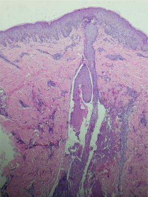
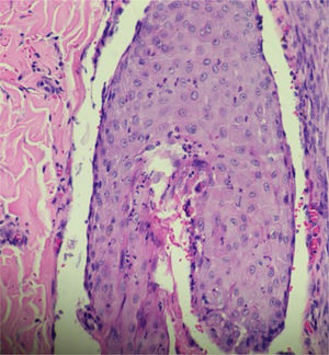
Paciente do sexo feminino, 26 anos, primigesta, no curso de 31 semanas de gestação, relatava aparecimento de lesões cutâneas pruriginosas no tronco, com dois meses de evolução. Ao exame físico, observavam‐se pápulas eritematosas e pústulas localizadas no abdome (em especial na linha nigra), no esterno, dorso e na face lateral dos glúteos (figs. 1 e 2). Foram solicitados exames laboratoriais e realizada biópsia de pústula do dorso. Os exames laboratoriais não revelaram anormalidades, e a análise histopatológica evidenciou infiltrado perivascular predominantemente linfocítico na derme, além de folículo piloso permeado por infiltrado inflamatório com predomínio de neutrófilos e destruição da estrutura folicular (figs. 3 e 4). A paciente foi tratada com gel de peróxido de benzoíla a 5% e apresentou regressão completa das lesões na primeira semana pós‐parto.
- a)
Foliculite pruriginosa da gravidez
- b)
Erupção polimórfica da gravidez
- c)
Foliculite bacteriana
- d)
Erupção acneiforme
A foliculite pruriginosa da gravidez (FPG) foi originalmente descrita em 1981 por Zoberman e Farmer.1–4 Os autores relataram erupção eritematopapulosa, pruriginosa, em seis gestantes entre o 4° e o 9° mês de gestação.1–3 As lesões regrediram espontaneamente até um mês após o parto.1–3
A FPG é a dermatose pruriginosa específica da gravidez menos comum.2 Desde sua descrição, poucos relatos de casos foram publicados. O estudo prospectivo realizado por Roger et al. em 1994, que acompanhou 3.192 grávidas, identificou 51 casos com manifestação de prurido (1,6%), dos quais apenas um (0,03%) estava associado a pápulas foliculares e pústulas estéreis no tronco, consistentes com o diagnóstico de FPG.5
No trabalho de Vaughan Jones et al., de 1999, uma coorte de 200 mulheres acometidas por dermatoses gestacionais (DG) com seguimento de dois anos identificou a FPG em 14 pacientes (7%).6 Vale destacar que, nesse artigo, andrógenos séricos foram mensurados e não apresentaram alterações quando comparados ao grupo controle, afastando a hipótese de etiologia relacionada à elevação das taxas desses hormônios.6
Em 2006, Ambros‐Rudolph et al. realizaram estudo retrospectivo, por meio da análise de prontuários de 505 gestantes. A FPG foi diagnosticada em apenas uma paciente (0,2%), com história de eczema na infância e história familiar de atopia em dois parentes de primeiro grau. Os autores propuseram nova classificação das DG, introduzindo o termo erupção atópica da gravidez (EAG) que engloba FPG, purigo da gravidez e eczema da gravidez.7 Esse termo tem sido alvo de críticas porque nem todas as grávidas com EAG têm histórico de atopia, assim como a paciente deste nosso relato.
Conforme descrito na literatura e observado neste caso, as pacientes apresentam boa resposta aos tratamentos tópicos à base de peróxido de benzoíla a 5% ou 10% e hidrocortisona a 1%.2,8,9 É comum a regressão espontânea completa das lesões em poucas semanas após o parto.9
A FPG é dermatose gestacional rara, benigna e autolimitada, que não interfere na morbimortalidade materno‐fetal. É imprescindível que as gestantes sejam adequadamente diagnosticadas e orientadas, devendo seguir em acompanhamento especializado.
Suporte financeiroNenhum.
Contribuição dos autoresMaria Rita Carvalho de Freitas Amorim: Levantamento dos dados, análise e interpretação dos dados; redação do artigo; obtenção, análise e interpretação dos dados; revisão crítica da literatura e aprovação final da versão final do manuscrito.
Flavia Amorim Meira Cavaliere: Revisão crítica do conteúdo intelectual importante; participação efetiva na orientação da pesquisa; participação intelectual em conduta propedêutica e terapêutica e aprovação final da versão final do manuscrito.
Esther Oliveira Xavier de Brito: Revisão crítica do conteúdo intelectual importante e aprovação final da versão final do manuscrito.
Amanda Nascimento Cavalleiro de M. Mota da Silva: Concepção e o desenho do estudo; revisão crítica do conteúdo intelectual importante; participação intelectual em conduta propedêutica e terapêutica e aprovação final da versão final do manuscrito.
Conflito de interessesNenhum.
Como citar este artigo: Amorim MR, Cavaliere FA, Brito EO, Mota AN. Case for diagnosis. Pregnant woman in the 3rd trimester with pruritic papules and pustules on the trunk. Pruritic folliculitis of pregnancy. An Bras Dermatol. 2022;97:102–4.
Trabalho realizado no Hospital Central da Aeronáutica, Rio de Janeiro, RJ, Brasil.





