Paciente do sexo feminino, de 35 anos, com história de cretinismo e doença renal crônica secundária a doença urológica congênita, recebeu transplante renal aos 30 anos. Após cinco anos, por rejeição do enxerto, necessitou de novo transplante e foi iniciado o uso de prednisona 20mg/dia, tacrolimus 16mg/dia e micofenolato de mofetila 250mg a cada 8 horas.
Durante a internação por bacteremia secundária à infecção do trato urinário, foram observadas placas eritematosas com bordas difusas e discreta descamação superficial assintomáticas na superfície anterior e lateral da perna esquerda (figs. 1 e 2).
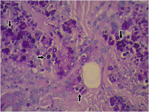
As investigações laboratoriais mostraram níveis de leucócitos de 4.900mm3, com neutrofilia relativa de 94%. O ultrassom com Doppler arterial e venoso do membro inferior esquerdo mostrou linfedema e aumento da ecogenicidade do tecido subcutâneo. A tomografia computadorizada por emissão de pósitrons (PET‐CT) revelou aumento da densidade do tecido celular subcutâneo, acompanhado de processo inflamatório. Foi realizada biópsia de pele para análise histopatológica e cultura de bactérias, micobactérias e fungos. A primeira apresentava grandes estruturas arredondadas, com múltiplos septos citoplasmáticos, alguns com aspecto de mórula, e numerosos esporângios com septos internos formando endósporos (figs. 3 e 4). Na cultura, foram observadas colônias branco‐creme, algumas rugosas com centros deprimidos, compatíveis com Prototheca spp. (fig. 5).
A paciente iniciou tratamento sistêmico com anfotericina B lipossomal, 200mg/dia, com melhora das lesões cutâneas. Quatorze dias depois, o tratamento foi alterado para itraconazol 200mg a cada 8 horas por três dias e depois continuou com 200mg a cada 12 horas. Apresentou evolução letárgica com melhora parcial e piora intermitente. Após nove meses, foi realizada nova cultura de pele na qual foi verificada a sensibilidade do Prototheca; o tratamento foi alterado para fluconazol 200mg de 12 em 12 horas e minociclina 100mg de 12 em 12 horas.
Por fim, a paciente desenvolveu choque séptico relacionado à infecção do trato urinário causada por Klebsiella pneumoniae produtora de carbapenemases. Foram administrados antibióticos, mas, apesar disso, a paciente evoluiu com falência de múltiplos órgãos e faleceu.
A prototecose é infecção rara causada por algas da espécie Prototheca spp. As espécies do gênero Prototheca, Prototheca wickerhamii e zopfii são as que mais frequentemente afetam hospedeiros imunocomprometidos.1,2
A infecção por Prototheca varia de envolvimento indolente e localizado da pele, infecção de tecidos moles, bursite do olecrano em pacientes imunocompetentes, a infecção disseminada devastadora com algemia e infiltração visceral com alta mortalidade em hospedeiros imunocomprometidos em decorrência de transplante, diabetes, HIV e doenças hematológicas.2,3 A forma cutânea representa a manifestação mais frequente (três em quatro pacientes). As lesões geralmente aparecem em áreas expostas à implantação traumática. Em geral, apresenta‐se como placas eritematosas mal definidas, embora com menos frequência possa se manifestar como lesões nodulares, pustulosas, verrucosas e ulceradas.
O diagnóstico é feito após suspeita clínica, através da detecção de estruturas características em culturas de pele e exame microscópico. O diagnóstico definitivo de infecção geralmente é baseado na identificação morfológica dos organismos em preparações de material de cultura em lâminas úmidas e/ou pela identificação direta em amostras de tecido, como no caso relatado.1–4
O prognóstico é bom em quase 70% dos casos. Por outro lado, quando se apresenta de forma disseminada, tem pior prognóstico, com alta mortalidade.1,5 Os medicamentos mais comumente usados são os antifúngicos, incluindo anfotericina B e azóis sistêmicos. Atualmente, a anfotericina B é o tratamento de primeira linha em casos disseminados e em pacientes com doenças subjacentes graves ou imunossupressão.6–9
Em conclusão, a prototecose é infecção pouco frequente com manifestações cutâneas inespecíficas; portanto, na presença de placas, nódulos, lesões ulceradas ou verrucosas em pacientes imunossuprimidos, deve‐se realizar biópsia de pele para cultura e análise histopatológica para detecção dos agentes infecciosos. O início do tratamento adequado previne a progressão da doença. 5–10
Suporte financeiroNenhum.
Contribuição dos autoresAnama Di Prinzio: Concepção e planejamento do estudo; redação do manuscrito.
Marina Ruf: Concepção e planejamento do estudo; participação intelectual em conduta propedêutica e/ou terapêutica de casos estudados.
Ana C. Torre: Obtenção dos dados, ou análise e interpretação dos dados.
Sofía V. Duran Daza: Redação do manuscrito ou revisão crítica de conteúdo intelectual importante.
ictoria I. Volonteri: Obtenção dos dados.
Viviana Flores: Obtenção dos dados.
Luis D. Mazzuoccuolo: Aprovação da versão final do manuscrito.
Conflito de interessesNenhum.
Agradecemos à Dra. Victoria Volonteri por sua colaboração com as imagens da histopatologia da paciente.






