A doença linfoproliferativa cutânea primária de células T CD4+ pequenas/médias (PCSM‐TCLPD, do inglês primary cutaneous CD4+small/medium T‐cell lymphoproliferative disorder) corresponde a 6% dos linfomas cutâneos primários.1 Embora seja considerada de potencial maligno incerto, tem quase sempre prognóstico benigno com tumores indolentes localmente limitados. Em virtude do comportamento biológico benigno, a Organização Mundial da Saúde renomeou e classificou essa condição como distúrbio linfoproliferativo em 2016, e foi sugerido não mais diagnosticar essa condição provisória como um linfoma bem estabelecido.2
Relato do casoPaciente do sexo feminino, 25 anos, foi encaminhada ao Departamento de Dermatologia com queixa de tumores de crescimento lento no tórax, abdome e parte superior do braço há um ano. As lesões eram levemente pruriginosas. A paciente havia aplicado corticoide tópico leve nas lesões, sem melhora. Não referia histórico médico ou doença concomitante. Ao exame físico, havia nódulos eritematosos firmes de aproximadamente 0,5‐1cm de diâmetro localizados nas regiões deltoidea esquerda (fig. 1A), peitoral direita (fig. 1B) e abdominal direita (fig. 1C).
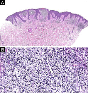
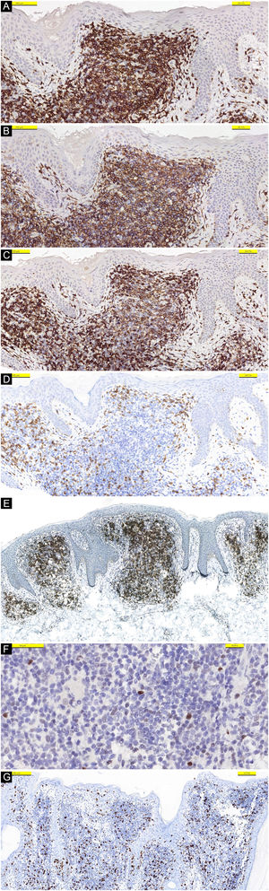
Uma biopsia por punch foi realizada no nódulo abdominal. O exame histopatológico revelou infiltrado denso e difuso na derme papilar, composto por células linfoides T pequenas e médias, com núcleos pleomórficos (fig. 2). Havia apenas algumas células grandes no infiltrado dérmico. Epidermotropismo foi observado apenas em área focal. Os linfócitos eram CD3+ (fig. 3A), CD4+ (fig. 3B), CD5+, CD7+ (fig. 3C), CD8– (fig. 3D), e CD30–.
Foi detectada imunorreatividade com PD‐1 (fig. 3E) e Bcl‐6 (fig. 3F). As células CD8+ representavam população reacional menor. Infiltrado reacional de células B CD20+ também estava presente. Atividade proliferativa foi detectada com Ki‐67 em aproximadamente 10%‐15% das células linfoides (fig. 3G). Com base nesses achados histopatológicos e imunopatológicos, o tumor foi diagnosticado como PCSM‐TCLPD.
Em virtude da localização e da multiplicidade das lesões, e considerando também a preocupação estética, optou‐se por tratamento não agressivo neste caso. Doxiciclina oral 100mg/dia foi administrada à paciente. A regressão das lesões iniciou‐se na terceira semana de tratamento, e a remissão clínica total foi alcançada após quatro meses. A paciente está em seguimento há seis meses após a interrupção da doxiciclina, e nenhuma recorrência foi observada.
DiscussãoA PCSM‐TCLPD é uma condição com classificação provisória com prognóstico benigno. Sua apresentação clínica clássica é como pápula, nódulo ou em placa eritematosa solitária assintomática. Prurido, dor e ulceração foram ocasionalmente identificados. Lesões múltiplas, como no presente caso, foram descritas na literatura.3 O curso clínico é variável, e as lesões podem aumentar e diminuir. As localizações mais comuns são cabeça, pescoço, membros superiores e tronco.4,5 É frequentemente observada em adultos, porém casos pediátricos também foram relatados.6 Histopatologicamente, os tumores consistem principalmente em infiltração densa de células T pleomórficas de tamanho pequeno a médio, com atipia leve a moderada. As células tumorais são frequentemente acompanhadas por células B, plasmócitos, histiócitos e eosinófilos. O infiltrado tumoral pode dispor‐se em faixa ou como nódulos na derme. Epidermotropismo pode ser observado em áreas focais. As células tumorais são CD3+, CD4+, CD30−; e também positivas para marcadores de células T‐helper foliculares de morte programada‐1 (PD‐1), linfoma de células B‐6 (BCL‐6), CXCL‐13 (do inglês C‐X‐C Motif Chemokine Ligand‐13) e coestimulador de células T induzíveis (ICOS).3,7,8 Não há critérios clínicos ou histopatológicos definitivos para o diagnóstico de padrão agressivo do tumor.
Pseudolinfoma, linfoma cutâneo primário do centro folicular, linfoma cutâneo primário da zona marginal e estadio tumoral da micose fungoide (MF) devem ser considerados clinicamente no diagnóstico diferencial. Em virtude da sobreposição clínica e histopatológica, o mais difícil de distinguir do PCSM‐TCLPD pode ser o pseudolinfoma. Causas e fatores desencadeantes de pseudolinfoma, como picadas de insetos, infecções, abuso de substâncias e agentes estranhos (tatuagem, piercing etc.) devem ser investigados. Em relação à MF, a existência de manchas e placas relacionadas a diferentes estádios da doença e o epidermotropismo de linfócitos com núcleos cerebriformes atípicos no exame histopatológico são usados para distinguí‐la do PCSM‐TCLPD.
Não existe diretriz padrão para o tratamento; as opções podem ser avaliadas de acordo com as características individuais dos casos. Vários relatos mostraram que a resolução espontânea é possível após a biopsia; portanto, a abordagem conservadora em vez de tratamentos agressivos é preferível. As modalidades consideradas bem‐sucedidas no tratamento são esteroides tópicos ou intralesionais, excisão, radioterapia e doxiciclina sistêmica.9,10 O prognóstico é excelente, com taxa de sobrevida doença‐específica de 100% em cinco anos.1
Suporte financeiroNenhum.
Contribuição dos autoresEsra Sarac: Concepção e planejamento do estudo, obtenção de dados, análise e interpretação dos dados, redação do manuscrito, revisão crítica da literatura, aprovação da versão final do manuscrito.
Cuyan Demirkesen: Concepção e planejamento do estudo, obtenção, análise e interpretação dos dados, redação do manuscrito, aprovação da versão final do manuscrito.
Conflito de interessesNenhum.




