Um homem de 65 anos de idade apresentava uma lesão nodular vermelha no corpo do pênis há dois meses. Ao exame físico, havia um crescimento eritematoso lobulado, séssil e não doloroso, bem definido, de tamanho aproximado de 5 × 3cm envolvendo a glande, o sulco coronal e a diáfise do pênis (fig. 1). Não havia linfadenopatia. Inicialmente, o paciente apresentou prurido discreto, e após um intervalo de tempo subsequente, notou o crescimento de pequena lesão peniana, que gradualmente progrediu para o tamanho atual – aumento que ocorreu em um intervalo de dois meses, juntamente com alguma dificuldade para retrair o prepúcio. Não havia história de disúria e o paciente apresentava boa saúde. Sua história familiar, médica e social não contribuíram com mais dados. O paciente tinha história de tabagismo durante 20 a 25 anos, e deixou de fumar nos últimos cinco anos.
Apesar de o paciente ter negado qualquer contato sexual, foi realizado o diagnóstico diferencial de condiloma acuminado, condiloma plano e granuloma inguinal com outros diferenciais remotos: xantoma verruciforme e carcinoma espinocelular. Todas as investigações bioquímicas e hematológicas, incluindo perfil lipídico, teste de função hepática, teste de função renal, eletrólitos séricos, exame de rotina e microscópico de urina e hemograma completo, estavam dentro dos limites normais. A microscopia em fundo escuro para Treponema pallidum e o esfregaço de tecido para corpúsculos de Donovan foram negativos. O teste sorológico para sífilis e ELISA para HIV tipos 1 e 2 foram negativos. A biópsia inicial mostrou condiloma acuminado com células escamosas apresentando perda de polaridade sem qualquer atipia citológica. Uma segunda biópsia foi realizada, e foi consistente com carcinoma espinocelular com padrão papilífero (fig. 2). A ultrassonografia do abdômen e da pelve apresentou resultado normal. Foi realizada excisão cirúrgica, que confirmou o diagnóstico de carcinoma espinocelular in situ.
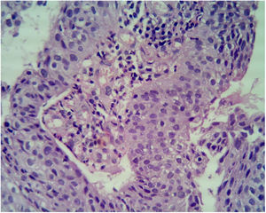
Lesão peniana assintomática nodular eritematosa: apresentação incomum de carcinoma espinocelular. Células atípicas com empilhamento nuclear, perda de polaridade, falta de maturação na superfície epitelial, alta relação N:C, núcleos hipercromáticos e múltiplas figuras mitóticas. Alteração focal de células claras é observada na junção do epitélio atípico e epitélio normal (Hematoxilina & eosina, 40×).
Uma placa assintomática nodular lobulada de cor vermelha na região peniana tem vários diferenciais. Como o paciente apresentava esfregaço de tecido da lesão negativo, foi mantida a possibilidade de condiloma acuminado e xantoma verruciforme. O xantoma verruciforme é uma entidade rara que acomete principalmente a boca. A genitália é a segunda área mais frequentemente afetada, onde se apresenta como uma placa indolor, marrom‐amarelado ou vermelha, verrucosa, séssil ou papilífera. Como o paciente não apresentava linfonodos regionais aumentados, o carcinoma espinocelular não foi considerado como primeiro diferencial. Além disso, não havia lesão preexistente que pudesse predispor ao desenvolvimento de carcinoma espinocelular. Mas a biópsia confirmou o diagnóstico de carcinoma espinocelular in situ.
O carcinoma espinocelular é o tumor mais comum do pênis e se apresenta como um tumor plano, infiltrante ou papilífero, ou como um nódulo duro indolor. O carcinoma peniano é sobretudo uma doença localizada (39%), com o carcinoma in situ constituindo 37% do total de casos de carcinoma peniano.1,2 Ele é mais comumente diagnosticado em pacientes idosos (50‐70 anos).2 Tem uma incidência maior nos países em desenvolvimento e é mais comumente localizado na glande do pênis (48%), seguido pelo prepúcio (25%), glande e prepúcio (9%), sulco coronal (6%) e no corpo do pênis (< 2%); 95% dessas neoplasias são carcinomas espinocelulares.3
Nosso caso foi atendido inicialmente no centro de referência para infecções sexualmente transmissíveis (IST) e, portanto, o diagnóstico de carcinoma espinocelular não foi considerado como primeiro diferencial. A ausência de quaisquer outros fatores predisponentes e a falta de envolvimento dos linfonodos regionais podem ter sido a razão para o diagnóstico clínico de condiloma acuminado e granuloma inguinal. A história curta sem fatores de risco associados para malignidade é outra razão para o carcinoma espinocelular não ter sido considerado.
O tratamento do carcinoma espinocelular in situ é a excisão local, embora a penectomia parcial e o seguimento mensal por pelo menos um ano sejam apropriados para pacientes com tumores primários pequenos e bem diferenciados. Pacientes com tumores primários grandes ou moderadamente a pouco diferenciados provavelmente devem ser submetidos à penectomia parcial ou total e linfadenectomia ilioinguinal imediata.4 Na ausência de metástases inguinais, os pacientes com carcinoma espinocelular invasivo do pênis envolvendo a glande ou a parte distal da diáfise que são submetidos à amputação parcial adequada têm uma taxa de sobrevida em longo prazo de 70%‐80%. Dos pacientes com linfonodos envolvidos, 40%‐50% podem ser curados com a dissecção dos linfonodos, enquanto os pacientes não tratados geralmente morrem em 2‐3 anos.5 No caso aqui relatado, foi realizada penectomia parcial.
O presente caso demonstra com elegância a possibilidade de carcinoma espinocelular, mesmo sem quaisquer fatores predisponentes, podendo mimetizar IST comuns, neste caso o condiloma acuminado e o granuloma inguinal. É desnecessário dizer que, em casos ambíguos, uma repetição da biópsia é necessária, como demonstrado em nosso caso, para propiciar o manejo correto.
Suporte financeiroNenhum.
Contribuições dos autoresSeema Rani: Aprovação da versão final do manuscrito; coleta, análise e interpretação dos dados; revisão crítica da literatura.
Kabir Sardana: Aprovação da versão final do manuscrito.
Arvind Ahuja: Aprovação da versão final do manuscrito; coleta, análise e interpretação dos dados.
Conflito de interessesNenhum.



