A capecitabina é um quimioterápico da classe das fluoropirimidinas, que age como pró‐fármaco e é metabolizada em 5‐fluorouracil por uma série de mecanismos enzimáticos. É atualmente usada para tratamento de tumores sólidos de cólon e reto, câncer gástrico e de mama. Seu uso tem se difundido nos últimos anos devido à sua eficácia, comparável ao 5‐fluorouracil, perfil de toxicidade menor e vantagem de administração por via oral.1 A toxicidade sistêmica da capecitabina inclui efeitos adversos gastrintestinais, como náuseas, vômitos e diarreia. Manifestações dermatológicas conhecidas são a síndrome mão‐pé (caracterizada por eritema doloroso, edema e por vezes disestesia palmoplantar), granuloma piogênico, vitiligo, onicólise e xerose.2
Uma paciente do sexo feminino, 53 anos e história prévia de depressão, dislipidemia e osteoporose, recebeu diagnóstico de carcinoma ductal invasivo de mama, subtipo luminal B em abril de 2012, fez mastectomia e esvaziamento axilar à esquerda, além de radioterapia e quimioterapia adjuvante com 5‐fluorouracil, epirrubicina e ciclofosfamida. Apresentou, em julho de 2017, derrame pleural, com exame anatomopatológico e imuno‐histoquímica compatíveis com recidiva da doença. Em outubro de 2017, iniciou tratamento com capecitabina, fez ciclos de 14 dias em uso da droga, dose de 2.000mg/m2/dia e sete dias sem uso. Apresentou erupção cutânea na face, couro cabeludo e pescoço após seis semanas de uso da capecitabina. A paciente não apresentou mialgia, artralgia ou febre. O exame físico demonstrou lesões eritematodescamativas que afetavam as regiões do V do decote e interescapulares; havia também eritema difuso na área de alopécia androgenética, demonstrando fotossensibilidade (fig. 1A e B). A paciente apresentou ainda eritema em extremidades, compatível com síndrome mão‐pé, efeito colateral comumente associado ao uso de alguns quimioterápicos, inclusive a capecitabina (fig. 1C e D).3 Exames laboratoriais foram normais ou negativos: hemograma, urina rotina, FAN, anti‐DNA dupla hélice, anti‐histona e anti‐La (SSB), enquanto anticorpo anti‐Ro (SSA) foi positivo 68 UI/mL (normal até 10 UI/mL).
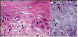
A análise histopatológica demonstrou queratinócitos apoptóticos e derrame pigmentar, com discreto infiltrado linfocitário na derme (fig. 2).
Os achados clínicos, histopatológicos e laboratoriais foram compatíveis com lúpus eritematoso cutâneo subagudo (LECSA). A capecitabina foi definida como a droga causadora.
O tratamento foi instituído com betametasona tópica, proteção solar e suspensão da capecitabina. A paciente apresentou melhoria importante de lesões cutâneas.
O LECSA é caracterizado por erupções cutâneas eritematosas, anulares ou polimorfas predominantes em áreas de fotoexposição, tipicamente associadas ao aumento dos níveis de autoanticorpos anti‐Ro. Pode ser classificado como fármaco‐induzido ou idiopático. As duas formas da doença são indistinguíveis nos aspectos clínico, sorológico e histopatológico.
Desde o primeiro relato de LECSA fármaco‐induzido associado ao uso de hidroclorotiazida, um número crescente de drogas tem sido descrito como causadoras da síndrome.4 Drogas classicamente associadas ao LECS fármaco‐induzido, como bloqueadores dos canais de cálcio, diuréticos tiazídicos e antifúngicos (p.ex., terbinafina), têm dado lugar a inibidores de bomba de prótons e quimioterápicos como principais agentes causadores.5
Uma revisão do PubMed e Medline demonstrou oito casos de LECSA induzido por capecitabina na literatura. Não há, até hoje, relatos no Brasil, podendo esse fenômeno ser causado por um subrrelato de casos e/ou ao pouco tempo de uso do fármaco, que foi aprovado pela Anvisa, órgão regulador de medicamentos do país, em 2015, para o uso em cânceres de cólon e reto, estômago e mama.
Apesar de a patogênese do LECSA associado à capecitabina não ser conhecida, seu uso crescente em variados tipos de câncer mostra ser necessária a notificação das manifestações dermatológicas da droga. É importante o reconhecimento desse efeito colateral pelo dermatologista, de modo que o LECSA fármaco‐induzido seja incluído precocemente no diagnóstico diferencial de pacientes em uso de capecitabina que apresentem surgimento de lesões cutâneas.
Suporte financeiroNenhum.
Contribuição dos autoresAroni Rocha: aprovação da versão final do manuscrito; concepção e planejamento do estudo; elaboração e redação do manuscrito; revisão crítica da literatura; revisão crítica do manuscrito.
Hiram Larangeira de Almeida Jr.: aprovação da versão final do manuscrito; concepção e planejamento do estudo; elaboração e redação do manuscrito; participação intelectual em conduta propedêutica e/ou terapêutica de casos estudados; revisão crítica da literatura; revisão crítica do manuscrito.
Gustavo Zerwes: aprovação da versão final do manuscrito; concepção e planejamento do estudo; elaboração e redação do manuscrito; participação efetiva na orientação da pesquisa; participação intelectual em conduta propedêutica e/ou terapêutica de casos estudados; revisão crítica da literatura; revisão crítica do manuscrito.
Umberto Lopes de Oliveira Filho: aprovação da versão final do manuscrito; concepção e planejamento do estudo; elaboração e redação do manuscrito; participação efetiva na orientação da pesquisa; participação intelectual em conduta propedêutica e/ou terapêutica de casos estudados; revisão crítica da literatura.
Conflito de interessesNenhum.



