O nevo de Meyerson é reação eczematosa em um nevo melanocítico. Essa reação também pode acometer outros tipos de lesões, como nevos congênitos, nevos displásicos, melanomas e lesões não melanocíticas, caso em que é denominado fenômeno de Meyerson. Pode restringir‐se a um único nevo ou afetar vários nevos melanocíticos. Em pequena porcentagem dos casos, é acompanhado de lesões eczematosas em outras localizações. Em geral, resolve‐se espontaneamente ou após tratamento com corticosteroides tópicos. Sua patogênese não é clara e nenhum fator desencadeante foi identificado na maioria dos casos, embora tenham sido relatados casos após queimadura solar ou tratamento com interferon alfa isoladamente ou em combinação com ribavirina.1
Múltiplas manifestações cutâneas causadas pela COVID‐19 já foram descritas. Entretanto, sua patogênese permanece incerta. Elas têm sido atribuídas a um mecanismo inflamatório causado pela resposta imune contra nucleotídios virais e a um mecanismo vascular, secundário a vasculite ou trombose.2 Após pesquisa rigorosa da literatura, os autores não encontraram nenhum caso de nevo de Meyerson associado à infecção por COVID‐19 ou vacinação.
Apresentamos o caso de um paciente do sexo masculino de 34 anos, sem histórico médico de interesse, que se apresentou ao Departamento de Dermatologia com lesões eritemato‐descamativas e crostas em aproximadamente metade de seus nevos melanocíticos no tronco (fig. 1A). A observação das estruturas dermatoscópicas foi dificultada pela presença de crostas serosas, discreta descamação esbranquiçada e halo eritematoso (fig. 1B). Nos 10 dias anteriores, o paciente havia sofrido uma infecção não complicada do trato respiratório superior decorrente de infecção por COVID‐19. O paciente não havia apresentado lesões semelhantes após a vacinação contra SARS‐CoV‐2 ou após processos infecciosos anteriores. Ele também não havia iniciado tratamento com nenhum medicamento novo.
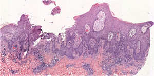
A biopsia de uma das lesões revelou a presença de células névicas agrupadas em pequenos ninhos com maturação adequada, sem sinais de displasia, circundadas por infiltrado inflamatório predominantemente linfocítico (55% CD4+, 45% CD8+) e espongiose acentuada (fig. 2).
O caso foi diagnosticado como nevo de Meyerson desencadeado pela infecção por COVID‐19. As lesões desapareceram após tratamento com corticosteroide tópico (aceponato de metilprednisolona, 1×/dia por duas semanas), sem recorrência até o momento. Os nevos afetados mostram padrão reticular pigmentado típico no momento.
Quanto às dermatoses nevocêntricas relacionadas ao SARS‐CoV‐2, foi relatado recentemente um caso de eritema multiforme nevocêntrico três dias após a vacinação contra COVID‐19 (Comirnaty™ – BioNTech/Pfizer – Mainz, Alemanha/Nova York, NY, EUA).3 Essa é uma condição diferente do fenômeno de Meyerson, mas a patogênese de ambos pode envolver uma interação entre a molécula de adesão intercelular‐1 (ICAM‐1) e as células T‐CD4. A expressão de ICAM‐1 seria estimulada por certos interferons.4 Foi provado que o SARS‐COV‐2 induz uma resposta de interferon tipo I em um subgrupo de pacientes com doença leve,5 como no caso do presente paciente. Esse mecanismo foi associado ao desenvolvimento de diferentes processos autoimunes desencadeados por vírus e poderia explicar o desenvolvimento de um nevo de Meyerson coincidindo com a infecção por COVID‐19.
Em conclusão, a infecção por COVID‐19, por meio de um mecanismo mediado por ICAM‐1 e interferon, pode desencadear o nevo de Meyerson. Os autores encorajam a notificação desse tipo de reação cutânea a fim de considerar sua inclusão entre as possíveis manifestações cutâneas relacionadas com a COVID‐19.
Suporte financeiroNenhum.
Contribuição dos autoresRubén Linares‐Navarro: Aprovação da versão final do manuscrito; revisão crítica da literatura; obtenção, análise e interpretação dos dados; participação efetiva na orientação da pesquisa; participação intelectual em conduta propedêutica e/ou terapêutica de casos estudados; revisão crítica do manuscrito; elaboração e redação do manuscrito; concepção e planejamento do estudo.
Pedro Sánchez‐Sambucety: Aprovação da versão final do manuscrito; revisão crítica da literatura; obtenção, análise e interpretação dos dados; participação efetiva na orientação da pesquisa; participação intelectual em conduta propedêutica e/ou terapêutica de casos estudados; revisão crítica do manuscrito; elaboração e redação do manuscrito; concepção e planejamento do estudo.
Manuel Ángel Rodríguez‐Prieto: Aprovação da versão final do manuscrito; revisão crítica da literatura; obtenção, análise e interpretação dos dados; participação efetiva na orientação da pesquisa; participação intelectual em conduta propedêutica e/ou terapêutica de casos estudados; revisão crítica do manuscrito; elaboração e redação do manuscrito; concepção e planejamento do estudo.
Conflito de interessesNenhum.



