Dermatofibrossarcoma protuberante (DFSP) é sarcoma cutâneo raro, caracterizado por crescimento lento, alta taxa de recorrência local e baixo potencial metastático.
ObjetivoCaracterizar as características clinicopatológicas e os resultados do tratamento de pacientes diagnosticados com DFSP.
MétodosEstudo retrospectivo de pacientes com diagnóstico histopatológico de DFSP entre 1997 e 2022.
ResultadosDados de 42 pacientes com DFSP foram incluídos. A maioria era do sexo feminino (69%), com média de idade de 49,1 anos. O tronco (52%) e as extremidades (40%) foram os locais tumorais mais comuns. O padrão histológico clássico foi observado em 90% dos casos, enquanto variantes raras, incluindo os subtipos fibrossarcomatoso, pigmentado e mixoide, também foram identificadas. A excisão local ampla foi o tratamento primário (95%), obtendo margens livres em 71% dos pacientes. Recorrência local ocorreu em 4,8%, e radioterapia adjuvante foi empregada em 19% dos casos. Dois pacientes desenvolveram metástases pulmonares com progressão da doença apesar do tratamento com imatinibe.
Limitações do estudoEstudo retrospectivo com base em registros médicos e histopatológicos.
ConclusõesO DFSP cutâneo na presente série demonstrou características clinicopatológicas consistentes com as relatadas na literatura, incluindo predileção pelo tronco e por mulheres de meia‐idade. Histologicamente, a maioria dos casos exibiu o padrão estoriforme clássico com forte positividade para CD34. A excisão local ampla foi a principal modalidade de tratamento, com taxa de recorrência relativamente baixa em comparação com a literatura, possivelmente influenciada pelo uso de radioterapia adjuvante em pacientes selecionados. Embora incomum, metástases ocorreram em casos com doença recorrente e transformação fibrossarcomatosa. Pesquisas contínuas sobre terapias sistêmicas e tratamentos com alvo molecular são necessárias para melhorar os desfechos no DFSP avançado.
O dermatofibrossarcoma protuberante (DFSP) é tumor raro, com incidência de 0,8 a 4,5 casos por milhão de pessoas anualmente e, apesar de ser o sarcoma cutâneo mais comum, representa menos de 0,1% de todas as neoplasias malignas e cerca de 1,0% de todos os sarcomas de tecidos moles em todo o mundo.1,2 O DFSP afeta principalmente adultos jovens e de meia‐idade, com pico de incidência entre a segunda e a quinta décadas de vida.3 Como é tumor de crescimento lento, o diagnóstico costuma ser tardio, ocorrendo após meses a anos.2 Apesar de seu crescimento lento e metástase a distância pouco frequente, o DFSP apresenta alto risco de recorrência local,4,5 enfatizando a importância do diagnóstico precoce e do tratamento adequado. Este estudo tem como objetivo caracterizar as características clínicas e histopatológicas de pacientes diagnosticados com DFSP em um hospital terciário ao longo de 25 anos.
MétodosEste foi um estudo observacional, retrospectivo e uni‐institucional de pacientes diagnosticados com DFSP entre janeiro de 1997 e dezembro de 2022. Os casos elegíveis foram identificados por meio de busca no sistema de prontuários eletrônicos da instituição e no banco de dados de patologia. Os pacientes foram incluídos caso tivessem diagnóstico de DFSP confirmado por biopsia e tivessem recebido tratamento no hospital terciário acadêmico durante o período do estudo. Casos sem dados médicos ou patológicos completos foram excluídos. As informações clínicas foram extraídas de prontuários médicos e incluíram sexo, idade ao diagnóstico, localização do tumor, apresentação clínica, histórico de malignidades prévias, modalidades de tratamento, status da margem cirúrgica, uso de terapia adjuvante e desfechos clínicos, incluindo recorrência e metástase. O tempo de seguimento foi calculado a partir da data do diagnóstico até a última consulta clínica registrada ou óbito do paciente. Os dados histopatológicos foram revisados a partir de lâminas coradas com Hematoxilina & eosina (H&E) arquivadas. A imuno‐histoquímica para CD34 foi revisada quando disponível. Estatísticas descritivas foram utilizadas para resumir as características demográficas, clínicas e patológicas.
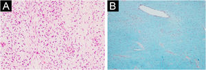
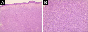
ResultadosForam incluídos neste estudo 42 pacientes com DFSP histologicamente confirmado (tabela 1). A maioria dos pacientes era do sexo feminino (69%), e a média de idade ao diagnóstico foi de 49,1 anos (variação: 22‐78 anos), com 55% dos casos ocorrendo em indivíduos com menos de 50 anos. Aproximadamente 26% dos pacientes tinham história prévia de outras neoplasias malignas, mais comumente câncer de mama (10%) e melanoma (7%). A localização anatômica mais frequente das lesões de DFSP foi o tronco (52%), seguido pelas extremidades superiores e inferiores (40%). A região da cabeça e pescoço representou a minoria dos casos (7%). Clinicamente, o DFSP manifestou‐se mais frequentemente como nódulo exofítico (33%; fig. 1A), mas também como placas (19%; fig. 1B) e nódulos subcutâneos (17%). A maioria dos pacientes (95%) apresentou DFSP primário, enquanto apenas dois casos envolveram doença recorrente na avaliação inicial. O padrão histopatológico clássico foi observado em 90% dos casos, caracterizado por arranjo estoriforme de células fusiformes uniformes infiltrando a derme e o tecido subcutâneo (fig. 2). A coloração imuno‐histoquímica para CD34 mostrou positividade forte e difusa em todos os casos (fig. 3). Variantes histológicas raras foram identificadas em 11% dos casos, incluindo os subtipos transformação fibrossarcomatosa (7%; fig. 4), pigmentada (2%; fig. 5) e mixoide (2%; fig. 6). Excisão local ampla (WLE, do inglês wide local excision) foi a base do tratamento em 95% dos casos, e margens de ressecção livres (R0) foram alcançadas em 71% dos pacientes. Entre os três casos de DFSP fibrossarcomatoso, os estágios do American Joint Committee on Cancer (AJCC) / Union for International Cancer Control (UICC) foram IA (T1N0M0G1), II (T1N0M0G2) e IV (T1N0M1G3). Radioterapia adjuvante foi administrada em 19% dos casos, predominantemente naqueles com margens cirúrgicas próximas ou positivas. Durante período médio de seguimento de 10,6 anos (intervalo: 1‐22 anos), quatro pacientes apresentaram recorrência: dois apresentaram recorrência da doença no diagnóstico e dois desenvolveram recorrência local após o tratamento cirúrgico. Todos os casos recorrentes ocorreram em pacientes do sexo masculino, três dos quais tinham 50 anos ou mais, dois tinham histórico de margens de ressecção positivas e os outros dois obtiveram ressecção completa com margens de 1mm e 2mm. Um desses pacientes tinha DFSP fibrossarcomatoso. Metástases pulmonares ocorreram em dois pacientes — um com histórico de múltiplas recorrências locais e outro com transformação fibrossarcomatosa. Ambos foram tratados com mesilato de imatinibe, e um deles também recebeu malato de sunitinibe. Ambos os pacientes faleceram em decorrência da progressão da doença.
Dados demográficos dos pacientes, apresentação clínica, características histopatológicas, tratamento e resultados
| Variável | Número de pacientes (%) |
|---|---|
| Idade | |
| < 50 anos | 23 (55) |
| ≥ 50 anos | 19 (45) |
| Média (DP) | 49,1 (±17,5) |
| Sexo feminino | 29 (69) |
| História de câncer | 11 (26) |
| Localização | |
| Tronco | 22 (52) |
| Extremidade superior | 9 (21) |
| Extremidade inferior | 8 (19) |
| Cabeça e pescoço | 3 (7) |
| Características clínicas | |
| Nódulo exofítico | 14 (33) |
| Placa | 8 (19) |
| Nódulo subcutâneo | 7 (17) |
| Não descrito | 13 (31) |
| Apresentação clínica | |
| Doença primária | 40 (95) |
| Doença recorrente | 2 (5) |
| Tamanho do tumor (cm) | |
| > 5 | 16 (38) |
| ≤ 5 | 7 (17) |
| Não descrito | 16 (38) |
| Duração da lesão antes do diagnóstico (anos) | |
| > 5 | 8 (19) |
| ≤ 5 | 7 (17) |
| Não descrito | 27 (64) |
| Subtipo histopatológico | |
| Clássico | 37 (90) |
| Fibrossarcomatoso | 3 (7) |
| Pigmentado (tumor de Bednar) | 1 (2) |
| Mixoide | 1 (2) |
| Proteína de fusão COL1A1‐PDGFB | |
| Detectada por FISH | 2 |
| Não realizada | 40 |
| Tratamento | |
| Excisão local ampla | 40 (95) |
| Cirurgia micrográfica de Mohs | 2 (5) |
| Margens de ressecção | |
| Livres (R0) | 31 (74) |
| Positivas | 11 (26) |
| Número de cirurgias para atingir margens negativas | |
| 1 | 29 (69) |
| 2 | 10 (24) |
| 3 | 3 (7) |
| Radioterapia adjuvante | 8 (19) |
| Terapia sistêmica adjuvante | 2 (5) |
| Metástase à distância | 2 (5) |
| Morte devido a DFSP | 2 (5) |
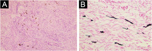
Dermatofibrossarcoma protuberante pigmentado (tumor de Bednar). (A) Numerosas células dendríticas pigmentadas intercaladas entre células fusiformes, demonstrando forte deposição de melanina (Hematoxilina & eosina, 100×). (B) A coloração de Fontana‐Masson destaca a presença de pigmento de melanina dentro de melanócitos dendríticos intercalados entre a proliferação de células fusiformes (Fontana‐Masson, 400×).
O DFSP é sarcoma incomum, de baixo grau, de origem fibroblástica.6 A predominância de DFSP em mulheres (69%) observada neste estudo está alinhada com alguns relatos que sugerem leve preponderância feminina,7 embora outros estudos relatem distribuição mais equilibrada por gênero.5 A média de idade do diagnóstico, 49,1 anos, reflete a apresentação típica na meia‐idade, embora o DFSP possa ocorrer em qualquer idade, inclusive em populações pediátricas.7
Pacientes com DFSP, especialmente mulheres, apresentaram risco 25% maior de desenvolver neoplasia primária subsequente; a maior parte desse aumento de risco é decorrente de um risco 21 vezes maior de outros cânceres de pele não epiteliais e de um risco quase cinco vezes maior de câncer de tecidos moles.8 Aproximadamente 26% dos pacientes do presente estudo tinham histórico de outras neoplasias malignas.
Clinicamente, o DFSP apresenta‐se como nódulo ou placa multilobular, firme e de crescimento lento, com coloração que varia do tom da pele ao vermelho e com margens irregulares.9 A maioria dos DFSPs localiza‐se no tronco (40‐50%), seguida pelas extremidades proximais (30‐40%) e pela cabeça e pescoço (10‐15%).2,7 As características clínicas dos pacientes do presente estudo foram consistentes com os resultados anteriores, exceto pela localização na cabeça e pescoço, que foi menos frequente do que em outras séries (7%).
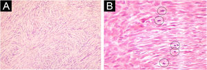
Histologicamente, as células tumorais DFSP apresentam‐se classicamente como células fusiformes uniformes dispostas em padrão estoriforme bem definido característico;6 elas têm atipia citológica mínima, núcleos uniformes e atividade mitótica ausente a baixa.10 A forte positividade para CD34 continua sendo característica diagnóstica marcante e serve para diferenciar DFSP de entidades benignas, como dermatofibroma.2 Variantes histológicas raras também foram observadas na presente série. DFSP fibrossarcomatoso é definido pela presença focal de áreas com fascículos de células fusiformes que se cruzam em ângulos agudos em padrão típico de “espinha de peixe”. Nessas áreas, a atividade mitótica é aumentada e as células mostram pleomorfismo celular e nuclear leve a moderado; necrose pode ser encontrada.5 Esse subtipo de DFSP está associado a curso clínico mais agressivo, maiores taxas de recorrência e maior potencial metastático.6,11 Dos dois casos com metástase pulmonar deste estudo, um exibiu a variante fibrossarcomatosa.
Mais de 90% dos casos de DFSP estão associados à translocação t(17;22)(q22;q13), resultando na proteína de fusão COL1A1‐PDGFB.7 Testes moleculares, como a reação em cadeia da polimerase com transcrição reversa (RT‐PCR) ou a hibridização in situ por fluorescência (FISH), estão disponíveis para detectar essa translocação.2 No presente estudo, a FISH foi realizada em apenas dois pacientes, pois não estava disponível na instituição.
Ressecção completa é o tratamento primário para DFSP. As opções modernas incluem WLE, cirurgia micrográfica de Mohs (CMM) e cirurgia seguida por avaliação completa de margens circunferenciais e periféricas profundas (CCPDMA) tridimensional.10 A obtenção de margens livres é fundamental, pois margens positivas são fator de risco bem documentado para recorrência local.9 As células tumorais tendem a invadir o tecido subcutâneo com projeções irregulares semelhantes a tentáculos através de septos e lóbulos de gordura. Portanto, recorrências locais após excisão com margens aparentemente amplas são comuns.5 Alguns estudos propõem que a CMM pode resultar em taxas de recorrência local mais baixas do que a WLE para DFSP. Notavelmente, o DFSP tratado com WLE exibe taxa de recorrência que varia de 10 a 60%,6 contrastando com a taxa de recorrência de 1% observada com o tratamento com CMM.12,13 No entanto, a CMM e suas variantes são técnicas demoradas e não amplamente difundidas como procedimento cirúrgico padrão. Por esses motivos, vários autores propuseram a WLE (com pelo menos 3cm incluindo a fáscia subjacente) como opção terapêutica válida para a CMM.9,14 A maioria dos pacientes (95%) da instituição foi submetida à WLE para tratamento, pois a CMM não estava disponível na unidade. A taxa de recorrência local após terapia definitiva na instituição foi de 4,8%, inferior aos dados da literatura com WLE, mas superior à CMM. Na presente série, essa menor taxa de recorrência pode ser atribuída à abordagem de obter margens cirúrgicas amplas sempre que possível e ao uso de radioterapia adjuvante para casos com margens estreitas ou positivas.
Como o DFSP é relativamente sensível à radiação, a radioterapia pode ser importante opção de tratamento para tumores inoperáveis ou quando as margens pós‐operatórias são positivas, ou para tumores com múltiplas recorrências.9,10 Radioterapia tem sido sugerida para reduzir o risco de recorrência local após ressecção cirúrgica inadequada em pacientes com margens cirúrgicas estreitas ou positivas.15 Radioterapia adjuvante foi empregada em 19% dos casos da presente série, principalmente para pacientes com margens de ressecção positivas. A hipótese é que isso pode ter contribuído para a menor taxa de recorrência após a cirurgia observada na presente série em comparação com a literatura, independentemente da WLE.
As características clinicopatológicas relatadas na literatura como associadas à recorrência da doença incluem um componente de alto grau (alteração fibrossarcomatosa, aumento da celularidade e alta taxa mitótica), proximidade de margem cirúrgica positiva, idade do paciente > 50 anos, tumor de tamanho grande (≥ 5cm), sexo masculino e localização na cabeça, pescoço ou extremidade, em vez de no tronco.4,15,16 Como foram registrados apenas quatro pacientes com doença recorrente, a capacidade de caracterizar o impacto das características clinicopatológicas na recorrência após a cirurgia é limitada.
O tempo variável até a recorrência (1‐14 anos) observado neste estudo ressalta a importância do seguimento em longo prazo para pacientes com DFSP. As diretrizes europeias recomendam exames de seguimento a cada seis meses durante os primeiros cinco anos e, posteriormente, em intervalos anuais por até 10 anos. As estratégias de vigilância devem incluir exames clínicos regulares e monitoramento por ressonância magnética para pacientes com doença profundamente invasiva ou alto risco de recorrência.6,17
O risco geral para o desenvolvimento de doença metastática é de 5%, incluindo 1% com metástase em linfonodos regionais e 4% com metástase à distância. O pulmão é o local mais comum de metástase.2 Os dois casos de metástases pulmonares destacam os desafios clínicos do manejo do DFSP avançado. Esses casos sugerem que a doença recorrente e a transformação fibrossarcomatosa podem aumentar o risco de metástase. Os inibidores de tirosina quinase (TKI) demonstraram taxas de resposta promissoras em pacientes com doença avançada ou metastática.2 Ambos os pacientes foram tratados com mesilato de imatinibe, um inibidor de TKI que tem como alvo a proteína de fusão PDGFB.10 Embora o imatinibe tenha revolucionado o manejo do DFSP avançado e metastático, pode haver desenvolvimento de resistência, necessitando da exploração de agentes alternativos, como sunitinibe ou TKI de segunda geração.18 Apesar da terapia sistêmica, ambos os pacientes morreram em decorrência da progressão da doença, ressaltando a necessidade de pesquisas contínuas sobre novas estratégias terapêuticas, incluindo imunoterapia e abordagens moleculares direcionadas.
Este estudo apresenta limitações, incluindo seu desenho retrospectivo e dados clínicos incompletos em alguns casos, especialmente aqueles diagnosticados no passado. Além disso, a ausência de CMM na instituição limitou a comparação direta com os desfechos de WLE.
ConclusãoO DFSP cutâneo na presente série demonstrou características clinicopatológicas consistentes com as relatadas na literatura, incluindo predileção pelo tronco e por mulheres de meia‐idade. Histologicamente, a maioria dos casos exibiu o padrão estoriforme clássico com forte positividade para CD34. A excisão local ampla foi a principal modalidade de tratamento, com taxa de recorrência relativamente baixa em comparação com a literatura – possivelmente influenciada pelo uso de radioterapia adjuvante em pacientes selecionados. Apesar de seu prognóstico geralmente favorável, o potencial de recorrência local tardia e doença metastática reforça a necessidade de seguimento vigilante em longo prazo. O curso clínico adverso associado ao DFSP avançado ressalta a eficácia limitada das terapias sistêmicas atuais e destaca o papel crítico do diagnóstico precoce, da excisão cirúrgica completa e da radioterapia adjuvante. Pesquisas contínuas sobre novos tratamentos sistêmicos e moleculares direcionados são essenciais para melhorar os resultados no DFSP em estágio avançado.
Suporte financeiroNenhum.
Contribuição dos autoresLanyu Sun: Concepção e planejamento do estudo; coleta, análise e interpretação dos dados; elaboração e redação do manuscrito; revisão crítica do conteúdo intelectual relevante e da literatura; participação efetiva na orientação da pesquisa; aprovação da versão final do manuscrito.
Mafalda Pinho: Coleta, análise e interpretação dos dados; elaboração e redação do manuscrito; revisão crítica de conteúdo intelectual relevante e da literatura; aprovação da versão final do manuscrito.
Cláudia Brazão: Coleta, análise e interpretação dos dados; revisão crítica de conteúdo intelectual relevante e da literatura; aprovação da versão final do manuscrito.
Joana Frade: Coleta, análise e interpretação dos dados; revisão crítica de conteúdo intelectual relevante e da literatura; aprovação da versão final do manuscrito.
Diogo de Sousa: Concepção e planjamento do estudo; coleta, análise e interpretação dos dados; aprovação da versão final do manuscrito.
Pedro de Vasconcelos: Coleta, análise e interpretação dos dados; revisão crítica de conteúdo intelectual relevante; aprovação da versão final do manuscrito.
Luís Soares‐de‐Almeida: Concepção e planejamento do estudo; revisão crítica de conteúdo intelectual relevante; participação efetiva na orientação da pesquisa; aprovação da versão final do manuscrito.
Paulo Filipe: Concepção e planejamento do estudo; revisão crítica de conteúdo intelectual relevante; participação efetiva na orientação da pesquisa; aprovação da versão final do manuscrito.
Disponibilidade de dados de pesquisaTodo o conjunto de dados que dá suporte aos resultados deste estudo foi publicado no próprio artigo.
Conflito de interessesNenhum.
EditorSílvio Alencar Marques
Como citar este artigo: Sun L, Pinho M, Brazão C, Frade J, Sousa D, Vasconcelos P, et al. Clinicopathologic features and treatment outcomes of dermatofibrosarcoma protuberans: A 25‐year retrospective study. An Bras Dermatol. 2025;100:501213.
Trabalho realizado na Unidade Local de Saúde Santa Maria, Lisboa, Portugal.








