Schwannomas são tumores raros, encapsulados e benignos originários da bainha neural. Embora frequentemente ocorram como lesões solitárias em 90% dos casos, podem surgir em associação com tumores do sistema nervoso central em 5% dos casos. Também podem ser manifestação de neurofibromatose tipo 2 (3%) ou aparecer como lesões múltiplas (schwannomatose).1,2 Schwannomas podem ocorrer em qualquer lugar do corpo ao longo do curso de um nervo craniano, espinhal ou periférico.3
Schwannomas cutâneos (SC) apresentam‐se como lesões nodulares dérmicas profundas ou subcutâneas. Mais raramente, podem estar localizados na derme superficial. Clinicamente, são caracterizados como nódulos firmes, bem circunscritos e da cor da pele, que geralmente são assintomáticos. Entretanto, quando há dor ou sensibilidade, geralmente está associada à compressão das estruturas adjacentes, de modo que a parestesia fica confinada ao local do tumor ou irradia ao longo do nervo de origem. De fato, dor, sensibilidade ou parestesia podem representar até 1/3 das manifestações cutâneas.4 O SC ocorre mais frequentemente na 4ª e 5ª décadas de vida, sem evidências significantes de predileção por gênero.5
Paciente masculino, de 50 anos, foi avaliado em virtude de uma lesão indolor na face anterior da perna direita evoluindo há dois anos, com crescimento acentuado nos dois meses anteriores à observação, com ulceração. Ele negava outros sintomas como dor ou parestesia ou história de doença cardíaca, pulmonar ou neurológica.
Uma lesão nodular ulcerada com 3cm de diâmetro foi observada naquele local (fig. 1). Hipóteses diagnósticas de carcinoma espinocelular ou ceratoacantoma foram feitas. A excisão da lesão foi realizada.
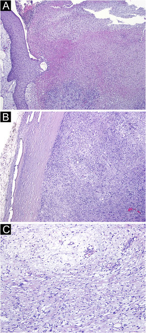
A histopatologia mostrou lesão tumoral bem definida, coberta por uma cápsula esclero‐hialina, com ulceração e necrose da epiderme e derme sobrejacentes (fig. 2A‐B). A lesão apresentava dois padrões: áreas mais compactadas compostas por células ovoides a fusiformes com citoplasma eosinofílico e limites celulares indistintos (padrão Antoni A) com ocasional paliçada nuclear (corpos de Verocay), e outras áreas mais frouxas e hipocelulares consistindo em células com citoplasma claro e limites bem definidos, estroma colagenoso com áreas mixoides e vasos de parede hialinizada (fig. 2C).
(A) Ulceração e necrose da epiderme e derme adjacentes (Hematoxilina & eosina, 40×). (B) A lesão era bem delimitada por uma cápsula esclero‐hialina (Hematoxilina & eosina, 40×). (C) Lesão tumoral consistindo em células ovoides a fusiformes, com áreas de citoplasma eosinofílico e limites indistintos (Antoni A) alternando com áreas mais frouxas e hipocelulares de células com citoplasma claro e limites bem definidos (Antoni B; Hematoxilina & eosina, 100×).
No estudo imuno‐histoquímico, foi observada expressão difusa da proteína S100 e SOX‐10, ausência de reatividade com HBM45, Melan‐A e EMA, entre outros (fig. 3A‐B). Esses aspectos foram sugestivos de schwannoma.
O SC é o tumor benigno de bainha de nervo periférico mais comum, e a ocorrência nos membros inferiores representa apenas cerca de 1% de todos os casos.6
Na histopatologia, o SC é caracterizado por dois padrões histológicos tipicamente encapsulados pelo perineuro: Antoni tipo A e Antoni tipo B. Antoni A é padrão celular bem organizado no qual as células fusiformes estão dispostas em fascículos compactos e seus núcleos estão alinhados em paliçadas. Os corpúsculos de Verocay são característicos desse padrão, com matriz de colágeno organizada em paliçadas. O tipo Antoni B exibe estrutura mais frouxa de matriz mucinosa e é menos celular.5
O diagnóstico diferencial do SC inclui pilomatricoma proliferante, lipoma, tumor desmoide e cistos epiteliais, entre outros. Se os tumores cutâneos forem sensíveis ou dolorosos, nove tumores devem ser considerados: leiomioma, espiradenoma écrino, neuroma, dermatofibroma, angiolipoma, neurilemoma (Schwannoma), endometrioma, tumor glômico e tumor de células granulares (LEND AN EGG).7
O diagnóstico diferencial histopatológico inclui o neuroma encapsulado em paliçada (NEP) e neurofibroma.8
É importante diferenciar adequadamente o schwannoma localizado superficialmente do NEP, porque o último é encapsulado, localizado na derme superior, e o padrão de fascículos entrelaçados pode ser semelhante ao padrão tipo Antoni A do schwannoma. Mesmo que o NEP rico em axônios não mostre padrões Antoni A e B típicos de schwannomas, a diferenciação entre schwannoma e NEP com pequena densidade de axônios ou sua ausência pode ser problemática. Os neurofibromas são circunscritos, mas não encapsulados, e são compostos por células fusiformes frouxamente espaçadas e fibras colágenas onduladas.9
A melhor opção de tratamento para SC é a excisão local.10
O presente caso corresponde a uma apresentação atípica considerando o rápido crescimento e ulceração, simulando lesão maligna, bem como a localização na perna, que é raramente descrita na literatura sobre schwannoma.
Suporte financeiroNenhum.
Contribuição dos autoresPedro Rolo de Matos: Autor principal, pesquisa, elaboração e redação do manuscrito.
Miguel Costa Silva: Concepção do estudo, revisão.
Gilberto Pires Rosa: Apoio na elaboração e redação do manuscrito.
Pedro Amorso Canão: Análise e laudo histopatológico.
Filomena Moreira Azevedo: Revisão final.
Conflito de interessesNenhum.




