Ulceração aftosa vulvar aguda, ou úlcera de Lipschütz, é condição rara, não sexualmente adquirida, que se caracteriza pelo início súbito de úlceras genitais dolorosas. Não tem etiologia clara; portanto, seu diagnóstico é desafiador. O curso usual é a autorresolução sem recidivas e cicatrizes. Há seis casos relatados após a vacinação contra COVID‐19.1,2
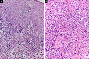
Relato do casoPaciente do sexo feminino, saudável e sexualmente ativa, 27 anos de idade, recebeu sua terceira dose da vacina contra a COVID‐19 – as duas primeiras foram da Pfizer‐BioNTech, e a terceira foi a vacina AstraZeneca (Vaxzevria). Queixou‐se, de início agudo, de dor em queimação e inchaço nos grandes lábios, acompanhados de febre e dor no corpo, após 24 horas da vacinação. O exame físico revelou múltiplas ulcerações milimétricas, rasas, vermelho‐púrpura, dolorosas nos grandes lábios, pequenos lábios e no introito vaginal (fig. 1). Não tinha histórico de úlceras genitais. A mucosa oral e a orofaringe estavam normais. Após 24 horas de seguimento, referiu piora dos sintomas, queixando‐se de dificuldade para sentar. Ao exame físico, apresentava mais ulcerações com revestimento amarelo e acinzentado com eritema e edema ao redor, algumas com centro purulento. Foi realizada biopsia de uma úlcera de uma úlcera para PCR para o vírus herpes simples (HSV) 1/2, vírus da varicela‐zóster (VZV) e citomegalovirus, que foram, assim como a sorologia IgG e IgM para HSV 1/2 e VZV. A sorologia para HIV não foi reativa, e a cultura de swab genital, teste VDRL, teste de antígeno para COVID e anticorpos antinucleares foram todos negativos. A biopsia mostrou solução de continuidade do epitélio, espongiose e denso infiltrado inflamatório de linfócitos e histiócitos, sem vestígios de vasculite ou infecção viral (fig. 2). Após ser diagnosticada com úlceras de Lipschütz, foi tratada com hidrocortisona 1% e medicação para controle da dor. As úlceras resolveram em nove dias. Aos seis meses de seguimento, não apresentou recidiva das lesões.
Embora a etiologia exata da úlcera de Lipschütz permaneça incerta, provavelmente envolve uma resposta imunológica a uma infecção ou outra fonte de inflamação. A maioria dos casos é idiopática com investigação infecciosa negativa.1 Há seis relatos de casos de úlceras aftosas vulvares após a vacinação contra a COVID‐19 – quatro após a Pfizer‐BioNTech e um após a vacina AstraZeneca.1,2 Este é o segundo relato na literatura após a vacinação com AstraZeneca. O diagnóstico foi desafiador, pois a paciente era sexualmente ativa. Infecções sexualmente transmissíveis foram testadas e excluídas. Após descartadas as doenças infecciosas, o principal diagnóstico diferencial foi a síndrome de Behçet; entretanto, a biopsia não evidenciou sinais de vasculite.3 As úlceras de Lipschütz foram inicialmente descritas em mulheres virgens e, posteriormente, em pacientes com ausência de contato sexual nos três meses anteriores. No entanto, em um estudo realizado no Brasil, 86 de 98 pacientes foram diagnosticadas com úlceras de Lipschütz ao expandir os critérios para qualquer idade e atividade sexual.4 Outra análise retrospectiva de 33 casos constatou que 84,8% das pacientes haviam tido sua primeira experiência sexual.5
Várias reações cutâneas após vacinação contra a COVID‐19 foram relatadas. Este caso demonstra possível associação entre essa vacina e o desenvolvimento de úlcera aftosa vulvar. Os médicos, especialmente dermatologistas, ginecologistas e pediatras, devem estar cientes do possível risco dessa doença após a vacinação contra a COVID‐19.
Suporte financeiroNenhum.
Contribuição dos autoresMaria Bracho‐Borro: Redação do manuscrito ou revisão crítica de conteúdo intelectual importante; participação efetiva na orientação da pesquisa; participação intelectual em conduta propedêutica e/ou terapêutica de casos estudados; revisão crítica da literatura.
Graciela Guzmán‐Perera: Redação do manuscrito ou revisão crítica de conteúdo intelectual importante; participação efetiva na orientação da pesquisa, participação intelectual em conduta propedêutica e/ou terapêutica de casos estudados.
Mario Magaña: Obtenção, análise e interpretação dos dados; participação intelectual em conduta propedêutica e/ou terapêutica de casos estudados
Conflito de interessesNenhum.



