Nas últimas décadas, técnicas de pigmentação da face com propósitos estéticos tornaram‐se comuns. Entre elas, encontra‐se a micropigmentação de sobrancelhas. Diferentemente das tatuagens tradicionais, em que o pigmento é depositado nas camadas mais profundas da derme, na micropigmentação o pigmento semipermanente é depositado na porção superior da derme. Reações adversas a essa técnica incluem infecção, dermatite de contato, reações granulomatosas e fenômeno de Koebner.1
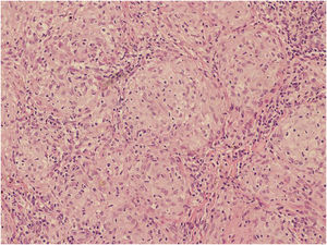
Paciente do sexo feminino, 30 anos, com histórico de cirurgia bariátrica, sem outras comorbidades. Queixava‐se de relevo nas sobrancelhas há três meses. Fez micropigmentação na região repetidas vezes nos últimos quatro anos, a última sessão havia 14 meses. Negava qualquer sintoma sistêmico. Ao exame, apresentava placas elevadas em topografia de sobrancelhas, principalmente à direita, além de áreas de alopecia (fig. 1A). À dermatoscopia, visualizavam‐se áreas de coloração marrom‐alaranjada homogêneas e rarefação dos pelos (fig. 2). O restante do exame físico resultou normal. Exames complementares, incluindo nível sérico de cálcio, eletrocardiograma, Raio‐X de tórax, eletroforese de proteínas séricas e teste tuberculínico, eram normais. Exame anatomopatológico demonstrou dermatite crônica granulomatosa não caseificante de padrão sarcoide (fig. 3); pesquisa de bacilo álcool‐ácido resistente (BAAR) e fungos negativa. Com o diagnóstico de reação sarcoide secundária à micropigmentação de sobrancelhas, foi realizado tratamento com doxiciclina 100mg/dia e fludroxicortida oclusiva por 15 dias. A paciente perdeu a consulta de reavaliação e retornou após três meses com regressão completa das lesões (fig. 1B), quando foi orientada a não repetir o procedimento.
Em geral, o processo de micropigmentação é feito com uma caneta de tatuagem portátil, menor do que a máquina de tatuagem decorativa tradicional. Tintas prontas estão disponíveis no mercado, mas alguns profissionais fazem suas próprias misturas. A eliminação do pigmento pode ocorrer durante os primeiros dias da cicatrização e, depois, as partículas de pigmento remanescentes ficam armazenadas nos macrófagos dérmicos e nos fibroblastos.2,3
Granulomas sarcoides podem se desenvolver em áreas de tatuagem ou maquiagem permanente como reações autônomas ou como parte da sarcoidose sistêmica. O tempo entre a realização do procedimento e o surgimento da reação é variável, podendo haver um longo período de latência, o que justifica a investigação de sarcoidose sistêmica.1,2
Os corticosteroides tópicos e intralesionais são a primeira linha de tratamento.1 Estudos sugerem que as tetraciclinas inibem a formação de granulomas, e seu papel no tratamento das reações sarcoides já se encontra documentado.4 Há também relatos de tratamento sistêmico com alopurinol e antimaláricos.5 A paciente em questão apresentou excelente resposta em curto tempo de tratamento com corticosteroide oclusivo associado à doxiciclina, sem recorrência das lesões até o presente momento.
Enquanto inúmeros casos de granulomas sarcoides em tatuagens corporais são relatados, poucos são relacionados com a micropigmentação de sobrancelhas. Com a maior prevalência dessa técnica cosmética, é importante o reconhecimento de suas possíveis reações adversas, bem como seu manejo adequado. Ademais, é fundamental relembrar a importância da investigação de sarcoidose sistêmica nesses pacientes.
Suporte financeiroNenhum.
Contribuição dos autoresTamires Ferri Macedo: Aprovação da versão final do manuscrito; elaboração e redação do manuscrito; obtenção, análise e interpretação dos dados; revisão crítica da literatura.
simone perazzoli: aprovação da versão final do manuscrito; elaboração e redação do manuscrito; obtenção, análise e interpretação dos dados; revisão crítica da literatura.
Renan Rangel Bonamigo: Aprovação da versão final do manuscrito; concepção e planejamento do estudo; participação intelectual em conduta propedêutica e/ou terapêutica de casos estudados; revisão crítica do manuscrito.
Renata Heck: Aprovação da versão final do manuscrito; concepção e planejamento do estudo; participação efetiva na orientação da pesquisa; participação intelectual em conduta propedêutica e/ou terapêutica de casos estudados; revisão crítica do manuscrito.
Conflito de interessesNenhum.
Como citar este artigo: Macedo TF, Perazzoli S, Bonamigo RR, Heck R. Sarcoid reaction in eyebrow tattooing: a complication of a common cosmetic procedure. An Bras Dermatol. 2023;98:708–10.
Trabalho realizado no Ambulatório de Dermatologia Sanitária, Secretaria de Saúde do Estado do Rio Grande do Sul, Porto Alegre, RS, Brasil.




