O melanoma tipo animal (MTA) é variedade rara de melanoma com grande diversidade de nomenclaturas, como “melanoma do tipo equino”, “melanoma sintetizador de pigmento”, “melanocitoma epitelioide pigmentado” ou simplesmente “melanoma animal”.1 Também é entidade controversa quanto à sua caracterização histopatológica,2 o que obrigou a última classificação dos tumores cutâneos pela Organização Mundial da Saúde (OMS), publicada em 2018, a buscar uma convergência sob o termo “melanocitoma epitelioide pigmentado” (MEP).3 São apresentados casos clínicos de MEP, que correspondem à totalidade dos casos diagnosticados entre 2018 e 2021 em sete centros de referência em saúde públicos e privados em Santiago do Chile.
Caso 1Paciente do sexo masculino, de 83 anos, com dois carcinomas espinocelulares previamente ressecados, apresentou tumor preto‐azulado com cinco anos de evolução na região lombar, doloroso e ulcerado, que cresceu lentamente até atingir 3cm de diâmetro ao diagnóstico (fig. 1A). O paciente não apresentava linfadenomagalias palpáveis. A dermatoscopia mostrou padrão homogêneo azul‐violeta, véu azul‐acinzentado e áreas esbranquiçadas sem estrutura (fig. 1B). A histopatologia revelou MTA infiltrativo, com melanócitos dérmicos epitelioides e fusiformes, pigmentação abundante, atipia acentuada, nível V de Clark, índice de Breslow de 9,5mm, 0 a 1 mitose/mm,2 sem ulceração, sem invasão vascular ou perineural (fig. 2). A tomografia por emissão de pósitrons (PET) revelou massa hipermetabólica sólida no lobo superior do pulmão direito, sem metástase nodal ou visceral. A equipe cirúrgica realizou excisão local ampla (ELA) com biopsia de linfonodo sentinela, com resultado negativo, e confirmou que a massa pulmonar era adenocarcinoma pulmonar, com sobrevida após seis meses de seguimento.
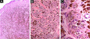
Caso 1. (A) Neoplasia melanocítica dérmica, com grande quantidade de pigmento e epiderme preservada (Hematoxilina & eosina, 2×). (B) Ninhos de melanócitos atípicos entremeados por numerosos melanófagos e feixes de colágeno (Hematoxilina & eosina, 10×). (C) Melanócitos epitelioides e fusiformes, com atipia acentuada e nucléolos volumosos (Hematoxilina & eosina, 40×)
Paciente do sexo masculino, de 16 anos, hígido, apresentava nódulo enegrecido no flanco direito, com três anos de crescimento lento, assintomático, 7mm de diâmetro, com bordas bem definidas e superfície lisa. A dermatoscopia mostrou padrão preto‐azulado homogêneo, estruturas branco‐brilhantes e tênue rede pigmentar em sua margem proximal. A histopatologia evidenciou MEP, caracterizado por melanócitos epitelioides e dendríticos com núcleos vesiculares e citoplasma amplo com abundante pigmento granular marrom, dispostos em ninhos e unidades isoladas na junção dermoepidérmica e derme, maturação preservada e numerosos melanófagos (fig. 3). O comitê oncológico indicou a realização de ELA e acompanhamento clínico, com sobrevida após 12 meses.
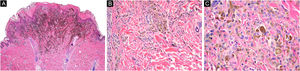
Caso 2. (A) Proliferação melanocítica comprometendo a junção dermoepidérmica e derme superficial, acentuadamente pigmentada (Hematoxilina & eosina, 2×). (B) Células melanocíticas epitelioides e dendríticas dispostas em ninhos, algumas pigmentadas, com sinais de maturação em profundidade (Hematoxilina & eosina, 10×). (C) Células neoplásicas com citoplasma amplo, abundante pigmento melânico granular marrom e núcleos discretamente hipercromáticos e pleomórficos, com nucléolos proeminentes (Hematoxilina & eosina, 40×)
Criança hígida, do sexo masculino, de 7 anos, apresentava mancha parda na região lombar, assintomática, com bordas bem definidas e superfície verrucosa, com um ano de crescimento rápido, medindo 1cm de diâmetro ao diagnóstico. A dermatoscopia mostrou padrão homogêneo preto, sem assimetria de cor ou forma. O exame histopatológico evidenciou MEP, cujos melanócitos epitelioides dérmicos apresentavam leve atipia, maturação preservada, com presença focal na junção dermoepidérmica, dispostos em ninhos e feixes curtos, com extensão focal para anexos cutâneos, vasos sanguíneos e nervos (fig. 4). A equipe médica realizou ELA e acompanhamento clínico, com sobrevida após oito meses.
Caso 3. (A e B) Proliferação simétrica de melanócitos epitelioides pigmentados na derme reticular e superficial, dispostos em ninhos e feixes curtos com maturação preservada (Hematoxilina & eosina, 2× e 4×). (C) Melanócitos epitelioides pigmentados com pequeno grau de atipia Hematoxilina & eosina, 10×)
O número limitado de casos encontrados confirma a baixa frequência dessa neoplasia, com apenas casos clínicos isolados e séries de casos, com exceção de uma metanálise com um total de 190 casos.1 MEP tende a ocorrer em pacientes jovens, com média de 27 anos, com mesma proporção entre os sexos e menor prevalência em caucasianos versus outros tipos de câncer de pele. Clinicamente, apresentam‐se em geral como mancha ou nódulo azul‐escuro, com ulceração ocasional, localizada preferencialmente nas extremidades.1,4 Os achados dermatoscópicos são padrão homogêneo preto, marrom ou azulado, estruturas branco‐brilhantes, véu branco‐azulado e áreas brancas irregulares.5
No Chile, foi publicada uma série de quatro pacientes com MTA, a maioria homens, com média de idade de 46 anos, índice de Breslow entre 1,5 e 14mm, com comprometimento nodal em metade dos casos e todos com sobrevida superior a cinco anos.6 Na Argentina, há um caso publicado de indivíduo do sexo masculino de 31 anos com MTA com índice de Breslow de 2,1mm, linfonodo sentinela positivo e sobrevida superior a cinco anos.7 No Brasil, há relato de dois casos de MTA: um homem de 49 anos e uma mulher de 32 anos, cujas análises histopatológicas apresentam discreta atipia nuclear e poucas mitoses.8 Na Colômbia, foi relatado o caso de um paciente do sexo masculino de 41 anos com MTA submetido a ELA sem biopsia do linfonodo sentinela.9
Na histopatologia tem sido descrito um espectro de achados. Os elementos mais característicos são a presença de melanócitos fusiformes, dendríticos e/ou epitelioides, com padrão de crescimento perianexial, citoplasma acentuadamente pigmentado, núcleos vesiculares, nucléolos proeminentes e melanófagos.2 Podem apresentar atipia moderada a acentuada; é habitual um índice mitótico superior a 2× mm.2 Pode‐se diferenciar se corresponde à lesão pura (MEP puro) ou associado a componentes mais convencionais de um nevo (MEP combinado).4 Nos casos apresentados na presente série, observam‐se os extremos do espectro de achados que tornam complexo o diagnóstico de MEP/MTA: no primeiro caso um paciente idoso, com neoplasias cutâneas prévias, quadro clínico alarmante e atipia celular acentuada, e nos outros dois casos de pacientes pediátricos, hígidos, com quadro clínico sugestivo que motivou a remoção, com leve atipia celular.
Apesar do último consenso da OMS, alguns autores propõem características histopatológicas sugestivas de MTA, como dano solar, componente pagetoide atípico, atipia nuclear acentuada, crescimento expansivo e atividade mitótica maior que 2× mm.2,4 Em relação a estudos genéticos, os MEPs puros apresentam fusão do gene PRKCA, enquanto os MEPs combinados comumente apresentam mutações nos genes BRAF e PRKAR1A, podendo estar presentes em melanomas sintetizadores de pigmento, para cuja diferenciação outras técnicas moleculares como a Fluorescent In Situ Hybridization (FISH) ou Comparative Genomic Hybridization (CGH) tornam‐se relevantes.4
O tratamento cirúrgico é preferível, optando‐se por ELA com ou sem análise do linfonodo sentinela em 99,2% dos casos.1 Ao diagnóstico, apenas 2,1% dos pacientes apresentavam linfonodos palpáveis e apenas 1% apresentava metástases a distância,1 mas em séries de pacientes em que foi realizada a análise do linfonodo sentinela, houve positividade entre 46% e 60%.6,10 Existe consenso quanto ao comportamento não agressivo do MEP, mas são necessários estudos que façam o seguimento em longo prazo desses pacientes.
O MTA/MEP continua a ser entidade controversa, cujo diagnóstico histopatológico não é apenas uma questão de nomenclatura, mas que também afeta o comportamento clínico subsequente, reforçando a importância da correlação clinicopatológica. É urgente estabelecer um consenso quanto ao manejo e monitorização desses pacientes, para desenvolver estudos futuros que permitam compreender melhor seu comportamento biológico.
Suporte financeiroNenhum.
Contribuição dos autoresVittorio Gedda: Concepção e planejamento do estudo; obtenção de dados, ou análise e interpretação dos dados; redação do manuscrito ou revisão crítica de conteúdo intelectual importante; obtenção, análise e interpretação dos dados; participação efetiva na orientação da pesquisa; revisão crítica da literatura; aprovação da versão final do manuscrito.
Francisco González‐Coloma: Concepção e planejamento do estudo; obtenção de dados, ou análise e interpretação dos dados; redação do manuscrito ou revisão crítica de conteúdo intelectual importante; obtenção, análise e interpretação dos dados; participação efetiva na orientação da pesquisa; participação intelectual em conduta propedêutica e/ou terapêutica de casos estudados; revisão crítica da literatura; aprovação da versão final do manuscrito.
Alejandro Jeldres: Concepção e planejamento do estudo; obtenção de dados, ou análise e interpretação dos dados; obtenção, análise e interpretação dos dados; participação efetiva na orientação da pesquisa; participação intelectual em conduta propedêutica e/ou terapêutica de casos estudados; aprovação da versão final do manuscrito.
Carolyn Rodríguez: Obtenção de dados ou análise e interpretação dos dados; obtenção, análise e interpretação dos dados; participação intelectual em conduta propedêutica e/ou terapêutica de casos estudados; aprovação da versão final do manuscrito.
Gabriela Coulon: Obtenção de dados, ou análise e interpretação dos dados; obtenção, análise e interpretação dos dados; participação intelectual em conduta propedêutica e/ou terapêutica de casos estudados; aprovação da versão final do manuscrito.
Alex Castro: Obtenção de dados, ou análise e interpretação dos dados; obtenção, análise e interpretação dos dados; aprovação da versão final do manuscrito.
Conflito de interessesNenhum.
Como citar este artigo: Gedda V, González‐Coloma F, Jeldres A, Rodríguez C, Coulon G, Castro A. Animal‐type melanoma/pigmented epithelioid melanocytoma: three clinical cases of a rare and controversial entity. An Bras Dermatol. 2023;98:868–71.
Trabalho realizado no Departamento de Dermatologia, Faculdade de Medicina, Universidad de Chile, Santiago, Chile.





