O siringofibroadenoma écrino (SFAE) é tumor anexial raro e benigno, que surge da porção excretora das glândulas sudoríparas écrinas.1 Geralmente envolve extremidades distais, de pacientes de meia‐idade a idosos.1 Apresenta‐se como nódulos verrucosos solitários ou múltiplos, coalescentes, firmes, cor da pele, de tamanhos variáveis.1 Atualmente, é classificado em cinco tipos: lesões solitárias, lesões múltiplas associadas a displasia ectodérmica, lesões sem doença cutânea adicional, lesões nevoides e lesões reativas.2 O diagnóstico clínico é muito difícil e, portanto, a avaliação histopatológica é imprescindível.1 A excisão completa parece ser o tratamento definitivo.2 Relatamos dois casos com apresentação clínica exuberante de SFAE com dificuldade diagnóstica decorrente da limitação de acesso a serviço especializado, porém excelente resultado final após shaving.
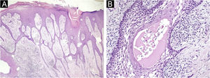
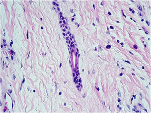
Caso 1Paciente do sexo masculino, 76 anos, hipertenso e diabético, encaminhado ao serviço de dermatologia em virtude de lesão vegetante ao redor de úlcera dolorosa no maléolo lateral direito iniciada em 2018. Negava fatores desencadeantes. Referia biopsia prévia em serviço externo com diagnóstico de verruga vulgar. Associado ao quadro, apresentava linfedema do membro inferior ipsilateral. Realizou tratamento da úlcera, porém manteve progressão da lesão vegetante. Ao exame, apresentava cicatriz hipertrófica na região lateral do dorso do pé direito e nodulações verrucosas múltiplas de 9cm em maior diâmetro, endurecidas, cor rósea, que coalesciam, localizadas na borda inferior da cicatriz (fig. 1A). A dermatoscopia não apresentava achados sugestivos de malignidade (fig. 1B). Realizada nova biopsia seguida de remoção completa da lesão, por shaving, após avaliação histopatológica. A imagem (fig. 1C) ilustra o pós‐operatório de quatro meses, sem recidiva. O histopatológico revelou finos cordões de células epiteliais cuboidais que se anastomosam em aspecto de rede conectada à porção inferior da epiderme (fig. 2A). Entre os cordões epiteliais foi observado estroma fibrovascular (fig. 2B). As células que compõem o cordão apresentam diferenciação ductal (fig. 3). Achados compatíveis com SFAE; não foi evidenciada transformação maligna.
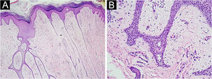
Paciente do sexo feminino, 61 anos, diabética, encaminhada ao serviço de dermatologia por surgimento de lesão vegetante havia 6 anos. Relatou início do quadro como lesões papulosas que evoluíram para tumoração no dorso do pé direito. Ao exame, a lesão apresentava aspecto vegetante, de aproximadamente 10cm em seu maior diâmetro, bem delimitada, exsudato serosanguinolento de odor fétido, associado a edema endurecido e hipercromia do terço distal do membro (fig. 4A). a paciente negava fatores desencadeantes. foi realizada biopsia incisional seguida de shaving seriado da lesão até exérese completa, com cicatrização por segunda intenção (fig. 4B e C), após confirmação de histopatológico compatível com SFAE (fig. 5A e B). Todas as peças cirúrgicas foram enviadas para o anatomopatológico, excluindo a possibilidade de transformação maligna.
SFAE é neoplasia benigna rara que normalmente se apresenta como placa única, nodular, grande e assintomática, porém pode ser múltipla, coalescente, firme, cor da pele e de aspecto verrucoso à margem de uma ulceração.1 Dentre os achados do exame físico, é possível apresentar, na perna acometida, aspecto de “perna em musgo”,3 característica observada nos casos relatados. A lesão tem predileção por extremidades distais, porém pode acometer outros locais.4 A origem não é bem definida, porém está associada à proliferação de células epiteliais anexiais formadoras de ductos,5 que surgem da porção excretora das glândulas sudoríparas écrinas.4
O SFAE é dividido em cinco tipos, de acordo com sua morfologia, número de lesões e fatores associados.1 O subtipo solitário é o mais comum,4 representado pelo aparecimento de massa verrucosa ou nódulo único não hereditário localizado nos membros inferiores de pacientes idosos.6 Essa descrição parece se enquadrar no caso da paciente do segundo relato, que apresentava apenas uma lesão no membro inferior, sem associação com trauma prévio ou hereditariedade. O primeiro paciente apresentava úlcera crônica, de difícil cicatrização, diagnóstico de diabetes e linfedema, sugerindo subtipo reativo, que acomete caracteristicamente a região acral e é secundário a dermatose inflamatória crônica ou neoplásica, já tendo sido descrita em associação com úlceras, linfedema e pé diabético.1,6 Acredita‐se que um tipo específico de remodelação écrina ou reparo ductal, decorrente de danos repetidos às estruturas écrinas, seja o responsável pela patogênese.1,6
A histopatologia é fundamental para o diagnóstico.2 Há formação de cordões epiteliais finos, compostos por anastomoses de células epiteliais cuboidais benignas com diferenciação ductal, formando uma rede que se conecta à porção inferior da epiderme;3 essas células são basaloides e menores que os queratinócitos adjacentes.3 Entre os cordões, é possível observar rico estroma fibrovascular contendo células plasmáticas e estruturas ductais.6 Pode ter ou não formação de lúmen e infiltrado linfocítico discreto.3 Na imuno‐histoquímica, há positividade com antígeno de membrana epitelial,6 antígeno carcinoembrionário (CEA)7 e CK19, que identifica a diferenciação ductal.3
Alguns autores defendem que é possível ocorrer transformação maligna em SFAE de longa data.5 Áreas de malignização podem ser facilmente perdidas nas biopsias incisionais; dessa maneira, a excisão completa é o tratamento de escolha,6 principalmente nos casos de lesões solitárias.1 Nos casos demonstrados, optou‐se por realizar shaving e manter acompanhamento ambulatorial regular do leito da lesão.
A relevância dos casos consiste na raridade da doença, principalmente de modo tão exuberante. Em ambos os casos houve atraso no diagnóstico, no primeiro em virtude de biopsia com diagnóstico divergente, e no segundo por dificuldade de acesso a um serviço capaz de fazer a investigação. Conhecer a enfermidade e possibilidade diagnóstica, frente à apresentação clínica, ajuda a guiar a investigação e o tratamento de maneira mais adequada.
Suporte financeiroNenhum.
Contribuição dos autoresCamila Schlang Cabral da Silveira: Elaboração e redação do manuscrito; concepção e planejamento do estudo; obtenção, análise e interpretação dos dados; participação intelectual em conduta propedêutica e/ou terapêutica de casos estudados; revisão crítica da literatura; aprovação da versão final do manuscrito.
Luiz Felipe Oliveira Santos: Elaboração e redação do manuscrito; obtenção, análise e interpretação dos dados; participação intelectual em conduta propedêutica e/ou terapêutica de casos estudados; revisão crítica da literatura; aprovação da versão final do manuscrito.
Marcella Leal Novello D’Elia: Elaboração e redação do manuscrito; concepção e planejamento do estudo; obtenção, análise e interpretação dos dados; participação intelectual em conduta propedêutica e/ou terapêutica de casos estudados; aprovação da versão final do manuscrito.
Daniel Lago Obadia: Elaboração e redação do manuscrito; concepção e planejamento do estudo; obtenção, análise e interpretação dos dados; participação intelectual em conduta propedêutica e/ou terapêutica de casos estudados; aprovação da versão final do manuscrito.
Conflito de interessesNenhum.
Como citar este artigo: Silveira CS, Santos LF, D’Elia ML, Obadia DL. Eccrine syringofibroadenoma: report of two exuberant cases. An Bras Dermatol. 2024;99:467–71.
Trabalho realizado no Departamento de Dermatologia, Hospital Universitário Pedro Ernesto, Universidade do Estado do Rio de Janeiro, Rio de Janeiro, RJ, Brasil.






