Os eventos adversos cutâneos são os efeitos colaterais mais comuns da imunoterapia anti‐PD1. Eles geralmente se desenvolvem no início do tratamento e não necessitam de sua interrupção.1 Entretanto, apresentações clínicas alternativas podem ser observadas.1,2 É interessante relatá‐las, pois elas podem melhorar o conhecimento sobre os medicamentos e a doença. Assim, os autores apresentam um caso incomum de líquen plano (LP) na cicatriz umbilical após a décima quinta dose de nivolumabe.
Paciente do sexo feminino, caucasiana, de 77 anos, apresentou história de três meses de mancha vermelha, descamativa, pruriginosa e assimétrica localizada na cicatriz umbilical (fig. 1). A mancha se desenvolveu ao longo de alguns dias, persistiu desde então, e nenhuma outra lesão foi encontrada no exame mucocutâneo completo. À dermatoscopia, foram observadas estrias brancas sobre fundo violáceo (fig. 2). A paciente tinha história pessoal pregressa de melanoma metastático em tratamento com nivolumabe 240mg a cada duas semanas até a presente data. Ela iniciou o tratamento 20 meses antes do aparecimento da mancha na cicatriz umbilical. Foi realizada biopsia com punch de 4mm.
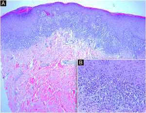
A histopatologia mostrou hiperceratose, corpos citoides e infiltrado inflamatório subepidérmico em faixa composto por linfócitos, histiócitos e eosinófilos ocasionais na derme papilar (fig. 3). As características favoreceram o diagnóstico de LP.3 As sorologias para vírus da hepatite B (VHB) e C (VHC) foram negativas. Foi prescrita pomada de propionato de clobetasol a 0,05% por quatro semanas com resposta parcial.
(A) Cortes histológicos mostram epiderme com hiperceratose ortoceratótica e paraceratose focal, acantose com hipergranulose e denso infiltrado inflamatório subepidérmico em faixa consistente com dermatite de interface (Hematoxilina & eosina, 4×). (B) No detalhe observa‐se dermatite de interface linfocítica com degeneração vacuolar da camada basal e queratinócitos necróticos na epiderme (Hematoxilina & eosina, 20×)
A via PD1 inibe a ativação de células T, mantendo a resposta imune normal equilibrada.1,2 Várias células malignas ativam PD1, favorecendo o escape imune. A terapia anti‐PD1 procura ativar o sistema imunológico para destruir as células malignas.1,2 Por outro lado, as células T desempenham importante papel na patogênese do LP.3 Sob esse escopo, a ativação de células T induzida por agentes imunoterapêuticos que bloqueiam PD1 poderia contribuir, junto com outros fatores estimuladores, para o desenvolvimento de LP.1–3 As reações cutâneas liquenoides são efeitos colaterais bem conhecidos da terapia anti‐PD1.1,2,4 A incidência de erupção liquenoide associada é provavelmente subestimada com base em publicações esporádicas.1,2 Clinicamente, ela normalmente se apresenta como pápulas e placas múltiplas, discretas, eritematosas e violáceas;3 assim, a localização exclusiva na cicatriz umbilical de nossa paciente parece uma raridade. De fato, foi encontrado apenas um caso de LP afetando essa área, mas não de maneira exclusiva, em um paciente que também sofria de vitiligo.5 Curiosamente, foram descritas formas relativamente incomuns de outras condições cutâneas exacerbadas pela terapia anti‐PD1.1,2,4 Embora normalmente se apresentem nos primeiros meses após o tratamento, alguns autores sugeriram que o início das erupções liquenoides pode ser tardio quando comparado com outras reações cutâneas.4 De fato, Wang et al. relataram que as reações adversas cutâneas podem apresentar início tardio e ocorrer mesmo após a terapia ter sido descontinuada.4 No entanto, os autores estão cientes de que outro fator estimulante desconhecido diferente do nivolumabe não pode ser completamente descartado.
Apresentamos um caso único de LP de localização exclusiva na cicatriz umbilical em uma paciente tratada com nivolumabe, com o intuito de destacar o potencial de apresentação clínica tardia e alternativa de reações anti‐PD1 e que a consulta com dermatologista especializado deve ser considerada obrigatória a fim de se obter o diagnóstico preciso e o melhor tratamento.
Suporte financeiroNenhum.
Contribuição dos autoresLuisa Martos‐Cabrera: Fez contribuições substanciais para a concepção e planejamento, ou obtenção de dados, ou análise e interpretação de dados; e esteve envolvida na redação do manuscrito ou na revisão crítica de conteúdo intelectual importante.
Iñigo Lladó: Fez contribuições substanciais para a concepção e planejamento, ou obtenção de dados, ou análise e interpretação de dados; e esteve envolvido na redação do manuscrito ou na revisão crítica de conteúdo intelectual importante; fez contribuições substanciais para a obtenção de dados e esteve envolvido na aprovação da versão final do manuscrito.
Paloma Fernández‐Rico: Fez contribuições substanciais para a concepção e planejamento, obtenção de dados e análise e interpretação dos dados.
Beatriz Butrón‐Bris: Fez contribuições substanciais para a concepção e planejamento, obtenção de dados e análise e interpretação dos dados.
Pedro Rodríguez‐Jiménez: Fez contribuições substanciais para a concepção e planejamento, ou obtenção de dados, ou análise e interpretação de dados; e esteve envolvido na redação do manuscrito ou sua revisão crítica de conteúdo intelectual importante; aprovação da versão final do manuscrito.
Conflito de interessesNenhum.
A paciente descrita neste manuscrito deu seu consentimento informado para a publicação dos detalhes de seu caso.




