O fenômeno de Borst‐Jadassohn é um achado morfológico que consiste na presença de ninhos bem definidos de células localizados no estrato espinhoso de uma epiderme acantótica. Uma das neoplasias em que se encontra o fenômeno de Borst‐Jadassohn é o hidroacantoma simples. Essa neoplasia é considerada a forma intraepidérmica do poroma écrino. Apesar de sua natureza benigna, transformações malignas são relatadas. No presente artigo relata‐se um caso de hidroacantoma simples e faz‐se uma discussão sobre a dermatoscopia desse fenômeno pouco descrito e discutido.
O fenômeno de Borst‐Jadassohn (FBJ) é achado morfológico que consiste na presença de ninhos bem definidos de células localizadas no estrato espinhoso de uma epiderme acantótica. Algumas neoplasias, malignas ou benignas, podem apresentá‐lo, como a queratose seborreica (QS) clonal, a doença de Bowen (DB) clonal, a doença de Paget, o porocarcinoma ou o hidroacantoma simples (HS).
A distinção entre essas entidades, tanto do ponto de vista clínico quanto histopatológico, por vezes é um desafio. Tal fato pode trazer consequências, já que o manejo delas é diferente. A dermatoscopia do FBJ foi pouco relatada. Desse modo, achamos interessante fazer sua descrição no HS.
Relato do casoHomem, 88 anos, procurou o serviço de Dermatologia com queixa de lesão assintomática na região glútea direita, com tempo de evolução desconhecido.
Ao exame dermatológico, observou‐se uma placa rósea levemente elevada com limites irregulares, porém evidentes e com pequena área de exulceração (fig. 1). À dermatoscopia era possível observar, além da exulceração, várias estruturas arredondadas marrons e bem delimitadas, circundadas por vasos em ponto (figs. 2 e 3).
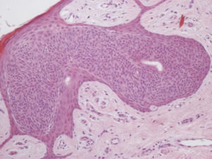
Fez‐se biópsia incisional da lesão com hipóteses diagnósticas de QS e DB. A histopatologia mostrou clones de células basaloides sem atipias em meio às células espinhosas (fig. 4). Foram consideradas as possibilidades de HS e QS clonal. A expressão de antígeno carcinoembrionário (CEA) e antígeno da membrana epitelial (EMA) nas células basaloides e em estruturas ductais presentes em meio a essas células, no exame imuno‐histoquímico, permitiu o diagnóstico de HS.
DiscussãoNo início do século XX, Borst e Jadassohn descreveram, de maneira independente, neoplasias que se caracterizavam por apresentar ninhos celulares bem demarcados localizados na epiderme. Acreditou‐se tratar de um tipo específico de tumor e cunhou‐se o nome de epitelioma intraepitelial de Borst‐Jadassohn. A partir de estudos morfológicos e imuno‐histoquímicos, a maioria dos autores, atualmente, acredita que essa entidade representa um fenômeno morfológico, não é específico de determinada neoplasia. Por isso, prefere‐se designá‐lo como FBJ. Conceitua‐se esse fenômeno como a presença de ilhas bem definidas de células epiteliais, típicas ou atípicas, dentro de uma epiderme acantótica que pode ser evidenciada em algumas condições benignas ou malignas.1
Uma das neoplasias em que se encontra o FBJ é o HS. Essa neoplasia é considerada a forma intraepidérmica do poroma écrino.2 Apesar de sua natureza benigna, transformações malignas são relatadas em alguns casos, o que leva à discussão se sua excisão precoce seria obrigatória.3
Clinicamente, é frequentemente confundido com QS. Essa confusão pode persistir na histopatologia e não é infrequente o diagnóstico inicial de QS clonal. Observa‐se uma proliferação intraepitelial bem circunscrita de células arredondadas e basofílicas muito semelhante ao que acontece nas QS clonal, que apresenta FBJ. À imuno‐histoquímica, a positividade para CEA e EMA nos casos de HS auxilia na diferenciação.4
Shiiya et al. descreveram quatro casos de HS e discutiram as principais alterações dermatoscópicas, com o objetivo central de distingui‐lo da DB e da QS.5 Os autores concluíram que os achados de pequenos glóbulos pretos (75% dos casos) e finas escamas distribuídas de forma anular (100%) eram característicos. Além disso, a ausência de vasos glomerulares no HS ajudaria na distinção da DB, já que tais vasos encontrados de maneira agrupada são altamente sugestivos dessa última.
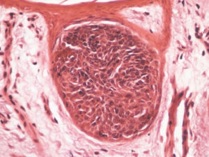
No caso relatado encontramos a presença de vasos em ponto distribuídos em círculo ao redor de estruturas arredondadas e amarronzadas. Representa, na correlação da dermatoscopia com a histopatologia, proliferação de vênulas próximo aos blocos de células clonais. Vasos em ponto, quando em lesões que não sejam melanocíticas, são inespecíficos, porém o padrão encontrado na lesão descrita pode ser peculiar.6 Já as estruturas arredondadas representam os ninhos de células clonais intraepidérmicos melanizadas, correspondem ao FBJ. Embora na coloração de hematoxilina e eosina não pudesse ser vista a presença do pigmento, quando feita a coloração de Fontana‐Masson observou‐se grande quantidade de melanina nos blocos (fig. 5).
O presente estudo vem contribuir para, além de revisar conceitos do FBJ, descrever as alterações dermatoscópicas de tal fenômeno no HS, um dos principais tumores que o desenvolvem.
Suporte financeiroNenhum.
Contribuição dos autoresBruno de Castro e Souza: Concepção e planejamento do estudo; elaboração e redação do manuscrito; participação intelectual em conduta propedêutica e/ou terapêutica de casos estudados; revisão crítica da literatura.
Maria Cláudia Alves Luce: Elaboração e redação do manuscrito; revisão crítica da literatura.
Thais do Amaral Carneiro Cunha: Aprovação da versão final do manuscrito; concepção e planejamento do estudo; participação intelectual em conduta propedêutica e/ou terapêutica de casos estudados; revisão crítica do manuscrito.
Neusa Yuriko Sakai Valente: Participação efetiva na orientação da pesquisa; participação intelectual em conduta propedêutica e/ou terapêutica de casos estudados; revisão crítica da literatura; revisão crítica do manuscrito.
Conflitos de interesseNenhum.






