Paciente de 54 anos deu entrada em nosso serviço de dermatologia com queixa de quatro dias de febre de até 40,3°C e erupções cutâneas no pescoço. A paciente sofria de síndrome mielodisplásica (SMD), para a qual não foram administrados quaisquer medicamentos, incluindo fator estimulador de colônias de granulócitos (G‐CSF, granulocyte‐colony stimulating factor). O exame físico mostrou numerosas concrescências de bolhas claramente localizadas na área “V” do decote (fig. 1). Nódulos eritematosos dolorosos estavam espalhados na região bucinadora, mas a ponta do nariz foi poupada. Além disso, havia uma bolha no antebraço direito, bem como nódulos eritematosos dolorosos nas extremidades superiores e inferiores. A paciente não apresentava nenhuma lesão de mucosa ou história prévia de aftas orais recorrentes.
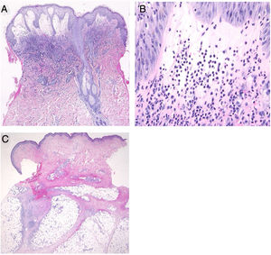
O exame laboratorial mostrou contagem de leucócitos de 8.100/μL com 3% de bastonetes, 21% segmentados, 9% linfócitos, 7% monócitos e 57% blastócitos, níveis diminuídos de hemoglobina (8,6g/dL) e plaquetas (108.000/μL), e níveis aumentados de proteína C reativa (26,02mg/dL). A hemocultura era estéril. Uma amostra de biópsia da borda periférica de bolha no pescoço mostrou bolha subepidérmica e infiltração neutrofílica densa na derme superior e média (fig. 2 A e B). A infiltração de células mieloides imaturas não foi detectada. Não foi observada infiltração de histiócitos/células histiocitoides, e o exame imuno‐histológico mostrou que as células CD68 e MPO‐positivas estavam espalhadas mas não eram proeminentes. Além disso, outra biópsia da parte inferior da perna mostrou infiltração de células inflamatórias, principalmente linfócitos, ao redor dos vasos no septo do tecido adiposo subcutâneo (fig. 2C). O exame hematológico e a biópsia da medula óssea revelaram a transformação da SMD em leucemia mielocítica aguda; imediatamente foi iniciada quimioterapia incluindo prednisolona. Após cerca de uma semana, todas as erupções bolhosas foram epitelizadas.
(A), Características histológicas mostrando densa infiltração de neutrófilos em toda a derme edematosa (Hematoxilina & eosina, aumento original 40×). (B), Um aumento maior mostrou vários neutrófilos infiltrados (Hematoxilina & eosina, 400×). (C), Exame histológico do nódulo subcutâneo da extremidade inferior mostrando paniculite septal (Hematoxilina & eosina, 20×).
O presente caso mostra um quadro súbito de lesões cutâneas, com infiltração neutrofílica predominante sem vasculite leucocitoclástica. Além disso, foram observados febre, proteína C reativa elevada e resposta rápida ao esteroide sistêmico. A contagem de leucócitos estava dentro do limite superior da faixa normal, mas duas vezes acima do valor normal. Assim, a paciente preencheu os critérios para síndrome de Sweet (SS). As lesões cutâneas da SS associadas à mielodisplasia tendem a ser vesiculares, bolhosas ou erosivas. O presente caso desenvolveu SS bolhosa, simultaneamente à crise blástica da SMD. Curiosamente, as lesões mostraram uma distribuição peculiar de eritema bem circunscrito na área “V” do decote, não coberta por roupas na estação quando a dose de radiação ultravioleta está aumentada no Japão, o que foi considerado um fenômeno foto‐Koebner. Apenas alguns casos de SS fotoinduzida ou fotodistribuída foram relatados, nos quais tanto a radiação ultravioleta A quanto ultravioleta B eram candidatos à indução de lesões cutâneas.1–3
Embora o fototeste não tenha sido realizado no presente caso, a paciente não tinha história anterior de dermatite fotossensível ou uso de medicamentos que poderiam induzir erupções fotossensíveis. Que seja de nosso conhecimento, o presente relato é o primeiro caso de SS bolhosa fotolocalizada. Especula‐se que a ação direta da radiação ultravioleta ativa e recruta os neutrófilos via interleucina‐8, fator de necrose tumoral‐α, E‐selectina, interleucina‐1α e G‐CSF,4,5 bem como imunossupressão local induzida por radiação ultravioleta. Finalmente, a paciente desenvolveu concomitantemente nódulos eritematosos infiltrativos na face e extremidades. A biópsia mostrou paniculite septal com infiltração linfocítica, sem infiltração de neutrófilos na derme ou tecido subcutâneo; entretanto, todas as lesões simultâneas foram consideradas como pertencendo ao mesmo espectro.
Suporte financeiroNenhum.
Contribuição dos autoresMai Endo: Projetou o estudo; realizou a pesquisa e contribuiu com a análise e interpretação dos dados; escreveu o rascunho inicial do manuscrito; leu e aprovou a versão final do manuscrito.
Miyuki Yamamoto: Realizou a pesquisa e contribuiu com a análise e interpretação dos dados; leu e aprovou a versão final do manuscrito.
Mikio Ohtsuka: Realizou a pesquisa e contribuiu para a análise e interpretação dos dados; leu e aprovou a versão final do manuscrito.
Toshiyuki Yamamoto: Projetou o estudo; auxiliou na preparação do manuscrito; leu e aprovou a versão final do manuscrito.
Conflito de interessesNenhum.



