O complexo de Carney é genodermatose rara caracterizada por mixomas cardíacos e cutâneos, entre outros tumores. Na maioria dos casos, os mixomas cutâneos precedem o diagnóstico dos mixomas cardíacos, que são a principal causa de morte nesses pacientes. Apesar de o diagnóstico dos mixomas cutâneos ser histopatológico, a ultrassonografia de alta frequência desempenha papel fundamental no diagnóstico diferencial com outros tumores cutâneos e subcutâneos. Descreve‐se aqui, pela primeira vez na literatura, as características ultrassonográficas de ambas as variantes de mixomas cutâneos, superficiais e subcutâneos, em um paciente com complexo de Carney.
O complexo de Carney (CC) é síndrome neoplásica autossômica dominante rara caracterizada por mixomas cardíacos e cutâneos, lesões pigmentadas mucocutâneas (lentigo, nevo azul e manchas café‐au‐lait) e múltiplos tumores endócrinos frequentemente causando anormalidades endócrinas que envolvem diversos órgãos.1–3 O gene PRKAR1A no cromossomo 17 (17q22‐24) apresenta mutação em mais de 70% dos casos, e cerca de 30% dos pacientes afetados são portadores de uma mutação de novo. Esse gene codifica a subunidade reguladora alfa tipo I da enzima proteína quinase A, um componente‐chave da via de sinalização do AMPc, envolvido na tumorigênese endócrina. Até o momento, mais de 125 mutações inativadoras patogênicas foram relatadas. Para a maioria dos pacientes com CC PRKAR1A‐negativo, a causa genética permanece desconhecida.1,2,4 Em 81% dos casos, os mixomas cutâneos precedem o diagnóstico de mixomas cardíacos, que são a principal causa de morte nesses pacientes.1,5 Portanto, a detecção desse tumor cutâneo deve sempre levar o médico a investigar o envolvimento cardíaco. Apesar de a histopatologia ser o teste diagnóstico padrão ouro para mixomas cutâneos, a ultrassonografia (US) de alta frequência pode desempenhar papel fundamental no diagnóstico diferencial desses tumores com outras lesões dérmicas e hipodérmicas. Este relato de caso descreve, pela primeira vez, as características ultrassonográficas dos mixomas superficiais e subcutâneos em um paciente com CC.
Relato de casoUm homem de 20 anos de idade com história pessoal de excisão cirúrgica de várias lesões cutâneas (cistos, lipomas e um mixoma) foi encaminhado ao nosso serviço para avaliação e tratamento de acne. O exame físico revelou lentigos faciais e labiais, nódulo subcutâneo na região malar esquerda, além de múltiplas pápulas pedunculadas, aveludadas, moles e rosadas localizadas no tronco.
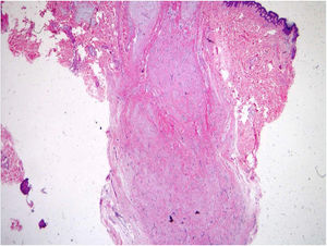
Exames de US Doppler colorido e em escala de cinza do nódulo subcutâneo e de uma das pápulas localizadas na região periareolar direita (fig. 1) foram realizados com um scanner MyLab25Gold equipado com um transdutor de matriz linear de 10‐18MHz (Esaote, Gênova, Itália). A US de alta frequência do nódulo malar subcutâneo revelou uma massa mal definida, alongada, heterogênea e hipoecoica localizada na derme profunda e hipoderme (fig. 2). Por outro lado, a US da pápula periareolar direita mostrou uma lesão bem definida, redonda, homogênea e hipoecoica localizada na derme superficial com elevação da epiderme (fig. 3). A US com Doppler colorido e direcional não mostrou aumento da vascularização em nenhuma das duas lesões. A histopatología de duas pápulas do tronco removidas cirurgicamente confirmou o diagnóstico de mixomas cutâneos (fig. 4). A lesão malar não foi excisada por razões estéticas.
Com o diagnóstico de CC, foram realizados os seguintes exames: ecocardiograma, US de tireoide e testicular, cortisol livre urinário de 24 horas, fator de crescimento semelhante à insulina‐1 plasmático e sequenciamento de PRKAR1A. Nenhuma alteração foi encontrada, exceto pela presença de nódulos coloides na tireoide e a mutação p.Val164GlufsX5 no gene PRKAR1A, que estava presente no paciente, mas não em seus parentes de primeiro grau. Portanto, tratava‐se de um caso esporádico de CC. O paciente é acompanhado regularmente em nosso departamento para descartar associações de início recente.
DiscussãoO CC é uma genodermatose rara com mais de 600 casos relatados em todo o mundo. Muitas manifestações cutâneas estão listadas entre os critérios diagnósticos, incluindo lentiginose cutânea, mixomas cutâneos ou mucosos e múltiplos nevos azuis. Outras lesões cutâneas associadas ao CC são manchas café‐au‐lait, nevos melanocíticos, lipomas e angiofibromas. Depois dos lentigos cutâneos e dos nevos azuis, os mixomas cutâneos são a terceira manifestação cutânea mais frequente (30 a 55% dos pacientes). Eles geralmente apresentam‐se como pápulas rosadas múltiplas, assintomáticas, sésseis ou pedunculadas, localizadas comumente na pálpebra, no conduto auditivo externo, nos mamilos e na genitália. Podem estar localizados na derme ou no tecido subcutâneo e medem menos de 1cm de diâmetro.1,2,4
Por outro lado, mixomas cardíacos são as lesões não cutâneas mais comuns encontradas no CC (20 a 40% dos pacientes). Podem aparecer no início da infância e ocorrer em qualquer parte do coração. Eles podem determinar fenômenos obstrutivos, constitucionais ou embólicos, como derrames, insuficiência cardíaca ou morte súbita. São responsáveis por mais de 50% da mortalidade da doença e, considerando que 81% dos pacientes com mixomas cardíacos apresentaram mixomas cutâneos prévios, a existência destes deve sempre levar o médico a descartar o envolvimento cardíaco.1,2,4,6
Enquanto mixomas cardíacos se apresentam na US como massas pedunculadas, atriais e hiperecogênicas, a US de mixomas cutâneos ainda não foi descrita na literatura. Observamos que eles apresentam características ecográficas diferentes, dependendo de sua localização na pele. Os mixomas superficiais apresentam‐se como lesões bem definidas, arredondadas, homogêneas e hipoecoicas, localizadas na derme superficial com elevação da epiderme. Por sua vez, os mixomas subcutâneos aparecem como massas mal definidas, alongadas, heterogêneas e hipoecoicas, localizadas na derme profunda e na hipoderme. O diagnóstico diferencial ultrassonográfico dos mixomas superficiais deve ser feito com os tumores benignos da pele, como cistos, dermatofibromas, pilomatricomas e neurofibromas. Os cistos são lesões bem definidas, arredondadas, hipoecoicas ou anecoicas e geralmente apresentam realce posterior e sombreamento bilateral nas bordas. Os dermatofibromas são lesões mal definidas, hipoecoicas e heterogêneas. Na US, os pilomatricomas aparecem como lesões hipoecoicas com margens bem definidas e tipicamente apresentam pequenas calcificações múltiplas e sombreamento posterior. A US com Doppler colorido geralmente revela uma única artéria que penetra na lesão e dá origem a vários ramos intralesionais.7 Os neurofibromas são lesões hipoecoicas arredondadas, ovaladas ou fusiformes, que podem apresentar conexão com os feixes neurais aferentes e eferentes hipoecoicos. Por outro lado, o diagnóstico diferencial ultrassonográfico dos mixomas subcutâneos deve ser realizado com lesões mais profundas, como abscessos ou lipomas. Na US, os abscessos aparecem como coleções heterogêneas de fluido, com margens irregulares e aumento do fluxo vascular na US com Doppler colorido, em caso de inflamação ativa. Os lipomas são geralmente massas ovoides, hipoecoicas, subcutâneas, com linhas horizontais hiperecoicas lineares dentro da lesão.
Em conclusão, apesar de que características distintas não foram identificadas, acreditamos que a US de alta frequência seja uma ferramenta complementar valiosa no diagnóstico de mixomas cutâneos em pacientes com suspeita de CC. Que seja de nosso conhecimento, esta é a primeira descrição ultrassonográfica de mixomas superficiais e subcutâneos. A US de alta frequência também torna possível o seguimento de lesões não favoráveis ao tratamento cirúrgico, especialmente a variante subcutânea em locais como a face.
Suporte financeiroNenhum.
Contribuição dos autoresMonica Quintana‐Codina: Aprovação da versão final do manuscrito; revisão crítica da literatura; obtenção, análise e interpretação dos dados; participação efetiva na orientação da pesquisa; participação intelectual em conduta propedêutica e/ou terapêutica de casos estudados; revisão crítica do manuscrito; elaboração e redação do manuscrito; concepção e planejamento do estudo.
Marina Corral‐Forteza: Aprovação da versão final do manuscrito; obtenção, análise e interpretação dos dados; participação efetiva na orientação da pesquisa; participação intelectual em conduta propedêutica e ou terapêutica de casos estudados; revisão crítica do manuscrito; concepção e planejamento do estudo.
Maribel Iglesias‐Sancho: Aprovação da versão final do manuscrito; obtenção, análise e interpretação dos dados; participação efetiva na orientação da pesquisa; participação intelectual na conduta propedêutica e/ou terapêutica de casos estudados; revisão crítica do manuscrito; concepção e planejamento do estudo.
Montse Salleras‐Redonnet: Aprovação da versão final do manuscrito; obtenção, análise e interpretação dos dados; participação efetiva na orientação da pesquisa; participação intelectual na conduta propedêutica e/ou terapêutica dos casos estudados; revisão crítica do manuscrito; concepção e planejamento do estudo.
Conflito de interessesNenhum.
Como citar este artigo: Quintana‐Codina M, Corral‐Forteza M, Iglesias‐Sancho M, Salleras‐Redonnet M. Ultrasonographic features of cutaneous myxomas in a patient with Carney complex. An Bras Dermatol. 2021;96:726–9.
Trabalho realizado no Departamento de Dermatologia, Hospital Universitari Sagrat Cor, Grupo Quironsalud, Barcelona, Espanha.





