A síndrome de Melkersson‐Rosenthal (SMR)/granulomatose orofacial é caracterizada pela tríade de edema orofacial recorrente, paralisia facial periférica recidivante e língua fissurada.1 A tríade é encontrada em 8 a 45% dos casos; a maioria dos pacientes se apresenta com formas oligossintomáticas ou monossintomáticas.1 A manifestação clínica mais comum é o edema labial (queilite granulomatosa).1 A doença afeta principalmente adultos jovens; casos pediátricos são raramente descritos. Uma série recente descreveu três casos e revisou 116 casos previamente publicados.2
A causa da SMR é desconhecida. Nosso grupo demonstrou um aumento na expressão de HLA A*02, HLA DRB1*11 a HLA DQB1*03 e diminuição nos níveis de HLA A*01, HLA DRB1*04, HLA DRB1*07 e HLADQB1*02 em pacientes com a SMR quando comparado ao grupo controle, indicando genes que podem predispor ou proteger contra a doença.3 Associação entre SMR e doença de Crohn (DC) é relatada por alguns autores.4
Os achados histopatológicos da SMR incluem granulomas não caseosos similares ao da DC, o que pode sugerir que a SMR e a DC possam fazer parte de um mesmo espectro clínicopatológico.1,4
Aqui apresentamos sete casos de SMR em crianças e adolescentes, chamado atenção para uma possível associação com DC.
Os dados analisados dos casos com diagnóstico de queilite granulomatosa/SMR/ granulomatose orofacial foram: sexo, idade, localização das lesões, comprometimento neurológico e exames de colonoscopia (figs. 1‐7 e tabela 1). A diagnose foi confirmada pelo estudo histopatológico.5
Características dos sete pacientes com SMR pediátrica
| Caso/ sexo/ raça | Idade de início dos sintomas | Idade ao diagnóstico | Local de envolvimento | Envolvimento intraoral | Envolvimento da língua | Paralisia facial | Comprometimento sistêmico | Tratamento | Seguimento |
|---|---|---|---|---|---|---|---|---|---|
| 1/M/C | 30 m | 43 m | Lábio superior | Não | Não | Não | Colonoscopia normal | Talidomida, 50 mg/dia, boa resposta | 2 a |
| 2/M/C | 14 a | 15 a | Lábio superior | Não | Não | Não | Colonoscopia normal | Dapsona, 100 mg/dia | Perdeu o seguimento |
| 3/M/C | 11 a | 12 a | Lábio superior e inferior | Não | Não | Não | Colonoscopia normal | Dapsona, 100 mg/dia, boa resposta | 9 m |
| 4/M/C | 10 a | 11 a | Lábios, face | Gengivite granulomatosa | Língua geográfica | Não | Colonoscopia‐doença de Crohn aos 21 anos | Dapsona, 100 mg/dia (fracasso) | 14 a |
| Talidomida, 100 mg/dia (fracasso) | |||||||||
| Azatioprina, 150 mg/dia (boa resposta) gengivoplastia | |||||||||
| 5/M/AB | 8 a | 9 a | Lábio superior e inferior | Não | Língua fissurada | Não | Convulsões não epilépticas | Talidomida, 100‐200 mg/dia (resultado pobre) | |
| Colonoscopia normal | Triacinolona intralesional (fracasso) Três queiloplastias | ||||||||
| 6/M/C | 11 a | 12 a | Gengivite granulomatosa | Língua geográfica e fissurada | Sim | Colonoscopia‐doença de Crohn aos 17 anos | Talidomida, 100 mg/dia, boa resposta | 6 a | |
| 7/F/Mu | 15 a | 16 a | Lábios e face | Gengivite e palatite granulomatosa | Língua fissurada | Não | Colonoscopia não realizada | Dapsona, 100 mg/dia | 4 a |
| Prednisona, 40 mg/dia | |||||||||
| Triacinolona intralesional (todas fracassaram) |
M, masculino; F, feminino; m, meses; a, anos; C, caucasiano; AB, afro‐brasileiro; Mu, mulato.
Esta série representa a maior casuística infantil de SMR da América Latina.6 Nosso grupo de doenças da mucosa oral realiza 900 consultas por ano e, durante um período de 20 anos, apenas cinco casos pediátricos de SMR foram vistos (casos 1 e 4 a 7); os casos 2 e 3 provinham da clínica privada de um dos autores.
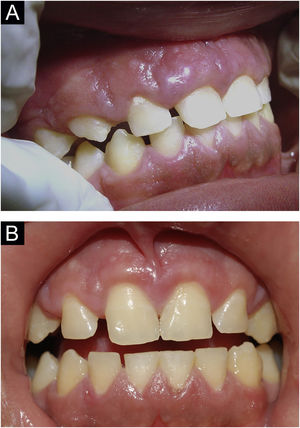
Houve predomínio de doentes do sexo masculinos; a única doente do sexo feminino notou os sintomas aos 15 anos. Nos casos revisados por Savasta et al., houve prevalência do sexo feminino.2 O doente 1 é um dos indivíduos mais jovens já relatados (fig. 1A).
Apenas o doente 6 relatava paralisia facial prévia, tendo apresentado também um episódio observado por nós. A paralisia facial afetou 61/116 (52,6%) de casos pediátricos previamente relatados.2 O doente 5 apresentou convulsões sem causa determinada; a equipe de neurologia as relacionou à SMR.1
Os casos 4, 5, 6 e 7 apresentavam língua fissurada; os casos 4 e 6 apresentavam língua geográfica – o caso 6 tinha língua fissurada concomitante (fig. 5A). Língua geográfica é caracterizada pela presença de áreas cambiantes de despapilação circundadas por uma borda serpinginosa. A histopatologia é idêntica à da psoríase, modernamente considerada manifestação mucosa dessa. Existe associação significativa entre psoríase e doença de Crohn.7 Em geral, língua fissurada ocorre em casos de língua geográfica persistente; os dois achados geralmente coexistem e representam o mesmo processo em diferentes fases.8
Os casos 3 e 6 foram diagnosticados com DC, detectada muitos anos depois do diagnóstico de SMR, após o controle dos sintomas orofaciais. Nossa rotina de investigação na SMR atualmente inclui estudos colonoscópicos periódicos.
A associação entre a SMR e a DC é relatada.1 Nosso grupo publicou os resultados de um estudo com HLA em 36 casos adultos e pediátricos.3 Confirmamos a associação da SMR e a DC em cinco casos (todos apresentavam alelos de HLA da SMR e três apresentavam alelos da DC). Nossos resultados genéticos sugerem que SMR e DC sejam doenças distintas, mas que podem estar associadas.
Nenhum tratamento é eficaz em todos os casos de SMR; não há estudos controlados. Não há elementos clínicos que indiquem a eleição de uma determinada medicação. Acreditamos que o fármaco selecionado deve ser utilizado por pelo menos três meses antes de ser considerado falho, visto que a resposta é lenta. Temos preferido a talidomida, com base na experiência com adultos.9 Cinco pacientes receberam talidomida e dois receberam dapsona. Apenas um (caso 6) apresentou melhora importante com talidomida. O doente 1 está melhorando lentamente após um ano de seguimento. Os casos 4 e 5 melhoraram apenas quando se tornaram adultos, apesar de tratamentos com múltiplas substâncias. Não sabemos se a melhora ocorreu pela última substância utilizada ou espontaneamente. No caso 3 houve boa resposta à dapsona; algumas recidivas posteriores foram controladas com pequenos ciclos de corticoterapia oral (fig. 2). O caso 4, após várias tentativas, melhorou apenas com azatioprina e gengivoplastia (fig. 3 ). O caso 5 só melhorou com tratamento cirúrgico (fig. 4). A doente 7 foi refratária a todas as terapias e, após vários anos e crises, perdeu o seguimento (fig. 6). Não utilizamos imunobiológicos, apesar de haver fundamento para seu uso.9–11
Tratamento cirúrgico é opção para doença localizada e refratária. No caso 5, três queiloplastias foram realizadas.
Os casos 4, 6 e 7 apresentavam infiltração granulomatosa gengival, raramente relatada.12 Essa manifestação deve ser ativamente pesquisada e tratada, pois pode levar a comprometimento periodontal. São lesões resistentes ao tratamento farmacológico; a gengivoplastia é uma excelente opção terapêutica (fig. 7).
(A) Caso 4 ‐ gingivite granulomatosa.10 (B) Mesmo paciente após a gingivoplastia.
Em conclusão, à exceção do caso 2, todos os outros aqui apresentados foram seguidos por vários anos, salientando‐se a variabilidade da evolução e a dificuldade do manejo dessa doença.
Suporte financeiroFAPESP – (2017/26990‐8) and FUNADERSP – (29/2016).
Contribuição dos autoresCamila Fátima Biancardi Gavioli: Análise estatística; aprovação da versão final do manuscrito; concepção e planejamento do estudo; elaboração e redação do manuscrito; obtenção, análise e interpretação dos dados; participação efetiva na orientação da pesquisa; participação intelectual em conduta propedêutica e/ou terapêutica de casos estudados; revisão crítica da literatura; revisão crítica do manuscrito.
Yasmin da Silva Amorim City: Análise estatística; aprovação da versão final do manuscrito; elaboração e redação do manuscrito; obtenção, análise e interpretação dos dados; participação efetiva na orientação da pesquisa; revisão crítica da literatura.
Giovanna Piacenza Florezi: Concepção e planejamento do estudo; obtenção, análise e interpretação dos dados; participação intelectual em conduta propedêutica e/ou terapêutica de casos estudados; revisão crítica da literatura.
Silvia Vanessa Lourenço: Análise estatística; aprovação da versão final do manuscrito; concepção e planejamento do estudo; elaboração e redação do manuscrito; obtenção, análise e interpretação dos dados; participação efetiva na orientação da pesquisa; participação intelectual em conduta propedêutica e/ou terapêutica de casos estudados; revisão crítica da literatura; revisão crítica do manuscrito.
Marcello Menta Simonsen Nico: Análise estatística; aprovação da versão final do manuscrito; concepção e planejamento do estudo; elaboração e redação do manuscrito; obtenção, análise e interpretação dos dados; participação efetiva na orientação da pesquisa; participação intelectual em conduta propedêutica e/ou terapêutica de casos estudados; revisão crítica da literatura; revisão crítica do manuscrito.
Conflito de interessesNenhum.
Como citar este artigo: Gavioli CFB, Cidade YSA, Florezi GP, Lourenço SV, Nico MMS. Melkersson‐Rosenthal syndrome in children and adolescents: a series of seven cases. An Bras Dermatol. 2022;97:676–81.
Trabalho realizado no Departamento de Dermatologia, Faculdade de Medicina, Universidade de São Paulo, São Paulo, SP, Brasil.









