A ossificação cutânea secundária é fenômeno que pode ocorrer em diversas condições. Quando ocorre em nevo melanocítico recebe o nome de osteonevo de Nanta, evento considerado incomum e caracterizado pela presença de tecido ósseo adjacente ou interposto com ninhos de células melanocíticas. Há relatos de sua ocorrência em lesões melanocíticas variadas, é mais frequente sua associação com nevo intradérmico. Relata‐se caso de osteonevo de Nanta em nevo melanocítico combinado, possivelmente o primeiro relato dessa associação.
A ossificação cutânea secundária é fenômeno que pode ocorrer em diversas condições, como pilomatricoma, carcinoma basocelular, acne, cicatrizes, tumores cutâneos mistos, locais de inflamação e trauma.1 Sua ocorrência em nevo melanocítico, denominada osteonevo de Nanta, parece ser evento incomum, com incidência estimada de 0,6% a 1,45% entre os tumores pigmentados.2
O osteonevo de Nanta é caracterizado pela presença de tecido ósseo adjacente ou interposto com ninhos de células melanocíticas,3,4 geralmente localizado na porção superior do tronco e com predileção para indivíduos do sexo feminino.2
Relata‐se o caso de paciente com lesão exuberante no couro cabeludo, cuja análise histopatológica foi conclusiva de osteonevo de Nanta em nevo combinado, possivelmente o primeiro relato dessa associação.
Relato do casoPaciente do sexo feminino, 38 anos, com lesão na região occipital desde o nascimento, evoluiu havia cerca de 14 anos com aumento progressivo de tamanho, sem sintomatologia associada. Ao exame apresentava tumoração exofítica, pedunculada, normocrômica, com superfície irregular e áreas deprimidas com pigmentação castanho escuro a azulada, de consistência fibroelástica, media 3×2cm de diâmetro (fig. 1). A paciente não apresentava comorbidades, porém afirmava ser usuária de drogas ilícitas. Optou‐se por exérese cirúrgica da lesão a fim de diagnóstico e tratamento, com excisão fusiforme e sutura primária com pontos simples (fig. 2).
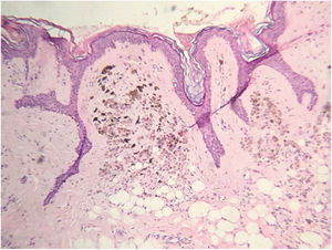
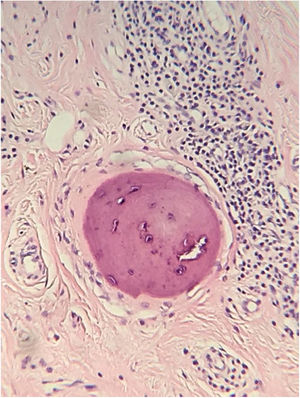
A análise histopatológica da lesão evidenciou proliferação difusa de melanócitos dispostos em ninhos de tamanhos e formas regulares na derme papilar e em cordões na derme reticular que circundava estruturas anexiais a par de área focal onde predominavam melanócitos de padrão dendrítico com abundante pigmento melânico no citoplasma. Além de fibroplasia do colágeno, reação granulomatosa tipo corpo estranho em torno da haste de pelo livre observaram-se formações ósseas homogêneas compatíveis com ossificação cutânea. O diagnóstico histológico foi de osteonevo de Nanta em nevo combinado – intradérmico e azul (figs. 3, 4 e 5). O estudo imuno‐histoquímico confirmou a natureza melanocítica da lesão, com positividade para os marcadores S‐100, MART‐1, gp100.
O primeiro relato de ossificação associada a nevo melanocítico foi feito em 1908 por Heidingsfeld, porém o fenômeno foi descrito em detalhes somente em 1911 por Nanta, quando passou a ser denominado osteonevo de Nanta.2
Desde seu relato inicial, o fenômeno foi descrito em diversas lesões melanocíticas como nevo azul,5 nevo de Spitz, nevo de Becker.6 A associação com o nevo melanocítico intradérmico foi a mais frequente.4
Segundo a literatura, as lesões, em sua maioria, localizam‐se na cabeça e no pescoço, principalmente na face, há menos de 5% dos casos em outras localizações, como antebraços.2 Costuma ocorrer mais em mulheres,2,7 a faixa etária é variável, com frequência um pouco maior na população mais idosa.3,4 No caso relatado a localização e o sexo da paciente são concordantes com os dados da literatura.
Com relação a sua fisiopatogenia, a disembrioplasia (lesão hamartomatosa) e a metaplasia são os principais mecanismos postulados até o momento para explicar a ocorrência da ossificação dessas lesões. De acordo com o primeiro, haveria a presença de células mesenquimais primitivas de osteócitos em locais errôneos, com expressão simultânea de estruturas de origem ectodérmica e mesodérmica.8 No mecanismo de metaplasia ocorreria inflamação crônica, trauma ou proliferação neoplásica que induziria diferenciação de fibroblastos dérmicos em osteoblastos.8 Na inflamação crônica/trauma uma distorção ou obstrução folicular causada por melanócitos ou trauma repetitivo do folículo induzido pela retirada de pelos do nevo levaria a ruptura folicular, com consequente inflamação e metaplasia.4,8 Já nos processos neoplásicos a desmoplasia tornaria as células mesenquimais dérmicas primitivas capazes de produzir osso.9 Uma terceira possibilidade seria que a simples interação entre células névicas e o tecido mesenquimal poderia resultar em metaplasia celular e consequente ossificação.3,4
Com relação à maior incidência do osteonevo em indivíduos do sexo feminino relatada em grande parte dos estudos, acredita‐se que o estrógeno tenha papel potencial na formação óssea.4 Como os osteoblastos têm receptores para estrógenos, essa interação resultaria na sua ativação e bloqueio da reabsorção óssea pelos osteoclastos.3,10 Entretanto, faltam estudos para comprovar a importância desse mecanismo no processo de ossificação de nevos melanocíticos.
Na análise histológica nota‐se geralmente a ossificação como pequenas ilhas de osso compacto lamelar ou amorfo na base da lesão melanocítica,3 na derme reticular próximo a folículos pilosos,4,10 pode ser com foco único ou múltiplos.3 Em alguns casos, osso trabecular com medula óssea e adipócitos podem estar presentes.3 O achado de infiltrado mononuclear, granuloma de corpo estranho ou granulomas mistos é frequente.2
No caso relatado houve a caracterização de nevo combinado – nevo melanocítico intradérmico e nevo azul – associado à presença de tecido ósseo homogêneo na derme reticular próximo a folículos pilosos e reação granulomatosa tipo corpo estranho. Não foram identificados relatos na literatura de ossificação de nevo combinado, esta provavelmente é a primeira descrição da associação.
Os achados de ossificação próximo a folículo piloso e reação granulomatosa do tipo corpo estranho, associado à localização da lesão no couro cabeludo, sítio rico em folículos pilosos e alvo de trauma repetitivo, orientam o raciocínio quanto à possibilidade de metaplasia resultante de processo inflamatório crônico folicular, o que leva a ossificação secundária do nevo melanocítico combinado.
Culver e Burgdorf em 1993 relataram o único caso da literatura de melanoma maligno associado a osteonevo de Nanta. No relato a paciente do sexo feminino apresentava melanoma extensivo superficial e nevo intradérmico com dois focos de ossificação na sua base.9 Ressalta‐se que existe a possibilidade de ocorrência de ossificação em melanomas, porém essa ocorre em meio a desmoplasia tumoral, diferente do caso relatado por esses autores em que a formação óssea estava na base do nevo intradérmico.
Apesar de aparentemente o fenômeno não estar relacionado com mau prognóstico, a possibilidade de metaplasia como mecanismo fisiopatogênico e um relato de sua associação com melanoma9 tornam o osteonevo de Nanta uma lesão com potencial importância clínica, não devem ser subestimados e sub‐relatados os achados de ossificação em lesões melanocíticas excisadas.
Suporte financeiroNenhum.
Contribuição dos autoresElaine Dias Melo: Concepção e planejamento do estudo; elaboração e redação do manuscrito; obtenção, análise e interpretação dos dados; participação intelectual em conduta propedêutica e/ou terapêutica de casos estudados; revisão crítica da literatura.
Patrícia Amaral Couto: Elaboração e redação do manuscrito; obtenção, análise e interpretação dos dados; revisão crítica da literatura.
Antônio Pedro Mendes Schettini: Aprovação da versão final do manuscrito; elaboração e redação do manuscrito; participação efetiva na orientação da pesquisa; revisão crítica da literatura; revisão crítica do manuscrito.
Carlos Alberto Chirano Rodrigues: Concepção e planejamento do estudo; participação efetiva na orientação da pesquisa; participação intelectual em conduta propedêutica e/ou terapêutica de casos estudados.
Conflitos de interesseNenhum.
À Dra. Patrícia Motta de Morais pelo auxílio no diagnóstico histopatológico e revisão do manuscrito.






