Suggestions
Idioma
Journal Information
Visits
4926
Vol. 100. Issue 5.
(September - October 2025)
Artigo original
Full text access

Penfigoide bolhoso: análise epidemiológica, clínica e terapêutica de 189 pacientes em centro terciário no Brasil

Visits
4926
Cecília Mirelle Almeida Honorato
Corresponding author
draceciliahonorato@gmail.com

Autor para correspondência.
, Claudia Giuli Santi, Celina Wakisaka Maruta, Valeria Aoki, Denise Miyamoto
Departamento de Dermatologia, Hospital das Clínicas, Faculdade de Medicina, Universidade de São Paulo, São Paulo, SP, Brasil
This item has received
Article information
Abstract
Full Text
Bibliography
Download PDF
Statistics
Figures (4)
fig0005
fig0010
fig0015
fig0020
Tables (4)
Tabela 1. Principais aspectos epidemiológicos e clínicos dos casos de PB estudados
Tables
Tabela 2. Comorbidades apresentadas pelos pacientes
Tables
Tabela 3. Principais achados laboratoriais dos casos de PB estudados
Tables
Tabela 4. Terapias utilizadas pelos pacientes durante o período de seguimento e seu estado na avaliação final
Tables
Resumo
Fundamentos

O penfigoide bolhoso (PB) é a dermatose bolhosa autoimune mais prevalente, com incidência crescente globalmente. Há escassez de literatura sobre PB na população multiétnica brasileira.

Objetivos

Avaliar as características epidemiológicas, clínicas e terapêuticas de pacientes com PB em centro terciário no Brasil.

Métodos

Revisão longitudinal retrospectiva de prontuários clínicos de 189 pacientes com PB, de janeiro de 1986 a setembro de 2023.

Resultados

O PB afetou principalmente indivíduos idosos, predominantemente do sexo feminino, com início médio dos sintomas aos 65,7 anos. As apresentações não bolhosas apresentaram tempo maior para o diagnóstico em comparação à forma bolhosa. Envolvimento da mucosa foi observado em 24,9% dos pacientes. Bolhas subepidérmicas foram a característica histopatológica predominante. A maioria dos casos apresentou fluorescência de IgG e C3 na zona da membrana basal (ZMB) na imunofluorescência direta. A imunofluorescência indireta revelou principalmente fluorescência de IgG ao longo da ZMB, e a técnica de salt‐split skin demonstrou predominantemente fluorescência de IgG no lado epidérmico da clivagem. Eosinofilia, níveis elevados de IgE e dímero D foram comuns. Corticosteroides sistêmicos permaneceram a base do tratamento. O PB foi associado a complicações significantes, incluindo tromboembolismo, hospitalização e infecções, juntamente com inúmeras comorbidades e porcentagem considerável (10,6%) de pacientes em uso de medicamentos potencialmente indutores de PB.

Limitações do estudo

As limitações do estudo incluem seu desenho retrospectivo, a dependência de registros clínicos potencialmente incompletos e os achados de um único centro terciário.

Conclusões

O presente estudo fornece informações cruciais sobre a natureza multifacetada do PB na população brasileira, enfatizando a necessidade de estratégias abrangentes de manejo para abordar suas diversas complicações e condições associadas.

Palavras‐chave:
Brasil
Doenças autoimunes
Penfigoide bolhoso
Full Text
Introdução

O penfigoide bolhoso (PB) é a dermatose bolhosa autoimune mais comum, afetando principalmente indivíduos idosos com mais de 70 anos. Houve aumento significante na incidência nas últimas duas décadas em virtude do envelhecimento da população, do reconhecimento precoce das formas não bolhosas da doença e da maior disponibilidade de métodos diagnósticos. O PB resulta da produção de autoanticorpos contra os antígenos hemidesmossomos BP‐180 e BP‐230, componentes da zona da membrana basal (ZMB). A subsequente perda de adesão entre a epiderme e a derme leva a um descolamento subepidérmico, resultando em bolhas tensas. Essa apresentação clínica é classificada como penfigoide bolhoso ou clássico. Entretanto, outras formas da doença foram descritas, como o líquen plano penfigoide e até mesmo formas não bolhosas de PB, incluindo prurigo‐símile, eczematosa, disidrosiforme, urticariforme e eritrodermia.1,2 A figura 1 mostra as manifestações clínicas do PB clássico e das formas não bolhosas, incluindo apresentações eczematosas, prurigo‐símile e urticariforme.

Figura 1.

Manifestações clínicas do PB clássico com bolhas tensas (A) e formas não bolhosas de PB, incluindo eczematosa (B), pruriginosa (C) e urticariforme (D).

Há escassez de literatura sobre PB no Brasil, um país multiétnico com população em envelhecimento. Que seja de conhecimento dos autores, este é o primeiro estudo sobre o perfil de pacientes com PB no Brasil, com seguimento de 37 anos. O objetivo do presente estudo é avaliar retrospectivamente os perfis epidemiológico, clínico e terapêutico de pacientes com PB seguidos no Departamento de Dermatologia do Hospital das Clínicas, Faculdade de Medicina da Universidade de São Paulo, Brasil.

Métodos

Este estudo retrospectivo, longitudinal e descritivo incluiu pacientes avaliados de janeiro de 1986 a setembro de 2023 no Departamento de Dermatologia do Hospital das Clínicas, Faculdade de Medicina da Universidade de São Paulo, Brasil. Após aprovação do comitê de ética (CAAE n° 63382922.2.0000.0068), foram incluídos pacientes com PB confirmado de acordo com os seguintes critérios diagnósticos: (1) características clínicas e (2) histopatológicas compatíveis, e (3) presença de IgG e/ou C3 na ZMB demonstrada por imunofluorescência direta (IFD) e/ou imunofluorescência indireta (IFI) com depósitos de IgG na ZMB, e IFI com técnica Salt‐split skin (SSS) com IgG na epiderme ou na face epiderme‐dérmica da clivagem.

Os prontuários médicos foram revisados para coletar dados sobre epidemiologia, apresentação clínica, comorbidades, achados histopatológicos e de imunofluorescência, tratamentos administrados e complicações. Pacientes com prontuários médicos incompletos que dificultaram a coleta de dados importantes da pesquisa foram excluídos.

Resultados

Foram incluídos 189 pacientes no estudo, com seguimento médio de 55 meses. Houve predominância do sexo feminino (62,4%) e a maioria dos pacientes era branca (85,2%). A média de idade de início dos sintomas foi de 65,7 anos, e o tempo médio geral até o diagnóstico foi de 9,3 meses (6,5 meses para PB bolhoso vs. 43,4 meses para PB não bolhoso). Dois casos começaram durante a gravidez.

PB com bolhas foi a apresentação inicial mais comum (88,3%), seguida pelas formas não bolhosas (7,9%), entre as quais 46,7% desenvolveram bolhas após média de 31,6 meses. O envolvimento da mucosa ocorreu em 24,9% dos pacientes, afetando Opredominantemente a mucosa oral (95,7%). O PB foi uma das hipóteses diagnósticas iniciais em 85,2% dos casos, e os principais diagnósticos diferenciais – epidermólise bolhosa adquirida (29,1%), dermatose bolhosa por IgA linear (14,8%), dermatite herpetiforme (10,6%) – foram descartados de acordo com os estudos de imunofluorescência.

Comorbidades cardiovasculares e metabólicas estavam presentes em 77,8% dos pacientes, seguidas por condições neuropsiquiátricas (25,4%), outras doenças autoimunes e inflamatórias (24,9%) e neoplasias malignas (23,3%). Medicamentos potencialmente indutores de PB foram observados em 10,6% dos casos: antagonistas da aldosterona (3,2%), inibidores da dipeptidil peptidase 4 (DDP4; 3,2%), anticolinérgicos (2,6%) e medicamentos dopaminérgicos (1,6%).

As principais características histopatológicas observadas foram formação de bolhas subepidérmicas (88,0%), espongiose eosinofílica (6,0%), presença de eosinófilos (52,2%), eosinófilos e neutrófilos (35,3%) e exclusivamente neutrófilos (4,9%). Os principais achados da IFD incluíram deposição de imunocomplexos na ZMB com IgG e C3 (73,8%), apenas C3 (20,8%) ou IgG (5,5%). A IIF com a técnica SSS demonstrou fluorescência de IgG no lado epidérmico da clivagem (81,9%) ou em ambos os lados, epidérmico e dérmico (4,0%). Avaliações adicionais dos pacientes revelaram níveis séricos elevados de IgE (47/63; 74,6%), eosinofilia (91/187; 48,7%) e níveis aumentados de dímero D (26/28; 92,8%).

O tratamento sistêmico foi a base da terapia, com o uso de corticosteroides (82,5%), doxiciclina/tetraciclina (44,9%), imunossupressores (22,7%), dapsona (17,5%), rituximabe (2,1%) e plasmaférese (0,5%). Corticoide tópico exclusivo foi utilizado em 6,9% dos pacientes e um paciente apresentou remissão espontânea. Dados da última consulta revelaram que 40,7% dos pacientes apresentaram remissão completa com a terapia e 30,7% apresentaram remissão completa sem terapia. Remissão parcial com medicação foi observada em 22,2% dos pacientes e 5,8% apresentaram recorrência (> 3 lesões com duração ≥ 7 dias).

Eventos tromboembólicos venosos ocorreram em 7,9% dos pacientes, incluindo trombose venosa profunda (72,2%), embolia pulmonar (22,2%) e trombose da veia porta (5,5%). Infecção bacteriana secundária ocorreu em 62,4% dos pacientes. Hospitalização foi necessária em 55,0% dos pacientes, seja pela gravidade da doença ou por complicações infecciosas.

Dados de 15 óbitos estavam disponíveis; a infecção foi a principal causa (40,0%), seguida por complicações relacionadas a neoplasias (13,3%). A duração média da doença no momento do óbito dos pacientes foi de 37,5 meses. As principais características dos casos estudados estão descritas nas tabelas 1 a 4.

Tabela 1.

Principais aspectos epidemiológicos e clínicos dos casos de PB estudados

Sujeitos (n)189 
Tempo médio de seguimento (meses),± desvio padrão55,0 (0,3 a 448) 
SexoFeminino  62,4% (118/189) 
Masculino  37,6% (71/189) 
Raça/etniaBranca  85,2% (161/189) 
Multirracial  7,9% (15/189) 
Asiática  3,7% (7/189) 
Negra  2,1% (4/189) 
Não especificado  1,0% (2/189) 
Idade média de início (anos),±desvio padrão  65,7 (0,2 a 93)   
Tempo médio para diagnóstico (meses),±desvio padrãoGeral  9,3 (0,2 a 221) 
PB clássico  6,5 (0,2 a 120) 
PB não bolhoso  43,4 (1 a 221) 
Apresentação clínica na avaliação inicialBolhoso  88,3% (167/189) 
Não bolhoso  7,9% (15/189) 
Eczematoso  40,0% (6/15) 
Prurigo‐símile  26,7% (4/15) 
Urticariforme  13,3% (2/15) 
Eritrodermia  13,3% (2/15) 
Disidrosiforme  6,7% (1/15) 
Penfigoide do líquen plano  0,5% (1/189) 
Sem lesões ativas  2,1% (4/189) 
Não especificado  1,0% (2/189) 
Envolvimento da mucosaTotal de pacientes com envolvimento de mucosa  24,9% (47/189) 
Oral  95,7% (45/47) 
Nasal  10,6% (5/47) 
Laringe  8,5% (4/47) 
Esofágica  2,1% (1/47) 
Faringe  2,1% (1/47) 
Conjuntiva  2,1% (1/47) 
PruridoPresente  70,4% (133/189) 
Ausente  0,0% (0/189) 
Não especificado  29,6% (56/189) 
Principais hipóteses diagnósticas na avaliação inicialPenfigoide bolhoso  85,2% (161/189) 
Epidermólise bolhosa adquirida  29,1% (55/189) 
Dermatose bolhosa por IgA linear  14,8% (28/189) 
Dermatite herpetiforme  10,6% (20/189) 
Medicamentos potencialmente indutores de PBPorcentagem de pacientes em uso de um deles  10,6% (20/189) 
Antagonistas da aldosterona  3,2% (6/189) 
Inibidores da dipeptidil peptidase 4  3,2% (6/189) 
Anticolinérgicos  2,6% (5/189) 
Medicamentos dopaminérgicos  1,6% (3/189) 
ComplicaçõesTaxa de hospitalização  55,0% (104/189) 
Tromboembolismo venoso  7,9% (15/189) 
Infecção bacteriana secundária (pelo menos 1 episódio)  62,4% (118/189) 
ÓbitoInfecções  66,7% (10/15) 
Complicações associadas às neoplasias  13,3% (2/15) 
Outros (complicações de hérnia epigástrica, edema pulmonar agudo e infarto do miocárdio)  20,0% (3/15) 
Tabela 2.

Comorbidades apresentadas pelos pacientes

Doenças cardiovasculares e metabólicas  77,8% (147/189) 
Hipertensão arterial sistêmica  63,5% (120/189) 
Diabetes mellitus  38,6% (73/189) 
Dislipidemia  26,4% (50/189) 
Osteoporose  20,6% (39/189) 
Doença renal crônica  10,0% (19/189) 
Insuficiência cardíaca congestiva  9,5% (18/189) 
Doença arterial coronária  9,0% (17/189) 
Arritmia  7,9% (15/189) 
Gota  1,6% (3/189) 
Doenças neurológicas e psiquiátricas  25,4% (48/189) 
Doença cerebrovascular  12,2% (23/189) 
Demência  9,5% (18/189) 
Doença de Alzheimer  4,8% (9/189) 
Demência vascular  0,5% (1/189) 
Demência mista  0,5% (1/189) 
Causa desconhecida  3,7% (7/189) 
Depressão  6,9% (13/189) 
Ansiedade  3,2% (6/189) 
Epilepsia  2,6% (5/189) 
Doença de Parkinson  2,6% (5/189) 
Esquizofrenia  1,6% (3/189) 
Transtorno intelectual  1,0% (2/189) 
Transtorno afetivo bipolar  0,5% (1/189) 
Transtorno de personalidade  0,5% (1/189) 
Malignidades  23,3% (44/189) 
Pele  7,4% (14/189) 
Carcinoma basocelular  5,3% (10/189) 
Carcinoma espinocelular  3,2% (6/189) 
Micose fungoide  0,5% (1/189) 
Não especificado  1,0% (2/189) 
Próstata  3,2% (6/189) 
Mama  2,6% (5/189) 
Hematológico  2,6% (5/189)a 
Oral  1,0% (2/189) 
Ovário  1,0% (2/189) 
Estômago  1,0% (2/189) 
Reto  1,0% (2/189) 
Outros  5,3% (10/189)b 
Doenças autoimunes e inflamatórias  24,9% (47/189) 
Hipotireoidismo  11,1% (21/189) 
Artrite reumatoide  5,8% (11/189) 
Asma  4,2% (8/189) 
Psoríase  1,6% (3/189) 
Lúpus eritematoso  1,0% (2/189)c 
Rinite alérgica  1,0% (2/189) 
Artrite psoriática  0,5% (1/189) 
Dermatite atópica  0,5% (1/189) 
Doença inflamatória intestinal  0,5% (1/189) 
Vitiligo  0,5% (1/189) 
Líquen escleroso  0,5% (1/189) 
Outras   
Condições imunossupressoras  1,6% (3/189) 
Transplante renal  0,5% (1/189) 
Transplante de fígado  0,5% (1/189) 
Imunodeficiência comum variável  0,5% (1/189) 
Oftalmológicas  7,9% (15/189) 
Cataratas  4,8% (9/189) 
Glaucoma  4,2% (8/189) 
Doenças Infecciosas  3,2% (6/189) 
Hepatite B  1,0% (2/189) 
Hepatite C  1,0% (2/189) 
HIV  0,5% (1/189) 
Tuberculose  0,5% (1/189) 
a

Incluindo síndrome mielodisplásica, mieloma múltiplo, mielofibrose, linfoma e não especificado (um paciente cada).

b

Incluindo vulva, rim, laringe, fígado, pulmão, bexiga, endométrio, intestino, cérebro e não especificado (um paciente cada).

c

Incluindo um caso de lúpus eritematoso sistêmico e um caso de lúpus discoide.

Tabela 3.

Principais achados laboratoriais dos casos de PB estudados

Achados histopatológicos
Bolhas subepidérmicas  88,0% (162/184) 
Espongiose eosinofílica  6,0% (11/184) 
Bolhas intraepidérmicas  14,1% (26/184) 
Eosinófilos (sem neutrófilos)  52,2% (96/184) 
Neutrófilos (sem eosinófilos)  4,9% (9/184) 
Eosinófilos e neutrófilos  35,3% (65/184) 
Imunofluorescência direta
Deposição combinada de IgG e C3 na ZMB  73,8% (135/183) 
Deposição de C3 na ZMB (sem IgG)  20,8% (38/183) 
Deposição de IgG na ZMB (sem C3)  5,5% (10/183) 
Deposição de IgA na ZMB  9,3% (17/183) 
Deposição de IgM na ZMB  6,5% (12/183) 
Negatividade para IgG e C3  0,0% (0/183) 
Amostragem inadequada  1,6% (3/189) 
Exame não realizado  1,6% (3/189) 
Imunofluorescência indireta
Deposição de IgG na ZMB  72,7% (120/165) 
Deposição de IgM na ZMB  2,7% (4/145) 
Deposição de IgA na ZMB  2,7% (4/146) 
Imunofluorescência indireta com técnica de salt‐split skin
IgG no lado epidérmico da divisão  81,9% (122/149) 
IgG no lado epidérmico e dérmico da divisão  4,0% (6/149) 
IgA no lado epidérmico da divisão  12,0% (18/150) 
IgM no lado epidérmico da divisão  3,7% (2/54) 
Níveis de IgE
Acima da faixa de referência do laboratório  74,6% (47/63) 
Eosinofilia
Contagem de eosinófilos ≥ 500  48,7% (91/187) 
Níveis de dímero D
Acima da faixa de referência do laboratório  92,8% (26/28) 
Tabela 4.

Terapias utilizadas pelos pacientes durante o período de seguimento e seu estado na avaliação final

Tratamento (porcentagem de pacientes submetidos a cada terapia durante o seguimento)
Injeção intralesional de corticosteroide  2,6% (5/189) 
Tetraciclina  9,5% (18/189) 
Doxiciclina  35,4% (67/189) 
Dapsona  17,5% (33/189) 
Corticosteroides sistêmicos  82,5% (156/189) 
Metotrexato  7,4% (14/189) 
Micofenolato mofetil  11,1% (21/189) 
Azatioprina  4,2% (8/189) 
Rituximabe  2,1% (4/189) 
Plasmaférese  0,5% (1/189) 
Resultado na última consulta   
Remissão completa com medicação  40,7% (77/189) 
Remissão completa sem medicação  30,7% (58/189) 
Remissão parcial com medicação  22,2% (42/189) 
Remissão parcial sem medicação  0,5% (1/189) 
Recorrência (> 3 lesões com duração ≥ 7 dias)  5,8% (11/189) 
Discussão

O PB é a dermatose bolhosa autoimune mais comum, afetando principalmente indivíduos da raça branca com mais de 70 anos, sem predileção por sexo.2 Na presente série de casos, a doença afetou principalmente idosos, com média de idade de início dos sintomas de 65,7 anos, predominantemente brancos (85,2%) e com leve predominância do sexo feminino (62,4%). Como centro de referência, esta série de casos incluiu cinco casos raros de crianças com PB, o que pode ter reduzido ligeiramente a média de idade. Notavelmente, a composição étnica da amostra contrasta com os dados do Censo de 2022,3 no qual apenas 43,5% da população se autoidentificou como branca. Como este é um estudo unicêntrico, essa limitação pode ter contribuído para as diferenças observadas, refletindo características regionais e disparidades no acesso à saúde.

O tempo médio geral para o diagnóstico de PB foi de 9,3 meses, maior nas formas não bolhosas do que nas bolhosas, o que pode ocorrer porque a ausência de bolhas pode representar um desafio para os médicos no reconhecimento dessa condição.1 É importante mencionar que os pacientes encaminhados ao centro terciário do presente estudo frequentemente apresentam histórico de múltiplas consultas em diferentes unidades de saúde, o que leva ao diagnóstico tardio. Notavelmente, 46,7% dos pacientes com PB não bolhoso desenvolveram bolhas após média de 31,6 meses, proporção maior do que a relatada anteriormente,1 provavelmente em virtude do seguimento prolongado (média de 55,0 meses).

No presente estudo, o envolvimento da mucosa foi observado em 24,9% dos pacientes (dentro da faixa relatada de 10% a 30%),1,2,4 principalmente na mucosa oral, e foi associado ao PB clássico e ao aumento da gravidade da doença cutânea. O prurido foi sintoma comum, destacando a importância de considerar o PB como potencial diagnóstico diferencial para prurido crônico em pacientes idosos.1,2 O PB foi uma das hipóteses diagnósticas iniciais em 85,2% dos casos; os principais diagnósticos diferenciais foram outras dermatoses bolhosas subepidérmicas.

A figura 2 apresenta a prevalência dos principais grupos de doenças entre os pacientes. Condições neurológicas e psiquiátricas estavam presentes em 25,4% dos pacientes, e estudos indicam que 26,4% a 55,8% dos pacientes com PB apresentam pelo menos uma condição neurológica.5 Condições cardiovasculares e metabólicas foram prevalentes em 77,8% dos pacientes, consistentes com maior prevalência de síndrome metabólica associada ao PB,5 contribuindo para o aumento da morbidade. A associação entre PB e malignidades permanece controversa, mas a alta taxa dessa associação (encontrada em 23,3% dos presentes casos) pode ser decorrente da prevalência de PB em faixas etárias mais avançadas.5 Comorbidades autoimunes e inflamatórias estavam presentes em 24,9% dos pacientes, refletindo a natureza autoimune do PB.5

Figura 2.

Gráfico mostrando a prevalência dos principais grupos de doenças apresentadas pelos pacientes.

Recente metanálise sugeriu conexão entre certos medicamentos, como antagonistas da aldosterona, inibidores da DPP4, anticolinérgicos e dopaminérgicos, e o desenvolvimento de PB.6 No presente estudo, 10,6% dos pacientes estavam usando pelo menos um desses medicamentos potencialmente indutores de PB na avaliação inicial. Análises adicionais são necessárias para orientar práticas de prescrição informadas para o manejo do PB, visto que alguns desses medicamentos são essenciais para o tratamento de comorbidades.

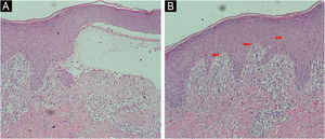
Os achados histopatológicos mostraram principalmente bolhas subepidérmicas, frequentemente acompanhadas por eosinófilos e/ou neutrófilos, o que é consistente com os achados típicos de lesões bolhosas, enquanto lesões não bolhosas geralmente demonstram a presença de espongiose eosinofílica (fig. 3). A formação de bolhas intraepidérmicas pode ser atribuída ao fenômeno de reepitelização e também à espongiose significante, levando à vesiculação intraepidérmica.7

Figura 3.

Biopsia de pele. (A) Achados histopatológicos de bolhas subepidérmicas com eosinófilos na forma clássica de PB (Hematoxilina & eosina, 4×). (B) Presença de espongiose eosinofílica (eosinófilos intraepidérmicos dentro de áreas de espongiose) em um caso de forma não bolhosa (Hematoxilina & eosina, 4×).

A IFD revelou fluorescência combinada de IgG e C3 na ZMB em 73,8% dos casos, sem negatividade para ambos os marcadores, indicando a alta sensibilidade desse método. A IFI detectou depósitos de IgG ao longo da ZMB em 72,7% dos casos, enquanto a técnica SSS apresentou maior positividade, com 81,9% dos casos apresentando fluorescência de IgG no lado epidérmico – resultado esperado dada a maior sensibilidade da técnica SSS.8 Todas as três técnicas demonstraram baixos valores de positividade para IgA e IgM. A positividade dessas imunoglobulinas é relatada na literatura, com associações sugeridas entre a positividade de IgA e o envolvimento da mucosa.9–11 A figura 4 mostra os principais achados das técnicas de IFD e SSS.

Figura 4.

Achados de imunofluorescência com imunofluorescência indireta demonstrando deposição de IgG (A) e C3 (B) na zona da membrana basal, e imunofluorescência indireta com técnica de salt‐split skin demonstrando deposição de IgG no lado epidérmico da divisão (C).

Uma parcela significante dos casos avaliados apresentou eosinofilia e níveis elevados de IgE e dímero D. Esses marcadores se correlacionam com a gravidade e a atividade do PB, servindo como importantes indicadores prognósticos.2 Entretanto, a natureza retrospectiva do estudo limitou análises mais aprofundadas, visto que esses parâmetros não estavam disponíveis para todos os pacientes.

A imunossupressão é o tratamento primário para PB, com apenas 6,9% dos pacientes utilizando corticosteroides tópicos isoladamente, apesar de a literatura indicar sua eficácia para casos leves.2 Corticosteroides sistêmicos foram administrados a 82,5% dos pacientes, provavelmente em virtude da maior gravidade dos casos no centro terciário do presente estudo, e apenas um paciente apresentou melhora espontânea sem qualquer tratamento. Entretanto, apesar dos desafios no tratamento de pacientes com PB, o presente estudo mostrou resultados promissores de tratamento, visto que a maioria dos pacientes estava em remissão completa na última avaliação, independentemente de ainda necessitarem ou não de medicação específica.

A taxa de hospitalização no presente estudo foi de 55,0%, em concordância com relatos anteriores de 53,0%.12 Tromboembolia venosa ocorreu em 7,9% dos pacientes, principalmente após o início da doença, provavelmente pela desregulação imunológica induzida pelo PB, que promove o estado pró‐inflamatório e aumenta o risco tromboembólico.2 Além disso, 62,4% dos pacientes apresentaram pelo menos um episódio de infecção bacteriana secundária, complicação comum e principal causa de hospitalização em pacientes com PB.13 Infecções, particularmente pneumonia, foram a principal causa de mortalidade, embora dados de mortalidade estivessem disponíveis para apenas 15 pacientes, o que representa uma limitação.

Conclusão

As complexidades do PB são evidentes, com diversas apresentações clínicas, doenças associadas, regimes de tratamento desafiadores e múltiplas complicações. Apesar de suas limitações, incluindo o desenho retrospectivo e achados de um único centro terciário, este estudo fornece informações cruciais sobre a natureza multifacetada do PB no contexto brasileiro, enfatizando a necessidade de abordagem abrangente para o diagnóstico, tratamento, cuidado ao paciente e prevenção de complicações.

Disponibilidade de dados de pesquisa

Todo o conjunto de dados que dá suporte aos resultados deste estudo foi publicado no próprio artigo.

Suporte financeiro

Nenhum.

Editor

Sílvio Alencar Marques.

Contribuição dos autores

Cecília Mirelle Almeida Honorato: Revisão crítica da literatura; obtenção, análise e interpretação dos dados; elaboração e redação do manuscrito; análise estatística; concepção e planejamento do estudo.

Claudia Giuli Santi: Aprovação da versão final do manuscrito; participação efetiva na orientação da pesquisa; participação intelectual em conduta propedêutica e/ou terapêutica de casos estudados; revisão crítica do manuscrito; concepção e planejamento do estudo.

Celina Wakisaka Maruta: Aprovação da versão final do manuscrito; participação efetiva na orientação da pesquisa; participação intelectual em conduta propedêutica e/ou terapêutica de casos estudados; revisão crítica do manuscrito.

Valeria Aoki: Aprovação da versão final do manuscrito; participação efetiva na orientação da pesquisa; participação intelectual em conduta propedêutica e/ou terapêutica de casos estudados; revisão crítica do manuscrito.

Denise Miyamoto: Revisão crítica da literatura; elaboração e redação do manuscrito; concepção e planejamento do estudo; aprovação da versão final do manuscrito; participação efetiva na orientação da pesquisa; participação intelectual em conduta propedêutica e/ou terapêutica de casos estudados; revisão crítica do manuscrito.

Conflito de interesses

Nenhum.

Referências
[1]
A. Lamberts, J.M. Meijer, M.F. Jonkman.
Nonbullous pemphigoid: a systematic review.
J Am Acad Dermatol., 78 (2018), pp. 989-995.e2
[2]
D. Miyamoto, C.G. Santi, V. Aoki, C.W. Maruta.
Bullous pemphigoid.
An Bras Dermatol., 94 (2019), pp. 133-146
[3]
Instituto Brasileiro de Geografia e Estatística (IBGE). Censo 2022: Panorama; c2024 [Acesso em 23 out. 2024]. Disponível em: https://censo2022.ibge.gov.br/panorama.
[4]
K. Kridin, R. Bergman.
Assessment of the prevalence of mucosal involvement in bullous pemphigoid.
JAMA Dermatol., 155 (2019), pp. 166-171
[5]
J. Huttelmaier, S. Benoit, M. Goebeler.
Comorbidity in bullous pemphigoid: update and clinical implications.
Front Immunol., 14 (2023),
[6]
S. Liu, De, W.T. Chen, C.C. Chi.
Association between medication use and bullous pemphigoid: a systematic review and meta‐analysis.
JAMA Dermatol., 156 (2020), pp. 891-900
[7]
B.D. Hodge, J. Roach, J.L. Reserva, T. Patel, A. Googe, J. Schulmeier, et al.
The spectrum of histopathologic findings in pemphigoid: avoiding diagnostic pitfalls.
J Cutan Pathol., 45 (2018), pp. 831-838
[8]
D.F. Mutasim, B.B. Adams.
Immunofluorescence in dermatology.
J Am Acad Dermatol., 45 (2001), pp. 803-822
[9]
B. Horváth, A. Niedermeier, E. Podstawa, R. Müller, N. Hunzelmann, S. Kárpáti, et al.
IgA autoantibodies in the pemphigoids and linear IgA bullous dermatosis.
Exp Dermatol., 19 (2010), pp. 648-653
[10]
E. Cozzani, M. Drosera, A. Parodi, M. Carrozzo, S. Gandolfo, A. Rebora.
Frequency of IgA antibodies in pemphigus, bullous pemphigoid and mucous membrane pemphigoid.
Acta Derm Venereol., 84 (2004), pp. 381-384
[11]
K. Boch, C.M. Hammers, S. Goletz, M. Kamaguchi, R.J. Ludwig, S.W. Schneider, et al.
Immunoglobulin M pemphigoid.
J Am Acad Dermatol., 85 (2021), pp. 1486-1492
[12]
S. Lee, S. Rastogi, D.Y. Hsu, B. Nardone, J.I. Silverberg.
Association of bullous pemphigoid and comorbid health conditions: a case‐control study.
Arch Dermatol Res., 313 (2021), pp. 327-332
[13]
Z. Ren, D.Y. Hsu, J. Brieva, N.B. Silverberg, S.M. Langan, J.I. Silverberg.
Hospitalization, inpatient burden, and comorbidities associated with bullous pemphigoid in the U.S.A.
Br J Dermatol., 176 (2017), pp. 87-99

Como citar este artigo: Honorato CMA, Santi CG, Maruta CW, Aoki V, Miyamoto D. Bullous pemphigoid: epidemiological, clinical, and therapeutic analysis of 189 patients in a tertiary center in Brazil. An Bras Dermatol. 2025;100:501163.

Trabalho realizado no Departamento de Dermatologia, Hospital das Clinicas, Faculdade de Medicina, Universidade de São Paulo, São Paulo, SP, Brasil.

Copyright © 2025. Sociedade Brasileira de Dermatologia
Download PDF
Idiomas
Anais Brasileiros de Dermatologia
Article options
Tools