A micose fungoide folicular (MFF) é variante da micose fungoide (MF) com características clínico‐patológicas distintas, nas quais os linfócitos T neoplásicos exibem tropismo para o epitélio folicular.1 O espectro das manifestações clínicas é heterogêneo.1,2 Entre elas, lesões acneiformes são comuns, mas lesões similares à hidradenite supurativa (LSHS) foram pouco descritas na literatura. Além disso, a MFF com espículas é uma apresentação clínico‐patológica incomum, caracterizada por múltiplas pápulas foliculares hiperqueratóticas.
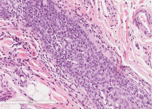
Um homem saudável de 65 anos apresentou história de seis meses de lesões cutâneas generalizadas, alopecia e prurido intenso. No exame dermatológico, foram observadas inúmeras pápulas foliculares pontiagudas e alopecia do couro cabeludo (fig. 1), com lesões queratóticas foliculares na tricoscopia. Alopecia irregular dos pelos do corpo e múltiplas espículas hiperqueratóticas milimétricas no tronco e membros estavam presentes, dando a sensação de pele áspera à palpação. Além disso, observou‐se LSHS na área axilar. Não foi observada linfadenopatia palpável ou visceromegalia. A biópsia do couro cabeludo evidenciou infiltrado de linfócitos atípicos no epitélio folicular, com epidermotropismo (fig. 2). Imuno‐histoquimicamente, os linfócitos foliculares apresentaram positividade para CD3 e CD4, com perda parcial de CD7; CD30 foi negativo. A análise molecular do TCR demonstrou uma população monoclonal de linfócitos. Os exames laboratoriais estavam dentro dos limites normais (hemograma, células de Sézary, bioquímica, eletroforese, imunoglobulinas, β‐2 microglobulina) e nenhum comprometimento sistêmico foi detectado no exame de imagem corporal. Foi estabelecido o diagnóstico de MFF. O paciente foi tratado com interferon alfa (3.000.000 unidades, três vezes por semana) e clobetasol tópico, alcançando remissão completa um ano depois, sem recidivas após três anos de acompanhamento (fig. 3).
A MFF é observada em menos de 10% dos pacientes com MF. Essa variante é mais comum em homens, com uma idade de apresentação semelhante às formas clássicas (de 55 a 60 anos). Ela se apresenta tipicamente como placas e tumores endurecidos sem pelos, principalmente na cabeça e no pescoço, com prurido. No entanto, a MFF é caracterizada por um amplo espectro clínico que compreende uma combinação variável de lesões foliculares que podem coexistir.1,2 Entre elas, a MFF com espículas foi bem descrita em uma série recente de oito casos.3 Essa apresentação clínica peculiar não foi muito relatada na literatura, visto se tratar de uma apresentação clínico‐patológica incomum da MFF (prevalência de 7,8%).3 Essa apresentação se caracteriza por uma manifestação precoce com um curso relativamente favorável, principalmente na ausência de lesões mais típicas. Clinicamente, é caracterizada por pequenas pápulas foliculares disseminadas ou localizadas, hiperqueratóticas, pontiagudas e/ou cônicas, dão uma sensação áspera à palpação. Os achados tricoscópicos incluem espessas camadas de fragmentos de queratina ao redor de aberturas foliculares dilatadas, além de múltiplas espículas ceratóticas cônicas ao redor das aberturas foliculares na dermatoscopia.4 Além disso, o presente caso apresentou LSHS axilar no início, com nódulos e cistos classificados no espectro de lesões acneiformes, comuns na MFF. No entanto, as LSHS são pouco mencionadas na literatura.
A formação de diferentes lesões foliculares na MFF provavelmente é resultado da extensão e do grau de infiltração do folículo piloso pelo infiltrado neoplásico. A presença de linfócitos atípicos, especialmente quando formam coleções no epitélio folicular, é a principal característica para o diagnóstico. No entanto, o infiltrado pode conter outras células inflamatórias e a atipia nuclear pode ser de pequeno grau, dificulta o diagnóstico. Além disso, as características histopatológicas das lesões foliculares hiperqueratóticas, como lesões similares à queratose pilar (LSQP) e MFF com espículas, podem ser sutis, com infiltrado foliculotrópico de baixa densidade, sugestivo de MFF precoce. Além disso, na MFF com espículas pode ser observada uma coluna ortoqueratótica ou paraqueratótica que sobressai da obstrução folicular; também é notável a ausência de células inflamatórias associadas e mucinose folicular.3 Os linfócitos foliculotrópicos são geralmente CD4+(e frequentemente CD7−) e menos comumente CD8+, com ocasional rearranjo de genes gama de receptores de células T.
Embora o curso da MFF seja comparável ao estágio tumoral da MF clássica, estudos recentes indicam um melhor prognóstico para certos pacientes. Assim, a MFF pode ser dividida em três subgrupos, considerando os critérios clínico‐patológicos, com sobrevida significativamente diferente: 1) pacientes que apresentam manchas foliculares e/ou pápulas foliculares frequentemente associadas à alopecia, lesões acneiformes, LSQP ou placas com infiltrados perifoliculares histologicamente esparsos, como no presente caso, apresentam a melhor sobrevida e um excelente prognóstico (sobrevida global [SG] em cinco e 10 anos: 92% e 72%, respectivamente); 2) pacientes que apresentam placas infiltradas, caracterizadas histologicamente por densos infiltrados perifoliculares com muitas células T de tamanho médio a grande, tumores e eritrodermia (doença avançada e limitada à pele; SG em cinco e 10 anos: 55% e 28%); 3) MFF com doença extracutânea e mau prognóstico. Embora o tratamento ideal para esses subgrupos ainda não esteja estabelecido, pacientes do primeiro subgrupo podem se beneficiar de terapias direcionadas à pele.2,5
Em conclusão, este relato descreveu o caso de um paciente com duas manifestações incomuns da MFF, com excelente evolução.
Suporte financeiroNenhum.
Contribuição dos autoresMónica García Arpa: Conceito; definição do conteúdo intelectual; busca na literatura; preparação do manuscrito; edição do manuscrito; revisão do manuscrito.
Miguel A. Flores‐Terry: Aprovação da versão final do manuscrito; revisão crítica do manuscrito.
Monserrat Franco‐Muñoz: Aprovação da versão final do manuscrito; revisão crítica do manuscrito.
Isabel María de Lara Simón: Aprovação da versão final do manuscrito; revisão crítica do manuscrito.
Conflitos de interesseNenhum.
Ao Dr. Juan Luis Santiago Sánchez‐Mateos por sua colaboração neste trabalho.
Como citar este artigo: Garcia‐Arpa M, Flores‐Terry MA, Franco‐Muñoz M, de Lara‐Simón IM. Spiky follicular mycosis fungoides and hidradenits suppurativa‐like lesions in a patient – complete remission with interferon alpha. An Bras Dermatol. 2020;95:121–3.
Trabalho realizado no Departamento de Dermatologia, Hospital Geral Universitário de Ciudad Real, Ciudad Real, Espanha.




