McCune - Albright syndrome is a genetic disease with cutaneous mosaicism caused by post-zygotic activating mutations in GNAS locus, it has a triad of fibrous bone dysplasia, café-au-lait macules and precocious puberty. We examined a 22-year-old female patient with café au lait spot in right side of the abdomen, with a chessboard - like distribution, extending to right thigh with geographical contours, she has also an ovarian cyst, scoliosis and truncal obesity. Biopsies were taken from the hyperpigmented area and processed for light microscopy and for transmission electron microscopy. Light microscopy showed increased melanin pigment with HE staining. Immunohistochemistry with melanocytic markers (HMB-45 and Melan-A) revealed a normal number of melanocytes. Transmission electron microscopy demonstrated normal epidermal structures, such as desmosomes, cytokeratin filaments and hemidesmosomes. With high magnifications an irregular melanossomal contour was seen, with some indentations in their outline.
McCune-Albright Syndrome (MAS) – OMIM #174800 – is a genetic disease with cutaneous mosaicism caused by post-zygotic activating mutations in GNAS locus, encoding Gsα protein.1,2 MAS was originally described in 1936 as a triad of fibrous dysplasia of bone, café-au-lait skin macules, and precocious puberty. However, it is now recognized that its phenotype is far more complex.3 Other endocrinopathies, including hyperthyroidism, estrogen-producing ovarian cysts, growth hormone excess, renal phosphate wasting with or without rickets/osteomalacia, and Cushing syndrome could be seen in association with the original triad.2,4
MAS is most often identified by dermatologic findings. Café-au-lait macules appear in the neonatal period or in the first months of life. These macules have irregular borders (described as “coast of Maine”) and are unilateral.5
There are yet substantial knowledge gaps about MAS pathophysiology and natural history6 and very little information about its café-au-lait macules, which were examined by light microscopy, immunohistochemistry, and Transmission Electron Microscopy (TEM) in this report.
Materials and methodsThe authors examined a 22-year-old female patient who presented since birth with segmental hyperchromic café-au-lait spots in the right side of the abdomen, with a chessboard-like distribution, respecting the midline (Fig. 1a), extending to the right thigh with geographical contours (Figs. 1b and c). The patient was submitted to surgical correction of scoliosis in childhood and presented also an ovarian cyst and truncal obesity. She had been diagnosed with neurofibromatosis type 1 in her childhood, however, without the presence of neurofibromas, Lish nodules, or axillary ephelides.
Biopsies were taken from the hyperpigmented area and processed for light microscopy (hematoxylin-eosin and immunohistochemistry with HMB-45 and Melan-A) and for TEM, in the latter, ultrathin sections targeted the epidermis.
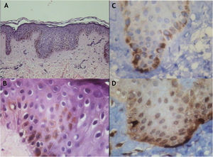
ResultsLight microscopy showed increased melanin pigment with HE is staining (Fig. 2a), in some areas the pigment was seen also in suprabasal layers (Fig. 2b). Immunohistochemistry with melanocytic markers (HMB-45 and Melan-A) revealed a normal number of melanocytes (Figs. 2c and d).
Light microscopy. (A), Increased melanin pigment with hematoxylin and eosin staining (×150). (B), Increased melanin pigment with hematoxylin and eosin staining which was also seen in suprabasal layers (×400). (C), Immunohistochemistry with melanocytic marker (Melan A) confirmed an increase of melanin and revealed a normal number of melanocytes (×400). (D), Immunohistochemistry with melanocytic marker (HMB-45) confirmed an increase of melanin and revealed a normal number of melanocytes (×400).
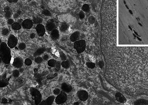
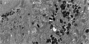
TEM demonstrated normal epidermal structures, such as desmosomes, cytokeratin filaments, basement membrane and hemidesmosomes (Figs. 3a and b). A high amount of melanosomes in keratinocytes was observed (Fig. 3b), which measured 0.38 to 0.67 nm, a variation in the form and size could also be observed (Figs. 3b, 4a and 5).
With high magnifications indentations in melanosomes’ outline (Fig. 4a and b) could be seen, as well as an irregular melanosomal contour was observed (Fig. 5), in contrast to normal melanosomes, which show a regular contour and an oval shape (Fig. 5 inset).
The clinical signs of the examined patient are in accordance with the literature, with the segmental café-au-lait macule, bone, and ovarian involvement.
Light microscopy observed an increase in the melanin pigment with a normal number of melanocytes in hyperchromic MAS lesions, showed by melanocyte markers.
There are no reports of ultrastructural studies in café-au-lait macules of MAS, the authors found only one study that evaluated café-au-lait spots using electron microscopy in neurofibromatosis in 1992. No abnormal ultrastructural findings were observed in the melanocytes or epidermal keratinocytes, melanosomes (either in melanocytes or in epidermal keratinocytes) had a normal aspect.7
The authors’ findings have also demonstrated a similar pigment increase. With a high-power view, however, the melanosomes present an abnormal aspect, suggesting a defect in their synthesis in MAS.
This study presents the first description of the electron microscopic features of café-au-lait spots in a patient with MAS, describing ultrastructural changes in melanosomes, which appeared with an irregular outline in high magnifications. Dermatologists should recognize this disorder, given the possibility that these macules seen in MAS can be confused with neurofibromatosis, as in the case described here.
Financial supportNone declared.
Authors’ contributionsVictor Garcia Neto: Approval of the final version of the manuscript; design and planning of the study; drafting and editing of the manuscript; collection, analysis, and interpretation of data; critical review of the manuscript.
Hiram Larangeira de Almeida Jr.: Approval of the final version of the manuscript; design and planning of the study; drafting and editing of the manuscript; collection, analysis, and interpretation of data; effective participation in research orientation; critical review of the manuscript.
Claúdia Fernandes Lorea: Approval of the final version of the manuscript; design and planning of the study; drafting and editing of the manuscript; collection, analysis, and interpretation of data; critical review of the manuscript.
Valéria Magalhães Jorge: Approval of the final version of the manuscript; design and planning of the study; drafting and editing of the manuscript; collection, analysis, and interpretation of data; critical review of the manuscript.
Antônia Larangeira de Almeida: Approval of the final version of the manuscript; design and planning of the study; drafting and editing of the manuscript; collection, analysis, and interpretation of data; critical review of the manuscript.
Conflicts of interestNone declared.
Study conducted at the Programa de Pós-Graduação em Saúde e Comportamento da Universidade Católica de Pelotas and at the Liga de Dermatologia da Universidade Federal de Pelotas, Pelotas, RS, Brazil.






