As metástases cutâneas de tumores sólidos são eventos pouco frequentes na prática clínica. Na maioria das vezes, o paciente já tem o diagnóstico de neoplasia maligna quando a metástase cutânea é detectada. No entanto, em até um terço dos casos a metástase cutânea é identificada antes do tumor primário – portanto, seu reconhecimento pode ser fundamental para o início do tratamento, embora geralmente seja indicativo de prognóstico ruim. O diagnóstico dependerá da análise clínica, histopatológica e imuno‐histoquímica. A identificação do sítio primário pode ser difícil; assim, é importante uma análise minuciosa por meio de exames de imagem e constante vigilância.
As metástases cutâneas de tumores sólidos são eventos pouco frequentes na prática clínica. Estima‐se que entre 0,7 e 9% das metástases desses tumores tenham a pele como destino.1
Na maioria das vezes, o paciente já tem o diagnóstico de neoplasia maligna quando a metástase cutânea é detectada. No entanto, em até um terço dos casos a metástase cutânea é identificada antes do tumor primário.2 Em alguns casos, a identificação da metástase cutânea indica a recidiva do câncer, e em 79% das vezes há concomitantemente metástases viscerais.3 A apresentação clínica é diversa e pode simular doenças inflamatórias, tumores benignos ou até mesmo tumores cutâneos malignos. Nesta revisão, discutimos o paradigma atual dos mecanismos de metástase e expomos as principais formas clínicas de sua apresentação. Por questões didáticas, discutiremos as apresentações clínicas de acordo com o sítio do tumor primário, incluindo aqueles originalmente cutâneos. As manifestações paraneoplásicas e as neoplasias hematológicas não serão revisadas neste artigo.
EtiopatogeniaMetástase é definida como o desenvolvimento de um tumor a distância do sítio primário. A metástase desenvolve‐se predominantemente por invasão vascular (linfática ou hematogênica). Discute‐se na literatura se os implantes por contiguidade ou de forma iatrogênica devem ser considerados metástases de fato. Atualmente, entendemos o processo de metástase como um fenômeno complexo que ocorre paralelamente ao desenvolvimento do tumor primário. Pela maior importância, discutiremos com mais detalhes a metástase por invasão vascular.
A fisiopatologia da metástase é dividida em seis etapas: invasão local; intravasamento; sobrevivência na circulação; parada em órgão distante; extravasamento; formação de micrometástase e colonização metastática.4
Invasão localApós o desenvolvimento do tumor maligno no sítio primário, há a invasão local. Tal evento consiste na entrada das células malignas no estroma adjacente ao tumor. Para que isso ocorra, é necessário o rompimento da membrana basal secundário à ação de metaloproteinases de matriz.4
IntravasamentoO intravasamento é o fenômeno complexo que possibilita a entrada das células malignas nos vasos sanguíneos ou linfáticos. Esse processo é fundamental para que as células malignas atinjam o sítio distante e continuem o processo de metástase. É bem descrito que os tumores malignos têm a capacidade de produzir neoangiogênese.5 O que ocorre é que tais vasos neoformados apresentam pouca cobertura de pericitos e células endoteliais com pouca adesão celular, o que facilita a entrada das células malignas (intravasamento).4,5 De maneira intrigante, evidências mais recentes demonstram que esse fenômeno ocorre predominantemente durante o sono.6
Sobrevivência na circulaçãoUma vez dentro dos vasos, as células malignas precisam sobreviver. Elas estão sujeitas ao trauma decorrente das forças hemodinâmicas e à ação do sistema imunológico. A principal forma adaptativa para evadir‐se desses mecanismos é a formação de microtrombos plaquetários ao redor das células neoplásicas, que as protegem desses fenômenos.4
Parada em órgão distantePor meio da circulação sanguínea ou linfática, os tumores podem atingir virtualmente qualquer tecido do corpo. O grande questionamento é o motivo de alguns tumores apresentarem sítios preferenciais de metástase.7 Por exemplo, há nítida preferência óssea nas metástases prostáticas ou, nos casos de tumores do cólon, para o fígado.8 Acredita‐se que seja necessária uma forte interação entre o tumor primário e o estroma do sítio alvo.4 Apesar de a pele ser um órgão altamente vascularizado, poucos tumores como o melanoma têm predileção evidente. Talvez isso ocorra por uma boa proteção imunológica ou baixa interação estroma‐tumor maligno.
ExtravasamentoApós atingir a circulação do órgão alvo, as células malignas precisam sair dos vasos para atingir o estroma. Esse processo pode ocorrer pela ruptura mecânica vascular ou por um processo mais complexo. Nesse último caso, as células tumorais poderiam induzir a hiperpermeabilidade vascular secundária à liberação de proteínas como epiregulina (EREG), cicloxigenase 2 (COX‐2), metaloproteinase 1 e 2 (MMP‐1 e MMP‐2).9 É importante frisar que cada proteína tem ação específica sobre a vascularização de cada órgão alvo, reforçando a ideia de que cada tumor maligno apresenta um ou mais sítios preferenciais de metástase.4
Formação de micrometástase e colonização metastáticaO último passo é o tumor sobreviver no estroma do sítio alvo. Para isso, o tumor precisa ter capacidade de autorrenovação e proliferação. Ademais, o tumor libera substâncias que tornam o estroma adjacente mais receptivo para sua multiplicação.4 As micrometástases podem persistir em estado de latência por meses ou anos. Nesse período, aquelas micrometástases que adquirem alteração genéticas ou epigenéticas e que conseguem tornar o microambiente mais favorável ao seu desenvolvimento evoluirão com a formação de metástases macroscópicas com potencial letal significante.4
EpidemiologiaHá divergência na literatura sobre quais tumores mais frequentemente metastatizam para a pele. Estudos mais recentes indicam que o melanoma é o mais frequente, porém em alguns estudos clássicos essa neoplasia aparece apenas em quarto lugar.10,11 Uma metanálise de 2002 identificou que os tumores de mama são os mais frequentes (24%), seguidos de câncer renal (4%), ovários (3,8%), bexiga (3,6%), pulmão (3,4%), colorretal (3,4%) e de próstata (0,7%).12 Porém, nesse estudo foram excluídos os casos de melanoma.
Há uma diferença epidemiológica de acordo com o sexo. Um estudo brasileiro com 209 casos de metástases cutâneas identificou que nas mulheres as metástases cutâneas mais frequentes tiveram origem de câncer de mama (63,19%), intestino grosso (10,41%) e pulmão (4,16%), enquanto nos homens a ordem de frequência foi pulmão, estômago e laringe (33,84%, 12,3% e 7,69%, respectivamente).13 Quando analisamos especificamente a população pediátrica, os tumores primários mais frequentes são rabdomiosarcoma e neuroblastoma.14
É fato notório que há alguns locais da pele nos quais é mais frequente o surgimento das lesões metastáticas. O tórax anterior é o local mais comum, seguindo de abdome, cabeça e pescoço (incluindo couro cabeludo) e membros.11–13 Há nitidamente uma predileção de sítio acometido de acordo com o tumor primário, por isso o local da metástase cutânea pode indicar a possível origem neoplásica. Por exemplo, o câncer de mama metastatiza mais frequentemente para o tórax anterior, enquanto os tumores do trato gastrintestinal acometem secundariamente mais frequentemente o abdome.15 A tabela 1 resume os locais preferenciais de metástases cutâneas.
Principais localizações das metástases cutâneas de acordo com o tumor primário15
| Sítio cutâneo | Tumor primário |
|---|---|
| Couro cabeludo | Mama, pulmão, rim |
| Face e pescoço | Carcinoma epidermoide de cabeça e pescoço, rim, pulmão |
| Tórax anterior | Mama, pulmão, melanoma |
| Abdome | Cólon, estômago, pulmão, ovário |
| Região umbilical | Estômago, pâncreas, cólon, ovários, rim, mama |
| Pelve | Cólon, bexiga |
Diversas neoplasias malignas originalmente cutâneas podem evoluir com metástases para a pele. Desses, o mais frequente é o melanoma e, por essa razão, discutiremos de modo mais aprofundado. Porém, é importante salientar que carcinoma espinocelular, carcinoma de células de Merkel e até pilomatricoma maligno podem desenvolver metástases cutâneas.11
Um estudo norte‐americano demonstrou que o número de metástases cutâneas por melanoma vem aumentando nos últimos anos.16 Esse não é um evento infrequente na história natural da doença. O envolvimento secundário da pele surge em 10‐17% dos pacientes com melanoma e está presente em até 50% dos indivíduos com doença disseminada.17 A pele é o primeiro sítio de envolvimento metastático na maioria dos casos, e em cerca de 30% das vezes ocorre após a metástase linfonodal.18 Achado concomitante de metástase cutânea, nodal e visceral ocorre em aproximadamente 10% dos casos.18
As metástases cutâneas do melanoma são divididas em microssatélites, satélites, em trânsito ou a distância. As primeiras são metástases microscópicas (cutâneas ou subcutâneas) descontínuas do tumor primário – logo, não é percebida no exame clínico. A metástase satélite é aquele tumor metastático visível até 2cm do sítio do tumor primário. Metástase em trânsito é definida como qualquer metástase cutânea ou subcutâneas que esteja a mais de 2cm da lesão primária, mas dentro da drenagem linfática regional.19 Apesar dessa distinção, tanto as lesões satélites quanto a metástase em trânsito correspondem à disseminação intralinfática e apresentam implicações terapêuticas e prognósticas semelhantes.20 É importante, ainda, diferenciar as metástases linfáticas da recorrência local que ocorre como resultado de uma ressecção incompleta do tumor primário.
Já a metástase a distância está relacionada à disseminação hematogênica e ocorre quando o sítio metastático cutâneo está longe do foco de drenagem linfática do tumor primário. Essa distinção é importante pois nos dois primeiros cenários considera‐se o paciente com doença locorregional, enquanto no último há metástase a distância piorando consideravelmente o prognóstico do paciente.19 O estadiamento do melanoma foge do escopo deste artigo e, portanto, não será discutido.
As metástases cutâneas do melanoma são mais comumente encontradas no dorso em homens e nos membros inferiores em mulheres. O fato de as localizações cutâneas secundárias ocorrerem na mesma localização anatômica das localizações cutâneas iniciais em mais de 30% dos casos explica os padrões distintos das metástases entre os sexos.18 Clinicamente, há pápulas ou nódulos dérmicos ou subcutâneos geralmente pretos ou amarronzados que podem ulcerar (fig. 1).21 Eventualmente, podem ser amelanóticos e atingir grandes dimensões levando à morbidade significante.16 No caso das metástases em trânsito, geralmente estão localizadas entre o sítio do tumor primário e o linfonodo regional. Porém, em algumas situações pode surgir do lado oposto, em decorrência de uma alteração do fluxo linfático secundário à presença do tumor.20 Casos mais atípicos, como placas eritematosas (erisipela‐símile), lesões esclerodermiformes (em couraça), purpúricas e telangiectásicas, já foram descritas.22 Há ainda relatos de metástases zosteriformes com lesões vesicobolhosas e nódulos distribuídos por um dermátomo.23
MamaA maioria dos casos de metástase cutânea do câncer de mama decorre de adenocarcinomas (77‐82%).17,24 Em geral, surge no tórax anterior em decorrência da disseminação linfática regional.25 Clinicamente, a forma mais comum de apresentação são pápulas ou nódulos normocrômicos. Porém, são descritas algumas apresentações bem caracterizadas, a saber: carcinoma telangiectoide, carcinoma erisipeloide, carcinoma em couraça (en courasse) e alopecia neoplásica.26
O carcinoma telangiectoide se apresenta com pápulas violáceas sobre superfície telangiectásica surgindo próximo à cicatriz da mastectomia prévia. De maneira menos comum, surgem lesões papulovesiculares semelhante ao linfangioma circunscrito.27 O carcinoma erisipeloide (ou inflamatório) surge como placas eritematosas, quentes e com bordas bem delimitadas afetando a pele da mama e adjacente (fig. 2).26 Marneros et al. demonstraram que a disseminação no carcinoma telangiectoide ocorre predominantemente por vasos sanguíneos, enquanto no carcinoma erisipeloide a disseminação é linfática.27 No carcinoma em couraça, a pele adquire aspecto infiltrado e endurecido semelhante à esclerodermia. Por fim, na alopecia neoplásica há nódulos ou placas endurecidas no couro cabeludo que resultam em alopecia.26 A alopecia pode ser cicatricial e irreversível, já que as células neoplásicas podem destruir os folículos pilosos e induzir fibroplasia.28 Assim como no melanoma, também já foram descritos casos com pápulas dispostas em aspecto zosteriforme.26 É importante salientar que apresentações semelhantes ao carcinoma telangiectásico, em couraça, erisipeloide e alopecia mucinosa já foram descritas em metástases de outros tumores, porém são mais comuns secundárias ao adenocarcinoma de mama.21
Quanto ao prognóstico, Hu et al. demonstraram que a sobrevida média de pacientes com câncer de mama e metástase cutânea é de 57 meses, e de apenas 25 meses entre aqueles com metástase visceral concomitantemente.29
PulmãoAs metástases de câncer de pulmão ocorrem mais frequentemente para o fígado, ossos, sistema nervoso central, glândulas adrenais e linfonodos mediastinais; a metástase cutânea é pouco frequente.30 Estima‐se que entre 1 a 12% dos pacientes com câncer de pulmão cursem com metástases para a pele.30,31 Quando analisados todos os tipos de metástases cutâneas, os pacientes com metástases por câncer de pulmão apresentaram o pior prognóstico.32 Embora possam afetar qualquer sítio da pele, acometem preferencialmente a região da cabeça e pescoço, tórax anterior e abdome. Assim como no câncer de mama, o adenocarcinoma é o tipo metastático mais comum, seguido pelo carcinoma de células escamosas; o câncer de pulmão de pequenas células é o menos frequente.21 Em geral, o tumor primário está localizado nos lobos pulmonares superiores.30,31
Clinicamente, as metástases de câncer de pulmão são indistinguíveis de metástases de tumores de outras origens. Em geral, apresentam‐se como nódulos subcutâneos normocrômicos ou levemente eritematosos, endurecidos e aderidos a planos profundos (fig. 3). Na maior parte das vezes, surgem de maneira solitária, mas posteriormente podem surgir múltiplas lesões. Há relatos de metástases simulando ceratoacantomas,33 nódulos eritematosos localizados na ponta do nariz (“nariz de palhaço”),34 com distribuição zosteriforme ou simulando erisipela.35 Um acometimento pouco conhecido é o subungueal. Uma revisão de literatura demonstrou que a metástase subungueal ocorre mais frequentemente em pacientes com câncer de pulmão (41%), órgãos genitourinários (17%) e mama (9%).36 Essas metástases se manifestam como nódulos eritematovioláceos subungueais ou com edema, eritema e dor das falanges distais simulando um quadro infeccioso.36
É importante salientar que, na maioria das vezes, quando há metástase cutânea, outros sítios extrapulmonares também estão acometidos.21
Trato gastrintestinalDentre as neoplasias malignas do trato gastrintestinal, o adenocarcinoma colorretal é o que mais leva a metástases cutâneas.12 No momento do diagnóstico, cerca de 10% dos casos já apresentam metástase a distância; os locais mais comumente acometidos são o fígado, os pulmões e o sistema nervoso central.37 Estima‐se que cerca de 4% de pacientes com câncer colorretal evoluam com alguma metástase para a pele, e o tempo médio do diagnóstico até a metástase é de 25 meses.17,38 A idade média no momento do diagnóstico da metástase é de 55 anos.39
O acometimento da pele pode se dar por contiguidade, por disseminação linfática ou hematogênica ou, ainda por disseminação ao longo dos remanescentes embrionários, como o úraco.40 Por isso, a pele do abdome é o sítio do tegumento mais frequentemente afetado, seguido pela região pré‐sacral e perineal, esta última mais relacionada ao câncer retal.38 Num estudo, a maioria das metástases cutâneas surgiu nos locais da incisão cirúrgica da colectomia.17 Apesar disso, há relatos de disseminação para as mais diversas localidades, como tórax, membros superiores e região de cabeça e pescoço.40 Quando a metástase acomete a região umbilical, é denominada nódulo da irmã Mary Joseph.41 Esse achado não é patognomônico de tumores colorretais, já que foi relatado em outras malignidades como estômago, ovário, pâncreas e até mesmo de colo uterino, vesícula biliar e intestino delgado.41
Não há uma apresentação clínica característica; a maioria surge como lesões nodulares firmes de coloração rósea ou avermelhada que pode ulcerar.38 Outras apresentações descritas são lesões semelhantes a cistos epidérmicos, neurofibromas, eritema anular, condilomas, elefantíase nostra verrucosa e áreas de alopecia.17,40 No caso do nódulo da irmã Mary Joseph, tipicamente há nódulos firmes medindo de 0,5 a 2cm, que podem eventualmente drenar secreção purulenta, serosa ou sangue.21
No caso de tumores gástricos, o que mais se metastatiza para a pele é o carcinoma de células de anel de sinete.42 Assim como o adenocarcinoma colorretal, o abdome é o local mais comumente acometido e clinicamente podem se apresentar como nódulos, lesões do tipo erisipela‐símile, ou semelhantes a cistos epidérmicos.42 O prognóstico é muito ruim em ambas as metástases, com sobrevida média de poucos meses.
Por fim, há raros relatos de metástases cutâneas oriundas de neoplasias malignas do esôfago, pâncreas e fígado.43 Nesses casos, as lesões foram identificadas em diferentes sítios como couro cabeludo, abdome e dorso.
Sistema genitourinárioDos cânceres do sistema urinário, o renal é o mais comum. Como o carcinoma de células renais produz poucos sinais e sintomas, a maioria é diagnosticada em fases tardias, quando já há metástases.44 Desses casos metastáticos, em menos de 2% das vezes o sítio da metástase é a pele; o carcinoma renal de células claras é o subtipo histológico mais comum.21 Na maioria dos casos, o paciente já tem o diagnóstico de câncer renal quando a metástase cutânea é identificada (seis a cinco anos após o diagnóstico), porém em até 20% dos casos a lesão cutânea surge antes da identificação do tumor renal primário.45
A região da cabeça e pescoço é frequentemente acometida pelas metástases do carcinoma de células renais. A teoria vigente explica que as veias renais apresentam anastomoses com os plexos vertebrais, que por sua vez têm conexão com a vascularização cefálica. Isso tornaria possível a disseminação hematogênica das células neoplásicas renais para a região da cabeça e pescoço.46 É importante frisar que o carcinoma de células renais, bem como o carcinoma folicular de tireoide e o carcinoma hepatocelular, se disseminam preferencialmente por via hematogênica.46
As metástases cutâneas do carcinoma de células renais se apresentam como nódulos de crescimento rápido, que podem ser normocrômicos ou mais caracteristicamente avermelhados. Isso ocorre pela alta vascularização do tumor e, por isso, podem ser confundidos com hemangiomas, angiomas rubis ou granuloma piogênico.47 A presença de metástase é um marcador de pior prognóstico, e a expectativa de vida é de aproximadamente seis meses.
Mais raramente são descritos casos de metástase cutânea de carcinoma urotelial da bexiga com sobrevida média de menos de 12 meses. Na maioria das vezes o envolvimento cutâneo ocorre por invasão tumoral direta, mas também pode ser secundário a disseminação vascular (linfática ou hematogênica) ou implante iatrogênico (pós‐procedimentos, como cistectomia).48 Por isso, na maioria das vezes a lesão se localiza no abdome inferior, pelve ou escroto. A apresentação clínica é inespecífica e pode ser única ou múltipla, surgindo como nódulos, placas infiltradas ou até mesmo com aspecto esclerodermiforme.49 Por fim, Savell et al. descreveram um caso de carcinoma urotelial se manifestando como livedo racemosa em decorrência de oclusão vascular.50
As metástases cutâneas de tumores ginecológicos (excluindo mama) podem corresponder a até 8,5% dos implantes secundários em pacientes do sexo feminino.43 A maioria dos casos é derivada de neoplasias malignas do ovário, mas também pode ser oriunda de câncer do colo uterino. Por questões anatômicas, o abdome (principalmente cicatriz umbilical) é o local mais comumente atingido.43 Quanto ao sexo masculino, sabe‐se que o câncer de próstata raramente cursa com metástase cutânea, embora seja muito frequente.11
Cabeça e pescoçoOs carcinomas espinocelulares de cabeça e pescoço têm como sítio mais comum de metástase a distância o pulmão e os ossos. Pitman et al., em uma coorte de 2.491 pacientes com carcinoma espinocelular de cabeça e pescoço, identificaram apenas 19 (0,763%) com metástase cutânea.51 Já Yoskovitch et al. identificaram 19 casos (2,4%) de metástases cutâneas entre 798 carcinomas espinocelulares de cabeça e pescoço.52 É importante notar que nesses estudos foram excluídos os casos de acometimento cutâneo por contiguidade tumoral, incluídos apenas aqueles com metástase a distância.
Os carcinomas espinocelulares da cavidade oral, principalmente do assoalho, são os que mais levam a metástases cutâneas.52 O pescoço, couro cabeludo e tórax anterior são os sítios acometidos em 63%, 15% e 10%, respectivamente e, na maioria dos casos, as lesões são múltiplas.52 A sobrevida média após o surgimento da metástase é de apenas três meses.51
Outro tumor maligno frequente do pescoço é carcinoma de tireoide, a malignidade endocrinológica mais comum.53 Os dois principais tipos histológicos (papilar e folicular) são os que mais frequentemente acometem a pele secundariamente, com incidência estimada de menos de 1 para 1.000 casos.54,55 Há raríssimos casos de metástase cutânea de carcinomas anaplásicos ou medulares;56 a ocorrência em homens e mulheres se dá na mesma proporção, com média de idade de 50 anos.54 Na maioria dos casos, o couro cabeludo é a região da pele envolvida, embora outras áreas como tronco (anterior e posterior), face e pescoço também tenham sido relatados (fig. 4).54,57 Há uma apresentação clínica característica, já que a maioria dos relatos da literatura descrevem nódulos eritematosos, pruriginosos ou ulcerados, localizados no couro cabeludo.53,57 A sobrevida média após o diagnóstico da metástase cutânea é de 19 meses.54
DiagnósticoO diagnóstico definitivo depende de exame clínico minucioso, exames de imagem e análise histopatológica. A tabela 2 resume indícios histopatológicos para a suspeita de metástases cutâneas.
Indícios histopatológicos para a suspeita de metástases cutâneas58
| Presença de células neoplásicas dentro de vasos linfáticos ou sanguíneos. |
| Nódulos localizados na derme reticular e/ou hipoderme sem contato com a epiderme (zona grenz). |
| Presença de células neoplásicas alinhadas entre as fibras de colágeno (“filas indianas”) |
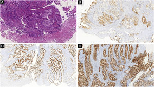
As características histopatológicas e imuno‐histoquímicas da metástase cutânea tendem a ser semelhantes ao do tumor primário, porém as células metastáticas tendem a ser mais anaplásicas e menos diferenciadas.58 Hussein recomenda que um painel imuno‐histoquímico básico inclua CD45 (para malignidades linfoides), panqueratinas AE1/AE3 (para a maioria dos carcinomas), S100 (melanomas) e CD34 (neoplasias vasculares e leucemias). A partir daí é realizado um segundo painel, que pode incluir marcados linfoides (CD3 e CD20 para linfócitos T e B, respectivamente), marcadores epiteliais (EMA e CEA), cromogranina (tumores neuroendócrinos), fator de transcrição tiroidiano (câncer de pulmão), WT1 (carcinoma de ovário), antígeno específico da próstata e fosfatase ácida (carcinoma de próstata).58 A tabela 3 resume os imunofenótipos dos principais tumores que sofrem metástases para a pele, e as figuras 5 e 6 exemplificam.
Resumo de imunofenótipos dos principais tumores que metastatizam para a pele58
| Tumor primário | Marcadores imuno‐histoquímicos positivos | Marcadores imuno‐histoquímicos negativos |
|---|---|---|
| Adenocarcinoma de mama | CK7, receptor de estrógeno e progesterona, Ber‐EP4, Gata 3, mamoglobina | CK20, CK5/6 |
| Adenocarcinoma de cólon | CK20, CDX2, CEA. | CK7 (alguns casos podem ser positivos) |
| Adenocarcinoma de estômago | CK20, CK7, CEA, CDX2 | CK7 (alguns casos podem ser positivos) |
| Adenocarcinoma de pulmão | FTT‐1, CK7, CEA, EMA | CK5/6, CK20 |
| Câncer de pulmão de pequenas células | FTT‐1, enolase neuronal específica (NSE), cromogranina, sinaptofisina | CK7, CK20, CD99 |
| Carcinoma renal de células claras | CAM5.2, EMA, CD10, RCC‐Ma, vimentina, S100 | melan‐A, TTF‐1, CK7, CK20 |
| Melanoma | Vimentina, S100, tirosinase, melan‐A, HMB45, MITF | ‐ |
| Bexiga/urotelial | P63, CK5/6, CK7, CK20, uroplaquina III | ‐ |
| Próstata | PSA, fosfatase ácida prostática, | CK7, CK20, trombomodulina |
| Ovário | CA.125, CK7, PAX8 | CK20 (exceto algumas variantes mucinosas) |
| Carcinoma espinocelular de cabeça e pescoço | CK5/6, p63, CK903 | ‐ |
| Tireoide | FTT‐1, tiroglobulina, PAX8 | ‐ |
Mesmo após a avaliação imuno‐histoquímica, por vezes o patologista não consegue determinar com exatidão o tumor primário e apenas classifica em classes genéticas como adenocarcinoma, carcinoma de células escamosas ou carcinoma indiferenciado.15 Em alguns casos, após a avaliação inicial, não se consegue determinar a origem primária do tumor e são classificados como câncer de sítio primário desconhecido.59 Nesses casos, é preciso uma avaliação mais aprofundada. Os primeiros exames radiológicos são a tomografia computadorizada (TC) e/ou ressonância magnética (RM) de vários segmentos do corpo, associado à mamografia quando há suspeita de câncer de mama. Se esses exames forem inconclusivos, o próximo passo é uma tomografia por emissão de pósitrons (PET) e TC (PET‐CT) combinadas.59
TratamentoDe modo geral, o tratamento deve ser direcionado ao tumor primário. Como na maioria das vezes a presença de metástase cutânea indica doença avançada, a terapia sistêmica antineoplásica usualmente é a opção terapêutica escolhida. Porém, a terapia sistêmica pode ter eficácia reduzida nas lesões cutâneas, e terapias dirigidas à pele têm função adjuvante.
Uma metanálise que incluiu 47 estudos e 4.313 metástases cutâneas avaliou cinco terapias dirigidas à pele: eletroquimioterapia, terapia fotodinâmica, radioterapia, terapia intralesional e terapia tópica.60 Os pesquisadores encontraram taxa de resposta completa e taxa de resposta objetiva de 35,5% e 60,2%, respectivamente. A eletroquimioterapia para metástases cutâneas usa pulsos elétricos curtos direcionados ao tumor para permeabilizar as membranas celulares a fim de aumentar a absorção da quimioterapia intralesional ou intravenosa.
Quanto às terapias intralesionais, há estudos com injeções de anticorpos recombinantes direcionados para ErbB2/HER2 em casos de câncer de colo e de mama e de interferona e interleucina‐2 em melanoma.61 É possível, ainda, realizar tratamento com imunoterapia tópica para alguns tumores. Um estudo brasileiro demonstrou que a difenciprona pode levar a até 37% de resposta completa em casos de metástases de melanoma cutâneo.62
ConclusãoApesar de infrequente, a metástase cutânea pode ser o primeiro sinal de uma neoplasia maligna ou indicar sua recidiva. O dermatologista deve saber identificar as lesões suspeitas e realizar a biopsia de maneira adequada. O diagnóstico dependerá da análise clínica, histopatológica e imuno‐histoquímica. Por vezes, a identificação do sítio primário é difícil, porém é importante a análise minuciosa por meio de exames de imagem e constante vigilância.
Suporte financeiroNenhum.
Contribuição dos autoresBruno de Castro e Souza: Elaboração e redação do manuscrito; revisão crítica da literatura.
Denis Miyashiro: Obtenção, análise e interpretação de dados; elaboração e redação do manuscrito; revisão crítica da literatura.
Marcella Soares Pincelli: Concepção e planejamento do estudo, elaboração e redação do manuscrito; revisão crítica da literatura.
José Antonio Sanches: Concepção e planejamento do estudo, elaboração e redação do manuscrito; revisão crítica da literatura.
Conflito de interessesNenhum.










