O espiroadenocilindroma é uma neoplasia anexial que tem características histopatológicas tanto do espiroadenoma quanto do cilindroma.1 Os cilindromas e o tumor híbrido “espiroadenocilindroma” localizam‐se mais comumente na face e no couro cabeludo.1 A dermatoscopia pode fornecer pistas importantes para o diagnóstico de tumores anexiais. O presente relato descreve um caso raro de espiroadenocilindroma com características dermatoscópicas distintas.
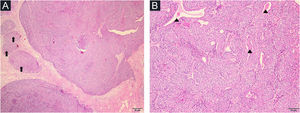
Paciente do sexo feminino, 78 anos, com história de hipertensão, procurou a clínica com queixa de nódulo na região frontal direita há oito anos. Uma história detalhada obtida da paciente revelou que o nódulo tinha sido retirado havia sete anos, mas recorreu no último ano. O exame dermatológico revelou nódulo telangiectásico róseo, brilhante, na região frontal direita (fig. 1). Para auxiliar no diagnóstico, foi realizada dermatoscopia, que revelou vasos arborizados espessos, véu azul‐esbranquiçado, estrias brancas brilhantes e pontos/torrões semelhantes a rosetas sobre fundo violáceo‐vermelho‐leitoso (fig. 1). Os diagnósticos diferenciais foram carcinoma basocelular nodular, pilomatrixoma, carcinoma sebáceo e dermatofibrosarcoma protuberans. Biópsia por punch foi realizada no nódulo e mostrou lóbulos contendo material eosinofílico semelhante à membrana basal. Os maciços tumorais eram formados por dois tipos de células – as periféricas mais escuras com menos citoplasma e as centrais mais pálidas com núcleos vesiculares. As partes espiroadenomatosas eram caracterizadas por pequenas células basaloides com linfócitos intraepiteliais e material linfático no estroma. Os dois tipos de elementos estavam misturados (figs. 2 e 3). As características do painel imuno‐histoquímico são mostradas na figura 4. O diagnóstico final foi de espiroadenocilindroma, e foi feita a exérese da lesão.
Nódulo róseo brilhante na região frontal direita (canto inferior direito); a dermatoscopia com luz polarizada mostrou véu azul/cinza esbranquiçado (seta preta fina), torrões e pontos brancos brilhantes semelhantes a rosetas (círculos), vasos arborizados (pontas de seta) e estrias brancas brilhantes (seta grossa).
(A) Nódulos de diferentes tamanhos (setas), os maiores representando principalmente o componente espiroadenomatoso (Hematoxilina & eosina, 40×). (B) Maciços celulares englobando estruturas ductais com revestimento em dupla camada de células e produto de secreção intraluminal (pontas de seta; Hematoxilina & eosina,100×).
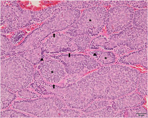
Arranjo em quebra‐cabeça de maciços celulares circundados de maneira incompleta por material eosinofílico semelhante a membrana basal (setas). Células basófilas periféricas em paliçada (pontas de seta) e células mais claras localizadas centralmente (asteriscos; Hematoxilina & eosina, 200×).
Espiroadenocilindromas são neoplasias anexiais cutâneas benignas derivadas de glândulas apócrinas ou écrinas, mostrando características histopatológicas de espiroadenoma e cilindroma.1 Uma vez que uma variedade de neoplasias cutâneas benignas e malignas, como carcinoma basocelular, dermatofibrosarcoma protuberans, tricoepitelioma e carcinoma anexial microcístico, podem ser consideradas no diagnóstico diferencial, o exame histopatológico continua sendo o exame referência para o diagnóstico. Os espiroadenocilindromas são caracterizados por células basaloides com membrana basal eosinofílica e estruturas tubulares formando padrão multinodular na parte espiroadenomatosa, enquanto a porção cilindromatosa é composta principalmente por pequenos ninhos de células tumorais triangulares ou poliédricas formando padrão complexo semelhante a um quebra‐cabeça.2 A dermatoscopia pode fornecer pistas úteis para auxiliar no diagnóstico. Senarega et al.3 relataram um caso de espiroadenocilindroma que apresentava vasos lineares de coloração rósea acompanhados de pigmentação homogênea azulada na periferia. Curiosamente, o presente caso mostrou estrias brancas brilhantes junto com pequenos torrões brancos brilhantes agregados semelhantes a rosetas de quatro pontos, cinco pontos ou em cruz.4 Embora as rosetas sejam mais caracteristicamente associadas a ceratose actínica e carcinoma espinocelular, elas também podem ser observadas no carcinoma basocelular, nevo melanocítico e dermatofibroma.5 As rosetas resultam da polarização cruzada da luz incidente em material córneo em estruturas anexiais ou fibrose perifolicular.5
Até onde é de conhecimento dos autores, a paciente aqui descrita é o primeiro caso de espiroadenocilindroma mostrando estruturas semelhantes a rosetas dermatoscopicamente. Ao definir as características dermatoscópicas do cilindroma, os autores querem enfatizar o fato de que os espiroadenocilindromas podem mostrar achados dermatoscópicos, como torrões azul‐acinzentados e estruturas semelhantes a rosetas, que também podem ser detectadas em outras neoplasias cutâneas, levando à confusão diagnóstica.5
Suporte financeiroNenhum.
Contribuição dos autoresEcem Bostan: elaboração e redação do manuscrito; obtenção, análise e interpretação dos dados; revisão crítica da literatura.
Etkin Boynuyogun: Obtenção dos dados; aprovação da versão final do manuscrito.
Ozay Gokoz: Obtenção, análise e interpretação dos dados; aprovação da versão final do manuscrito.
Ibrahim Vargel: Obtenção, análise e interpretação dos dados; aprovação da versão final do manuscrito.
Conflito de interessesNenhum.
Como citar este artigo: Bostan E, Boynuyogun E, Gokoz O, Vargel I. Hybrid tumor ‘spiradenocylindroma’ with unusual dermoscopic features. An Bras Dermatol. 2023;98:383–5.
Trabalho realizado no Departamento de Cirurgia Plástica e Reconstrutiva, Hacettepe University, Faculdade de Medicina, Ankara, Turquia.





