A psoríase gutata (PG) é forma aguda de psoríase associada a infecções bacterianas, principalmente estreptocócicas, que causam ativação imunológica induzida por superantígenos.1,2 Infecções virais do trato respiratório superior também podem estar envolvidas, e ocorrem tipicamente duas a três semanas antes do início das lesões da PG.1,3 Este relato descreve três casos de PG após infecção por síndrome respiratória aguda grave pelo Coronavírus 2 (SARS‐CoV‐2) e vacina de mRNA BNT162b2.
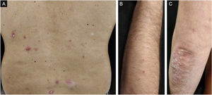
Um homem caucasiano de 42 anos com história de psoríase crônica em placas desenvolveu múltiplas pápulas e placas eritematosas escamosas na face, no tronco e nos membros superiores e inferiores, e placas eritematosas escamosas nos cotovelos e joelhos (fig. 1), uma semana após o diagnóstico de doença do Coronavírus 2019 (COVID‐19). Estabeleceu‐se diagnóstico clínico e histopatológico de PG (fig. 2) e exacerbação de psoríase em placas.
Psoríase gutata e exacerbação de psoríase crônica em placas (caso 1). (A), Placas eritematosas semelhantes a gotas de psoríase gutata e placas eritematosas escamosas no tronco. (B), Placas eritematosas semelhantes a gotas de psoríase gutata nos membros superiores. (C), Placas eritematosas escamosas nos cotovelos.
Aspectos histopatológicos da psoríase gutata (caso 1) (Hematoxilina & eosina, 100×). Hiperplasia psoriasiforme da epiderme, com neutrófilos no interior de paraceratose contínua e microabscessos intracórneos; ausência de estrato granuloso; papilomatose com hiperplasia vascular e infiltrado linfocítico perivascular na derme superficial.
Uma mulher caucasiana de 32 anos com história de psoríase crônica em placas, desenvolveu múltiplas pápulas e placas eritematosas escamosas no tronco e nos membros superiores e inferiores, bem como placas eritematosas escamosas nos cotovelos e joelhos (fig. 3), duas semanas após o diagnóstico de COVID‐19. Estabeleceu‐se diagnóstico clínico de PG e exacerbação de psoríase em placas.
Um homem caucasiano de 45 anos com história de psoríase crônica em placas apresentou múltiplas pápulas eritematosas escamosas e pequenas placas no tronco e nos membros superiores, uma semana após a primeira dose da vacina contra a COVID‐19 BNT162b2 mRNA, com piora após a segunda dose. Um diagnóstico clínico de PG foi realizado. A correlação entre psoríase e infecção está bem estabelecida, e os vírus são reconhecidos como gatilhos. Em um estudo de infecções respiratórias virais que causam exacerbações de psoríase, o coronavírus foi um dos patógenos detectados com maior frequência.3
A proteína SARS‐CoV‐2 Spike (S) exibe motif de alta afinidade para receptores de células T (TCR; do inglês, T‐cell receptors) e pode formar um complexo ternário com o complexo principal de histocompatibilidade tipo 2 (MHC‐II; do inglês, major histocompatibility complex type 2). Seu epítopo de ligação contém um motif de sequência que é muito semelhante em sequência e estrutura aos superantígenos bacterianos.4 Portanto, o SARS‐CoV‐2 pode favorecer a psoríase por meio da modulação do superantígeno da resposta imune adaptativa. De fato, a análise de pacientes com COVID‐19 demonstra que eles exibem arranjos de TCR consistentes com a ativação de superantígenos.4 A proteína S pode causar a ativação e expansão policlonal das células T no trato respiratório superior (especificamente as amígdalas), fazendo com que se diferenciem e migrem para o tecido cutâneo, após adquirirem capacidade de homing cutâneo por meio do aumento da expressão do antígeno linfocitário cutâneo (CLA; do inglês, cutaneous lymphocyte antigen).2,4 Esses mecanismos podem contribuir para o desequilíbrio inflamatório subjacente à fisiopatologia da psoríase, particularmente nas formas agudas como a PG.
A vacina BNT162b2 COVID‐19 consiste em mRNA modificado com nucleosídeo que codifica a proteína spike de comprimento total, que será maciçamente produzida e expressa na superfície das células hospedeiras, mimetizando a estrutura e a expressão da proteína S de tipo selvagem durante a infecção natural.5 Assim, espera‐se que as respostas imunes do hospedeiro à vacina sejam semelhantes às da infecção natural, explicando, pelo mecanismo mencionado, como essa vacina poderia levar a formas agudas de psoríase na ausência de infecção verdadeira.
Esses casos clínicos demonstram a importância das anormalidades cutâneas em pacientes com COVID‐19, bem como possíveis eventos dermatológicos em pacientes submetidos à vacinação, e lançam luz sobre os potenciais mecanismos imunológicos subjacentes.
Suporte financeiroNenhum.
Contribuição dos autoresCláudia Brazão: Aprovação da versão final do manuscrito; revisão crítica da literatura; obtenção, análise e interpretação dos dados; participação efetiva na orientação da pesquisa; participação intelectual em conduta propedêutica e/ou terapêutica de casos estudados; revisão crítica do manuscrito; elaboração e redação do manuscrito; concepção e planejamento do estudo.
Miguel Alpalhão: Aprovação da versão final do manuscrito; revisão crítica da literatura; obtenção, análise e interpretação dos dados; participação efetiva na orientação da pesquisa; participação intelectual em conduta propedêutica e/ou terapêutica de casos estudados; revisão crítica do manuscrito; elaboração e redação do manuscrito; concepção e planejamento do estudo.
Marta Aguado‐Lobo: Aprovação da versão final do manuscrito; revisão crítica da literatura; obtenção, análise e interpretação dos dados; participação efetiva na orientação da pesquisa; participação intelectual em conduta propedêutica e/ou terapêutica de casos estudados; revisão crítica do manuscrito; elaboração e redação do manuscrito.
Joana Antunes: Aprovação da versão final do manuscrito; revisão crítica da literatura; participação efetiva na orientação da pesquisa; participação intelectual em conduta propedêutica e/ou terapêutica de casos estudados; revisão crítica do manuscrito; elaboração e redação do manuscrito; concepção e planejamento do estudo.
Luís Soares‐de‐Almeida: Aprovação da versão final do manuscrito; revisão crítica da literatura; participação efetiva na orientação da pesquisa; participação intelectual em conduta propedêutica e/ou terapêutica de casos estudados; revisão crítica do manuscrito; elaboração e redação do manuscrito; concepção e planejamento do estudo.
Paulo Filipe: Aprovação da versão final do manuscrito; revisão crítica da literatura; obtenção, análise e interpretação dos dados; participação efetiva na orientação da pesquisa; participação intelectual em conduta propedêutica e/ou terapêutica de casos estudados; revisão crítica do manuscrito; elaboração e redação do manuscrito; concepção e planejamento do estudo.
Conflito de interessesNenhum.
Como citar este artigo: Brazão C, Alpalhão M, Aguado‐Lobo M, Antunes J, Soares‐de‐Almeida L, Filipe P. Is there a link between guttate psoriasis and SARS‐CoV‐2? A series of three cases. An Bras Dermatol. 2022;97:271–3.
Trabalho realizado no Departamento de Dermatologia e Venereologia, Hospital de Santa Maria, Centro Hospitalar Universitário Lisboa Norte, Lisboa, Portugal.




