O líquen nítido é doença cutânea papuloescamosa crônica, relativamente rara, caracterizada por múltiplas pápulas em cúpula, medindo de 1 a 2mm, da cor da pele, brilhantes e frequentemente chamadas de pápulas semelhantes à cabeça de um alfinete1. O aparecimento das lesões geralmente é assintomático; além disso, às vezes pode estar associado a prurido.1 Essa condição incomum foi descrita pela primeira vez por Pinkus, em 1901.2 A pele é o principal local de ocorrência, mas as membranas mucosas e as unhas também podem ser afetadas.3
Nenhuma predileção por raça ou sexo foi relatada, embora a maioria dos casos pareça surgir em crianças e adultos jovens.1,4 Existem formas localizadas e generalizadas de líquen nítido, às vezes descritas em variantes clínicas: familiar, actínica, confluente, vesicular, hemorrágica, palmoplantar, mucosa, espinulosa e folicular, queratodérmica, perfurante ou linear.2,5 As lesões localizam‐se preferencialmente na superfície flexora dos braços e punhos e no abdome e genitália, embora possam se tornar disseminadas.5 Este relato de caso adiciona à literatura indexada o segundo caso de líquen nítido localizado exclusivamente em ambas as axilas.
O paciente é um homem caucasiano de 26 anos de idade, que foi examinado para avaliação de lesões assintomáticas em ambas as axilas; as lesões estavam presentes havia mais de quatro anos e mostravam aparecimento insidioso. O paciente negou tratamento prévio das lesões ou qualquer ingestão de medicamentos precedendo o aparecimento das mesmas. Ao exame dermatológico, foram observadas, em ambas as axilas, pápulas discretas e agrupadas da cor da pele, brilhantes, firmes, monomórficas e arredondadas em cúpula, com diâmetro de 1 a 3mm (fig. 1).
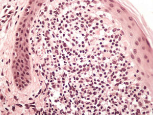
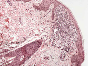
Uma biópsia de pele foi realizada nessas lesões, que mostrou um infiltrado linfo‐histiocitário em uma papila dérmica aumentada, com crescimento descendente dos cones epidérmicos (cristas interpapilares) ao redor do infiltrado inflamatório dérmico em forma de “garra segurando uma bola” (figs. 2 e 3). Observou‐se que a epiderme sobrejacente era normal e não havia evidência de espongiose ou exocitose.
O paciente foi tratado com a combinação de dexclorfeniramina 2mg e betametasona 0,25mg t.i.d. por via oral por 10 dias; depois do tratamento, o paciente mostrou estar virtualmente livre de lesões.
Há apenas um relato de líquen nítido nas axilas.3 Nosso paciente apresentou lesões apenas nessa área, enfatizando o aspecto peculiar de nosso relato. Outrora considerada uma reação tuberculoide, o líquen nítido é atualmente compreendido como uma doença de origem desconhecida. O diagnóstico diferencial inclui líquen plano, psoríase, verruga plana e queratose pilar.1,4 Foram relatados casos raros de líquen nítido associado a dermatite atópica, doença de Crohn, síndrome de Down e artrite crônica juvenil.1,3 A primeira hipótese clínica em nosso caso foi a doença de Fox‐Fordyce, em decorrência da presença de pápulas nas axilas. O diagnóstico final foi estabelecido pela análise histopatológica.
Devido à rara apresentação clínica de líquen nítido localizado exclusivamente em ambas as axilas, os médicos devem alertar para a necessidade de realização de biópsia cutânea para confirmar esse diagnóstico. O estudo histopatológico mostrou achados característicos de líquen nítido, incluindo infiltrado linfo‐histiocitário em uma papila dérmica aumentada com adelgaçamento da epiderme sobrejacente e extensão descendente dos cones epidérmicos na margem lateral do infiltrado, produzindo uma típica imagem de “garra segurando uma bola”.1,5
Em dois terços dos pacientes, as lesões apresentam remissão espontânea após alguns meses a um ano. Glicocorticoides tópicos podem ser úteis nas formas localizadas.1 Em nosso caso, o paciente foi tratado com sucesso com uma combinação de dexclorfeniramina 2mg e betametasona 0,25mg t.i.d. por via oral por 10 dias.
Gostaríamos de destacar a raridade da apresentação deste caso e a importância de considerar o líquen nítido como diagnóstico diferencial de pápulas nas axilas, sejam pruriginosas ou não.
Suporte financeiroNenhum.
Contribuições dos autoresWalter Belda Junior: aprovação da versão final do manuscrito; desenho e planejamento do estudo; redação e edição do manuscrito; coleta, análise e interpretação dos dados; participação efetiva na orientação da pesquisa; participação intelectual na conduta propedêutica e/ou terapêutica dos casos estudados; revisão crítica da literatura; revisão crítica do manuscrito.
Paulo Ricardo Criado: aprovação da versão final do manuscrito; desenho e planejamento do estudo; redação e edição do manuscrito; coleta, análise e interpretação dos dados; participação efetiva na orientação da pesquisa; participação intelectual na conduta propedêutica e/ou terapêutica dos casos estudados; revisão crítica da literatura; revisão crítica do manuscrito.
Nilton Gioia Di Chiacchio: aprovação da versão final do manuscrito; desenho e planejamento do estudo; redação e edição do manuscrito; coleta, análise e interpretação dos dados; participação efetiva na orientação da pesquisa; participação intelectual na conduta propedêutica e/ou terapêutica dos casos estudados; revisão crítica da literatura; revisão crítica do manuscrito.
Conflito de interessesNenhum.




