O número de infecções de pele causadas por micobactérias atípicas vem aumentando nas últimas décadas. As infecções aparecem geralmente após contato com feridas e soluções de continuidade. Apresentamos um caso de infecção cutânea por Mycobacterium marinum em paciente jovem, imunocompetente, com evolução arrastada, cujo diagnóstico foi confirmado por cultura da lesão de pele (com material de biópsia cutânea em fuso). O paciente foi tratado com poliquimioterapia, incluindo claritromicina, doxiciclina e rifampicina, em razão da extensão da lesão, com resultado satisfatório.
O número de infecções cutâneas por micobactérias não tuberculosas (MNT) vem aumentando nas últimas décadas.1 Existem, em média, 130 espécies de MNT, e 1/3 delas pode causar infecção em humanos.1 Algumas apresentam distribuição mundial, como as de crescimento rápido; já outras predominam na África e na Austrália, causando infecção cutânea endêmica.1
A doença cutânea geralmente surge após contato com soluções de continuidade (como feridas causadas por traumatismo ou cirurgia),1,2 com água ou outros produtos contaminados ou, ainda, por disseminação hematogênica, especialmente em pacientes imunodeprimidos.1
Seu diagnóstico é difícil, requer suspeição clínica pela história de traumatismo local com posterior contaminação e é confirmado pela cultura da lesão.1,3
O tratamento é prolongado. Quando possível, deve ser baseado na sensibilidade da bactéria causadora da infecção.1,3 Entretanto, na impossibilidade de antibiograma e em casos de diagnóstico obtido por testes moleculares, recomenda‐se guiar a escolha pelo grupo de micobactéria responsável pela doença.3
Relatamos um caso de infecção cutânea por Micobacterium marinum e abordamos sua dificuldade diagnóstica e conduta terapêutica.
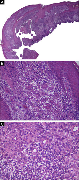
Relato do casoPaciente do sexo masculino, 36 anos, morador de Florianópolis (SC), trabalhador da construção civil, hígido, com hábito eventual de pesca em manguezais. Referiu surgimento de lesão em quinto quirodáctilo esquerdo há 15 anos, após traumatismo com material perfurocortante. Evoluiu com formação de pápula e exsudação, com posterior progressão da lesão para o dorso da mão, formando placa eritematoverrucosa com nódulos e crostas e evidente atrofia do quinto dedo (fig. 1). Negou sintomas sistêmicos. O paciente foi submetido a biópsias (por punch) cuja histologia sugeria processo infeccioso, porém as culturas resultaram negativas. Ele recebeu diversos tratamentos empíricos, sem melhora. A tomografia da mão esquerda afastava acometimento ósseo. Sorologias resultaram negativas. O paciente foi submetido a nova biópsia, em fuso, cuja histologia revelou intenso infiltrado linfomononuclear rico em plasmócitos, neutrófilos (fig. 2) e cultura (em meio sólido, de Lowenstein‐Jensen) com crescimento de Micobacterium marinum. Iniciou‐se tratamento com claritromicina, doxiciclina e rifampicina, em virtude da extensão da lesão, com boa resposta (fig. 3).
Micobacterium marinum vive em ambientes aquáticos, preferencialmente em água salgada não tratada.1,3 Desde 1954, sua infecção é conhecida como “granuloma de piscinas ou aquários”.1,3 É pouco frequente, com incidência de 0,04 a 0,27/100.000 habitantes.3
A infecção predomina na segunda e terceira décadas de vida, sem predileção por sexo.3 Quanto à incidência em imunossuprimidos e imunocompetentes,3,4 ainda faltam estudos para que se possa afirmar predominância em algum grupo, uma vez que os dados da literatura, até o momento, são discordantes. Seu período de incubação é de duas a oito semanas.1
A lesão se apresenta como pápula, placa ou nódulo de coloração violácea, geralmente única, em extremidades (como dorso das mãos ou dos pés).1–4 Pode evoluir com supuração, ulceração ou mesmo infecção disseminada e debilitante.1,3
Para o diagnóstico é necessário suspeição clínica. Deve‐se realizar biópsia com análise histológica e cultura da lesão.3,4 O anatomopatológico revela processo granulomatoso e supurativo na derme, com demonstração do bacilo em poucos casos.3
O tratamento depende da espécie, da extensão da lesão e do status imune do paciente.3,4 Casos leves, com infecção superficial, podem ser tratados com monoterapia (claritromicina, minociclina, doxiciclina, sulfametoxazol‐trimetoprim). Já pacientes com quadros graves e de evolução prolongada necessitam associação de dois ou mais medicamentos (rifampicina, etambutol, macrolídeos, sulfametoxazol‐trimetoprim) e, eventualmente, ressecção e desbridamento.1–3 Relatamos um caso de infecção cutânea causada por Micobacterium marinum de longa evolução e difícil diagnóstico. Ressaltamos a importância da suspeição clínica, do envio de material para cultura e da possível necessidade de múltiplas biópsias da lesão para a confirmação diagnóstica.
Suporte financeiroNenhum.
Contribuição dos autoresAngélica Seidel: Concepção e planejamento do estudo; elaboração e redação do manuscrito; obtenção, análise e interpretação dos dados; revisão crítica da literatura.
Daniel Holthausen Nunes: Aprovação da versão final do manuscrito; Revisão crítica do manuscrito; Participação intelectual em conduta propedêutica e/ou terapêutica de casos estudados.
Camilo Fernandes: Aprovação da versão final do manuscrito; revisão crítica do manuscrito; participação intelectual em conduta propedêutica e/ou terapêutica de casos estudados.
Gabriella Di Giunta Funchal: Aprovação da versão final do manuscrito; revisão crítica do manuscrito; concepção e planejamento do estudo.
Conflito de interessesNenhum.
Como citar este artigo: Seidel A, Nunes DH, Fernandes C, Funchal GG. Skin infection by Mycobacterium marinum – diagnostic and therapeutic challenge. An Bras Dermatol. 2022;97:366–8.
Trabalho realizado no Serviço de Residência Médica em Dermatologia do Hospital Universitário Professor Polydoro Ernani de São Thiago, Florianópolis, SC, Brasil.




