A síndrome de Sweet (SS) é a forma mais frequente de dermatose neutrofílica.1 Algumas variantes raras foram descritas, como a SS subcutânea, que costuma se apresentar clinicamente como nódulos inflamatórios semelhantes ao eritema nodoso.1,2 A doença de Behçet (DB) é uma doença multissistêmica com apresentação variada: pápulas, pústulas ou lesões semelhantes a eritema nodoso na pele.3
Este é o relato de um caso de SS subcutânea e DB na mesma paciente, dada sua associação extremamente rara.
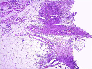
Mulher de 72 anos de idade, saudável, veio à consulta em razão da presença de nódulos eritematosos dolorosos nas extremidades, com duas semanas de evolução, associados à febre e artralgias. O exame físico revelou nódulos subcutâneos eritematosos nas extremidades, artrite e úlceras orais (figs. 1 e 2). Os exames laboratoriais mostraram: hemograma com 5.850 leucócitos /L (80% neutrófilos), velocidade de hemossedimentação de 70mm/h, e proteína C‐reativa de 158mg/L. Glicemia, funções hepática, renal e tireoidiana eram normais. Sorologia viral (hepatite B e C, HIV), culturas de sangue e urina, sorologia para Mycoplasma pneumoniae e estudos de autoimunidade foram todos negativos. A biópsia de pele revelou dermo‐hipodermite neutrofílica, paniculite mista, com vasculite de vasos médios‐pequenos (fig. 3). Com esses achados, postulou‐se o diagnóstico de SS subcutânea e indicou‐se prednisona 0,5mg/kg/dia. A paciente evoluiu sem febre e houve resolução completa das lesões cutâneas após 72 horas de tratamento. Entretanto, ela desenvolveu vermelhidão nos olhos. A avaliação oftálmica diagnosticou uveíte intermediária. O teste HLA‐B51 foi positivo. Diante desses achados, somados ao histórico de úlceras orais recorrentes, foi feito o diagnóstico de DB e iniciado o tratamento com pulsos mensais de 300mg de ciclofosfamida. Houve evolução favorável e remissão completa após o primeiro pulso.
A SS subcutânea estaria no mesmo espectro da paniculite neutrofílica.1,2 A paciente atendeu aos critérios diagnósticos modificados de SS (Su e Liu)1 e também aos critérios diagnósticos de DB (International Study Group).3
Há poucos estudos que descrevem a associação entre as duas doenças.3 De acordo com a literatura revisada, o presente relato é o primeiro caso da variante subcutânea de SS associada à DB. Em séries histopatológicas de SS, a presença de vasculite foi relatada em até 73% dos casos.4 Por outro lado, em uma série de 26 casos de quadros clínicos semelhantes ao eritema nodoso no contexto de DB, verificou‐se que 73% não apresentavam achados clássicos de eritema nodoso, mas sim paniculite mista ou lobular com presença de vasculite, e em vários casos um infiltrado abundante de neutrófilos.5 Isso sugere que alguns desses pacientes podem atender aos critérios para SS subcutânea e que a sobreposição de DB pode levar ao subdiagnóstico da SS.
Acreditamos que a relação entre as duas doenças é mais do que mera coincidência. A SS pode representar um marcador para a atividade da DB, pois na maioria dos casos relatados ela se apresenta na fase aguda ou antes de uma exacerbação, que está correlacionada à evolução clínica da paciente no presente caso.5
Estudos futuros são necessários para avaliar a ampla variabilidade clínica de ambas as doenças e a forma como se relacionam, provavelmente de forma contínua dentro do espectro das ainda mal compreendidas dermatoses neutrofílicas.
Suporte financeiroNenhum.
Contribuição dos autoresPablo Vargas‐Mora: Aprovação da versão final do manuscrito; concepção e planejamento do estudo; elaboração e redação do manuscrito; obtenção, análise e interpretação dos dados; participação efetiva na orientação da pesquisa; revisão crítica da literatura; revisão crítica do manuscrito.
Fernando Valenzuela: Aprovação da versão final do manuscrito; concepção e planejamento do estudo; elaboração e redação do manuscrito; obtenção, análise e interpretação dos dados; participação efetiva na orientação da pesquisa; revisão crítica da literatura; revisão crítica do manuscrito.
Viera Kaplan: Aprovação da versão final do manuscrito; concepção e planejamento do estudo; elaboração e redação do manuscrito; obtenção, análise e interpretação dos dados; participação efetiva na orientação da pesquisa; revisão crítica do manuscrito.
Laura Carreño: Aprovação da versão final do manuscrito; concepção e planejamento do estudo; obtenção, análise e interpretação dos dados; participação efetiva na orientação da pesquisa; revisão crítica do manuscrito.
Conflito de interessesNenhum.




