápulas vermelho‐acastanhadas ou esbranquiçadas no dorso (fig. 1). Não havia lesões em outros locais. Uma das pápulas foi removida sob anestesia local. A histopatologia dessa lesão revelou áreas relativamente bem circunscritas, com aumento das fibras colágenas na derme superior e média (fig. 2A). A ausência de fibras elásticas em comparação com a derme circundante foi observada nas colorações de Elastica‐Masson (fig. 2B), Elastica van Gieson e Weigert. Foi feito o diagnóstico de colagenoma. Nenhum tratamento específico foi realizado.
Vários tipos de manifestação cutânea estão associados à síndrome de Down, incluindo eczema atópico, eczema seborreico, alopecia areata, vitiligo, psoríase, tinea, siringoma e calcinose cutânea semelhante a milia.1 Em contraste, distúrbios do tecido conjuntivo, como o colagenoma, nevos de tecido conjuntivo, anetodermia e elastose perfurante serpiginosa, são raros. O colagenoma eruptivo ou solitário é raramente observado em pacientes com síndrome de Down.2–4 Considerando os cinco pacientes relatados anteriormente e o paciente do presente relato, dois eram do sexo masculino e três eram pacientes pediátricos. A idade variou de 7 a 47 anos. Os locais acometidos foram região cervical, tórax, dorso, abdome, nádegas, virilha, região sacrococcígea, coxas, mãos e braços. Quatro pacientes desenvolveram lesões múltiplas, enquanto dois desenvolveram lesão única. A etiologia do colagenoma na síndrome de Down permanece desconhecida; entretanto, o envelhecimento prematuro em razão do reparo prejudicado do DNA ou metabolismo alterado dos radicais livres pode estar envolvido.1 O locus genético da superóxido dismutase, uma enzima chave no metabolismo dos radicais livres, está localizado no cromossomo 21. Além disso, na pele de fetos com trissomia 21, foi observada superexpressão de COL6A1 e arranjo irregular de colágeno tipo VI.5
O diagnóstico diferencial inclui principalmente elastorrexe papular e nevo anelástico. A elastorrexe papular ocorre durante a primeira ou segunda décadas de vida e apresenta‐se como pápulas assintomáticas, pequenas, não foliculares, de cor branco‐creme no tórax, abdome e dorso. A histopatologia mostra fibras elásticas fragmentadas. O nevo anelástico é um nevo adquirido caracterizado por pápulas perifoliculares e histopatologicamente, por fragmentação ou ausência de fibras elásticas. Os colagenomas podem ser encontrados em associação com condições hereditárias, como a neoplasia endócrina múltipla tipo 1 (MEN1). O presente caso não tinha história familiar de MEN1 ou tumores de glândulas paratireoides, pâncreas endócrino ou hipófise anterior. Em conclusão, o presente relato descreve um caso raro de colagenoma eruptivo em paciente adolescente com síndrome de Down. Mais estudos são necessários para elucidar o mecanismo do colagenoma associado à síndrome de Down.
Suporte financeiroNenhum.
Contribuição dos autoresYasunobu Kato: Desempenhou um papel na concepção, projeto, análise e aprovação; leu e aprovou a versão final do manuscrito.
Toshiyuki Yamamoto: Desempenhou um papel na concepção, análise, redação e aprovação; leu e aprovou a versão final do manuscrito.
Conflito de interessesNenhum.



