A hanseníase histoide é uma forma rara de hanseníase multibacilar, caracterizada pela presença de pápulas, placas ou nódulos de aspecto queloide, da cor da pele ou eritematosos. As células fusiformes são a principal característica histopatológica. Por poder simular outras lesões dermatológicas (por exemplo, dermatofibroma e neurofibroma), constitui um desafio diagnóstico para médicos e patologistas. É uma forma bacilífera da hanseníase e desempenha importante papel na cadeia de transmissão da doença. Relatamos o caso de um paciente com hanseníase histoide na região Nordeste do Brasil.
A hanseníase é uma doença infectocontagiosa de caráter crônico, cujo agente etiológico é o Mycobacterium leprae. Na dependência do perfil imunológico de cada indivíduo pode‐se verificar desde lesões dermatológicas maculares com alteração da sensibilidade, até graves lesões em nervos periféricos, osteoarticulares e vasculares, implicando em importantes sequelas e consequências psicossociais.1
Em 2018, a Organização Mundial da Saúde notificou 208.619 novos casos da doença. O Brasil contribuiu com 92,6% desses casos nas Américas no mesmo ano, e o estado da Bahia notificou 2.119 novos casos, coeficiente de detecção anual de 14,31/100.000 habitantes – considerado de “alta endemicidade”, e acima da média nacional.2,3
A hanseníase histoide (HH) foi inicialmente descrita por Wade, em 1963, como uma configuração rara de apresentação de resistência medicamentosa em pacientes multibacilares, principalmente na hanseníase Virchowiana (HV), mas também em formas limítrofes, em tratamento com monoterapia com dapsona. Todavia, pode surgir em pacientes virgens de tratamento e, portanto, não é considerada padrão de resistência, haja vista sua resposta à poliquimioterapia tradicional. A HH é responsável por menos de 4% dos casos de hanseníase, com preponderância masculina e idade média entre 21 e 40 anos. Como a carga bacilar é muito alta nesses pacientes, eles podem formar um reservatório potencial de infecção na comunidade.4
Relatamos a seguir um caso de paciente com HH, com manifestações cutâneas exuberantes, com o intuito de evidenciar seu polimorfismo e destacar a relevância do diagnóstico e tratamento precoces.
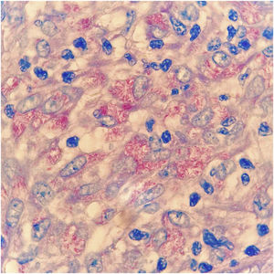
Relato do casoAtendido em ambulatório, homem, 50 anos de idade, pardo, natural e procedente de Sento Sé (BA), relata que há aproximadamente 18 meses surgiram lesões em membros inferiores, superiores e tronco, sem alteração de sensibilidade ou quaisquer sintomas sistêmicos. O paciente informou ter ido a alguns profissionais de saúde sem conclusão diagnóstica. Relatava uso de enalapril, ácido acetilsalicílico, anlodipina e espironolactona para tratamento de hipertensão arterial. Como antecedentes médicos, referia infarto agudo do miocárdio havia quatro anos e tratamento para hanseníase havia 10 anos. Ao exame dermatológico, apresentava pápulas e nódulos, de normocrômicos a eritematoamarelados, superfície lisa e brilhante, bem delimitados, de tamanho entre 0, 3 e 0,5cm, de consistência firme e aspecto queloidiforme, além de uma tumoração de aproximadamente 10/12cm, endurecida e eritematoarroxeado semelhante a um dermatofibroma gigante em tornozelo direito (fig. 1). Toda a pele mostrava‐se infiltrada, porém sem madarose ou fácies leonina. Com suspeita diagnóstica de HV com componente histoide, foi realizada biópsia da tumoração para análise anatomopatológica, a qual apresentou histiócitos fusiformes dispostos em feixes curtos ocupando a derme, além da presença de inúmeros bacilos ácido‐álcool resistentes (BAAR) à coloração de Fite‐Faraco (figs. 2 e 3). Também foram solicitados baciloscopia, que resultou positiva, índice bacilar 1,8 com bacilos íntegros e fragmentados, além de hemograma, provas de função hepática e renal, os quais resultaram normais. Pelo quadro clínico típico, o paciente foi encaminhado para unidade básica de saúde com prescrição de poliquimioterapia multibacilar.
A HH distingue‐se clinicamente pela presença de pápulas, placas ou nódulos de aspecto queloidiformes, normocrômicos ou eritematosos e infiltrados, que variam entre 1,5 e 3cm, embora lesões bem maiores tenham sido descritas (como no caso do paciente em relato), podendo ainda haver comprometimento de nervos periféricos. A histopatologia é fundamental para a conclusão diagnóstica e caracteriza‐se por infiltrado predominantemente constituído por histiócitos fusiformes, semelhantes a fibroblastos e que, por vezes, simula neoplasia fibro‐histiocítica, associada a poucos macrófagos espumosos e numerosos BAARs. Entre seus diagnósticos diferenciais, encontram‐se dermatofibromas, dermatofibrossarcoma protuberans, xantomas, queloides, neurofibromas, retículo‐histiocitose, sarcoidose e metástases cutâneas. Em sua forma mais ativa, as pápulas e os nódulos histoides expandem‐se rapidamente, produzindo pseudocápsulas de colágeno.4,5
A baciloscopia das lesões histoides mostra abundantes BAARs em aglomerados, isolados ou fortemente acondicionados em macrófagos. Esses bacilos aparecem mais longos com extremidades afiladas, quando comparados aos bacilos comuns da hanseníase. Acredita‐se que sua etiopatogenia esteja relacionada ao aumento da imunidade mediada por células, com linfócitos, células CD4 e macrófagos ativados nas lesões, porém com reduzida propriedade fagocítica e com produção humoral de citocinas “supressoras”, como a interleucina‐10 sob influência de antígenos bacilares, inibindo as células TCD4. Estas não apresentariam os antígenos adequadamente às células efetoras do sistema imune, o que poderia explicar a origem das lesões hiperplásicas com numerosos bacilos e pouca formação de globias.5–7
ConclusãoA despeito de a HH não ser a forma usual de apresentação da hanseníase multibacilar e ser um desafio diagnóstico para clínicos e patologistas, é importante o olhar atento, em áreas endêmicas, para formas atípicas da hanseníase, que, por serem altamente bacilíferas, contribuem para a manutenção da cadeia de transmissão da doença.
Suporte financeiroNenhum.
Contribuição dos autoresTânia Rita Moreno de Oliveira Fernandes: Concepção e desenho do estudo; análise e interpretação dos dados; aprovação final da versão.
Victor Josuan Soares de Andrade: Concepção e desenho do estudo; análise e interpretação dos dados; aprovação final da versão.
Igor Dutra Nascimento: Concepção e desenho do estudo; análise e interpretação dos dados; aprovação final da versão.
Ana Kívia Silva Matias: Concepção e desenho do estudo; análise e interpretação dos dados; aprovação final da versão.
Conflito de interessesNenhum.




