Linfoma intravascular é doença extremamente rara, com manifestações clínicas diversas e atípicas, o que torna o diagnóstico precoce desafiador e impacta o prognóstico.1
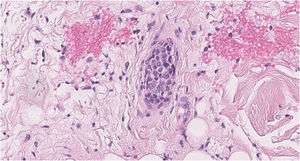
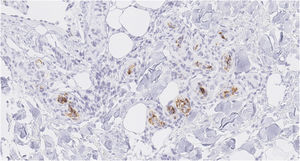
Apresenta‐se o caso de uma paciente, de 70 anos, com histórico de câncer cervical tratado com cirurgia, braquiterapia e radioterapia, que apresentava edema progressivo em ambos os membros inferiores havia dois anos, associado a múltiplas telangiectasias generalizadas (fig. 1), perda ponderal significante, episódios de febre de até 38°C e sudorese noturna. Os exames laboratoriais revelaram hemoglobina de 8,7g/dL, VCM 94 fL, leucócitos 3.240μL com predominância de neutrófilos, plaquetas 144.000μL, VHS 48mm/h, ácido úrico 6,2mg/dL, LDH 662 U/L (IR: 125‐220), FA 246 U/L (IR: 40‐150), GGT 135 U/L (IR: 9‐36), transaminases e bilirrubinas normais e vitamina B12 1.360 pg/mL, com função renal, cálcio e fósforo normais. A β2‐microglobulina estava elevada (3,74mg/L). A eletroforese de proteínas mostrou pico monoclonal na região gama, com componente monoclonal IgM kappa e cadeia leve lambda na imunofixação. A tomografia computadorizada (TC) do tórax, abdome e pelve não apresentou achados patológicos significantes. A ultrassonografia com Doppler dos membros inferiores revelou edema subcutâneo. A biopsia da medula óssea foi normal. Uma biopsia de pele foi realizada, identificando grandes células linfoides atípicas com nucléolos proeminentes dentro de pequenos vasos (fig. 2). A imuno‐histoquímica foi positiva para CD20, PAX‐5, MUM‐1 e Bcl‐2 e negativa para CD3, Bcl‐6, CD10, CD56, CD30, CD34 e citoqueratinas (fig. 3). O diagnóstico de linfoma intravascular de grandes células B (IVLBCL) foi estabelecido. A paciente iniciou o regime de quimioterapia R‐CHOP (rituximabe, ciclofosfamida, doxorrubicina, vincristina e prednisona). Redução acentuada nas telangiectasias cutâneas – estimada em aproximadamente 60% – foi observada após o primeiro ciclo. Metotrexato intratecal também foi administrado em virtude da presença de células mononucleares patológicas em quantidade moderada no líquido cefalorraquidiano, que posteriormente foram eliminadas. A paciente permanece em seguimento multidisciplinar pela hematologia e dermatologia, apresentando resposta clínica favorável após seis ciclos de R‐CHOP, com apenas telangiectasias residuais esparsas observadas no tórax.
O linfoma intravascular é tipo raro de linfoma não Hodgkin extranodal (< 1% dos linfomas cutâneos), caracterizado pela proliferação de linfócitos neoplásicos no lúmen de pequenos vasos, descrito em 1959 como “endoteliomatose e reticuloendoteliose”.2 A incidência de 0,09 por 1 milhão de habitantes foi relatada nos EUA entre 2000 e 2013.3 A idade média de apresentação é de 70 anos, sem diferenças entre os sexos;2,3 85% se originam de células B (IVLBCL) e 15% de células NK ou T.4 Duas variantes clínicas são descritas: a variante “asiática”, associada ao envolvimento de múltiplos órgãos e hemofagocitose, e a variante “ocidental”, associada a lesões de pele e envolvimento do sistema nervoso central (SNC).5,6 A apresentação clínica é variável, incluindo a presença de sintomas B (55%–85%) sem linfadenopatia associada, sintomas neurológicos (39%–76%) e lesões de pele (17%–39%) com placas e nódulos endurecidos eritematovioláceos que simulam paniculite, associados a edema. Sua apresentação como telangiectasias do tipo dendrítico é muito rara, com apenas 24 casos relatados.1–6
Em decorrência de seus sintomas variáveis e inespecíficos, o diagnóstico tende a ser tardio, levando a prognóstico ruim, com sobrevida mediana de 46,1% em cinco anos.3 Em casos de tratamento oportuno com R‐CHOP, a taxa de sobrevida é de 66% em 24 meses, tornando‐se uma doença potencialmente curável com quimioterapia.3,5 Se houver envolvimento do SNC, metotrexato ou citarabina são recomendados.5 Em certos casos, o transplante autólogo de células‐tronco deve ser considerado.2,5
Suporte financeiroNenhum.
Contribuição dos autoresCatalina Aitken: Concepção e planejamento do estudo; elaboração e redação do manuscrito ou revisão crítica de conteúdo intelectual relevante; revisão crítica da literatura; aprovação da versão final do manuscrito.
Alfonso Lépez: Concepção e planejamento do estudo; elaboração e redação do manuscrito ou revisão crítica de conteúdo intelectual relevante; revisão crítica da literatura; aprovação da versão final do manuscrito.
Esteban Araos‐Baeriswyl: Concepção e planejamento do estudo; elaboração e redação do manuscrito ou revisão crítica de conteúdo intelectual relevante; revisão crítica da literatura; aprovação da versão final do manuscrito.
Mauricio Lechuga: Concepção e planejamento do estudo; participação efetiva na orientação da pesquisa; participação intelectual em conduta propedêutica e/ou terapêutica de casos estudados.
Claudio Pinto: Participação efetiva na orientação da pesquisa; participação intelectual em conduta propedêutica e/ou terapêutica de casos estudados.
Isabel Henríquez: Participação efetiva na orientação da pesquisa; participação intelectual em conduta propedêutica e/ou terapêutica de casos estudados.
Disponibilidade de dados da pesquisaNão aplicável.
Conflito de interessesNenhum.
EditorSílvio Alencar Marques
Como citar este artigo: Aitken C, Lépez A, Araos‐Baeriswyl E, Lechuga M, Pinto C, Henríquez I. Intravascular large B‐cell lymphoma: presentation with generalized dendritic‐type telangiectasias. A diagnostic challenge. A diagnostic challenge. An Bras Dermatol. 2025;100:501221.
Trabalho realizado no Hospital Dr. Sótero del Río, Puente Alto, Santiago, Chile.




