O fibromixoma acral superficial (FAS) é tumor mesenquimal raro, de crescimento lento, consistência fibroelástica e geralmente indolor. O FAS afeta principalmente as mãos e os pés, em especial na região periungueal ou subungueal; é mais comum no sexo masculino, na proporção de 2:1, e ocorre por volta dos 50 anos.1
Esse tumor apresenta características polimórficas, tornando seu diagnóstico desafiador. Quando localizado na região periungueal, apresenta‐se tipicamente como massa de coloração branca ou rosada com hiperceratose leve e sem estruturas vasculares visíveis. Por outro lado, quando situado na região subungueal, causa deformidade da lúnula. Nesses casos, micro‐hemorragias e vasos lineares dilatados podem ser observados na dermatoscopia.2,3
O presente relato descreve um caso de FAS com envolvimento ósseo, detalhando seus aspectos dermatoscópicos, histopatológicos e evolutivos.
Paciente do sexo feminino, de 71 anos, relatava o aparecimento de tumor indolor no quarto pododáctilo esquerdo com crescimento progressivo nos últimos cinco anos. No exame físico, a paciente exibia lesão eritematosa de consistência fibroelástica, crostas, telangiectasias e um colarete na base (fig. 1 A e B). O exame dermatoscópico revelou vasos lineares dilatados, áreas amorfas acastanhadas e placas brancas compactas, sugestivas de queratinização alterada (fig. 1C e D).
(A) Tumor ceratótico no quarto pododáctilo esquerdo. (B) Quatorze dias após foto A ‐ tumor em crescimento com afinamento mais evidente da lâmina ungueal e telangiectasias na superfície. C e D, Dermatoscopia, 10×. Presença de vasos lineares dilatados (seta vermelha), áreas amorfas acastanhadas (seta amarela) e placas brancas compactas (seta azul).
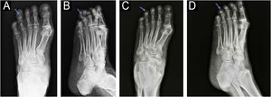
Na radiografia, era evidente erosão óssea associada a espessamento de tecidos moles na falange distal do quarto pododáctilo esquerdo (fig. 2). Uma biopsia excisional sem margens foi realizada para histopatologia.
Radiografias anteroposteriores (A) e laterais (B) do pé esquerdo antes da cirurgia: aumento da densidade do tecido mole e erosão óssea da falange distal (seta azul), lembrando aspecto de “taça” (B). Radiografias anteroposteriores (C) e laterais (D) do pé esquerdo dois meses após a cirurgia: recuperação parcial da estrutura óssea.
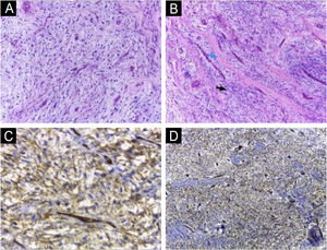
O exame histopatológico revelou proliferação de células fusiformes na derme em meio a estroma mixoide (fig. 3 A e B). O exame imuno‐histoquímico mostrou positividade para CD34 (fig. 3C), CD99 (fig. 3 D), Ki67 em menos de 5% das células e negatividade para 1A4, S100 e antígeno de membrana epitelial (EMA, do inglês epithelial membrane antigen).
(A e B) Proliferação homogênea de células fusiformes em meio a estroma mixoide (A); áreas de fibrose (seta azul) alternando com estroma mixoide (seta preta) (B) (Hematoxilina & eosina; 100×). Estudo imuno‐histoquímico mostrando células neoplásicas com expressão difusa de CD34 (C) e CD99 (D) – 400× e 100×, respectivamente.
Dada a apresentação clínica, aspectos histopatológicos e imuno‐histoquímicos, foi diagnosticado FAS. A paciente apresentou recuperação da lâmina ungueal no pós‐operatório e permanece em seguimento ambulatorial em virtude do risco de recorrência (fig. 4).
Em aproximadamente 36% dos casos, o FAS se apresenta com lesões ósseas erosivas ou líticas.4,5 O exame ultrassonográfico pode fornecer informações adicionais importantes para o planejamento cirúrgico, como tamanho do tumor, localização, conteúdo e presença de vascularização no Doppler. Também pode ser usado para monitorar recorrências.6
O tratamento de escolha é a excisão cirúrgica, com taxa de recorrência variando de 10% a 24%, provavelmente associada a ressecções incompletas. Não há casos relatados de malignidade na literatura, e não há consenso sobre margens cirúrgicas.1
O estudo histopatológico revela lesão não encapsulada, moderadamente circunscrita, localizada na derme, que pode se estender para a hipoderme, fáscia ou zona periosteal. Há proliferação monomórfica de células fusiformes semelhantes a fibroblastos, imersas em estroma de colágeno mixoide.7 Um achado característico é a presença de áreas de fibrose em meio ao estroma mixoide. Atipia nuclear e figuras de mitose são raras.8
No exame imuno‐histoquímico, as células tumorais no FAS mostram imunorreatividade para CD34, EMA e CD99. No estudo de Fetsch et al.,9 que descreveram esse tumor pela primeira vez em 2001, a positividade foi relatada como 91,3% para CD34, 72% para EMA e 84,6% para CD99. Além disso, é esperada ausência de imunorreatividade com citoqueratina, marcadores melanocíticos, actina do músculo liso (SMA, do inglês smooth muscle actin) e desmina.10
Os diagnósticos diferenciais histopatológicos incluem tumores com proliferação mixoide e fibromixoide, incluindo fibroma ungueal, fibroqueratoma digital adquirido, sarcoma fibromixoide de baixo grau, dermatofibrosarcoma protuberans (DFSP) mixoide, angiomixoma e neurofibroma mixoide, que serão diferenciados pelo estudo imuno‐histoquímico.
Os tumores CD34‐positivos incluem DFSP, neurofibroma e angiomixoma. O neurofibroma mixoide tem aparência neural e é positivo para S100. Por outro lado, o DFSP pode ter áreas mixoides extensas, mimetizando FAS, com positividade para CD34 e EMA, tornando‐o diagnóstico diferencial difícil.1 Áreas periféricas, mesmo que pequenas, com as características histopatológicas clássicas de DFSP, incluindo padrão de crescimento mais infiltrativo, sugerem esse diagnóstico.9
O FAS é tumor mesenquimal raro com diagnóstico desafiador, pois exibe características clínicas e dermatoscópicas polimórficas que se assemelham a outras lesões digitais. Estudo anatomopatológico e exame imuno‐histoquímico são necessários para diagnóstico preciso. Apesar de seu comportamento benigno, o FAS pode ocasionar erosão óssea e tem altas taxas de recorrência. Nesse contexto, a cirurgia de Mohs pode ser boa alternativa para melhor controle de margens.
Suporte financeiroNenhum.
Contribuição dos autoresAna Carolina Baião Silva: Participou da geração de dados, revisão de literatura e elaboração e redação do manuscrito.
Helena Maciel Guerra: Participou da geração de dados e aprovou a versão final do manuscrito.
Leonardo Ávila: Participou da geração de dados e aprovou a versão final do manuscrito.
Rafael Fantelli Stelini: Participou da geração de dados, elaboração e redação do manuscrito e aprovou a versão final do manuscrito.
Renata Ferreira Magalhães: Participou da elaboração e redação do manuscrito e aprovou a versão final do manuscrito.
Laura Bertanha: Participou da geração de dados, elaboração e redação do manuscrito, revisou os dados pertinentes e aprovou a versão final do manuscrito.
Conflito de interessesNenhum
Como citar este artigo: Silva ACB, Guerra HM, Ferreira LA, Stelini RF, Bertanha L, Magalhães RF. Superficial acral fibromyxoma with bone involvement: description and postoperative follow‐up. An Bras Dermatol. 2025;100. https://doi.org/10.1016/j.abd.2024.04.015.
Trabalho realizado no Hospital das Clínicas, Universidade Estadual de Campinas, Campinas, SP, Brasil.





