O lúpus eritematoso sistêmico (LES) desencadeado por medicamentos é efeito adverso grave, frequentemente identificado incorretamente dentro da gama das doenças de eritema multiforme (EM), apresentando desafios diagnósticos significantes.
Paciente do sexo masculino, de 46 anos, foi encaminhado em virtude de erupção cutânea eritematosa, em forma de alvo e coalescente, de início agudo nas últimas 48 horas. O histórico do paciente incluía pressão arterial elevada e transtorno psiquiátrico borderline, em tratamento com hidroclorotiazida e oxcarbazepina por mais de dois anos. Recentemente, paracetamol e metamizol foram adicionados em decorrência de infecção pelo vírus Epstein‐Barr (VEB), havia um mês. Ao exame físico, lesões eritêmato‐violáceas e em alvo confluentes acometiam a face com distribuição em “asa de borboleta”, bem como a mucosa oral, pescoço e tronco superior. Denudação foi observada de maneira intermitente (figs. 1–2). Dor e rigidez articulares também estavam presentes.
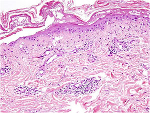
A histopatologia de pele revelou degeneração vacuolar da camada basal, queratinócitos necróticos e infiltrado inflamatório linfocítico e polimorfonuclear superficial e perivascular (fig. 3). Concomitantemente, a imunofluorescência direta (IFD) demonstrou depósitos granulares de IgM e C3 na junção dermoepidérmica. Outros marcadores de IFD (IgG, IgA e fibrinogênio) mostraram resultados negativos.
Os exames de sangue mostraram trombocitopenia (110 × 109/L), linfopenia (0,5 × 109/L), anticorpos nucleares (ANA) positivos em título de 1:40 com padrão homogêneo e baixos níveis de C3 (70). Não havia proteinúria.
A oxcarbazepina e o metamizol foram suspensos, e o tratamento com metilprednisolona intravenosa (60mg/dia) em regime decrescente foi iniciado, com resolução completa das lesões cutâneas e dos parâmetros hematológicos e imunológicos. Posteriormente, foi realizado um teste de transformação linfocitária (TTL) com oxcarbazepina (0,2 – 2 – 20μg/mL) e metamizol (fig. 4). O teste demonstrou proliferação principalmente de células CD3 e CD4, com alguma proliferação de células CD19 e CD56, com oxcarbazepina. Não foi observada resposta proliferativa com metamizol.
Teste de transformação linfocitária (TTL) controlada com oxcarbazepina (0,2 – 2 – 20μg/mL). O teste demonstra proliferação principalmente de células T CD3 e CD4 específicas para o fármaco, com alguma proliferação de células CD19 e CD56, com oxcarbazepina. A proliferação de células CD56 sugere reação citotóxica.
LES induzido por oxcarbazepina foi, portanto, diagnosticado.
A rara coexistência de lesões do espectro EM‐Síndrome de Stevens‐Johnson (SSJ)‐ Necrólise Epidérmica Tóxica (NET) e LES representa desafio diagnóstico ao se discutir um paciente com histórico de doença infecciosa (VEB) e tratamento farmacológico (oxcarbazepina).
Inicialmente, a morfologia das lesões do EM e do LES poderia ser reminiscente da síndrome de Rowell (SR), mas Torchia et al., que atualizaram os critérios da SR em 2012, defenderam definição mais rigorosa, restringindo seu uso na presença de gatilhos infecciosos ou farmacológicos.1
Embora a titulação de anticorpos anti‐histona não tenha sido realizada, a normalização dos valores do complemento, leucócitos e títulos de ANA após a suspensão do fármaco corrobora o diagnóstico de lúpus induzido por fármacos.2 A diferenciação entre NET‐SSJ clássico e lúpus com lesões semelhantes a NET‐SSJ depende da história clínica (latência da exposição ao fármaco suspeito), critérios soroimunológicos (ANA+) e distribuição das lesões (fotodistribuição no LES, predominância do tronco em NET‐SSJ).2,3 Os critérios anatomopatológicos podem fornecer informações adicionais, embora os achados nessas entidades frequentemente se sobreponham.1,3
Portanto, a evolução clínica desse paciente sugere LES induzido por oxcarbazepina com lesões semelhantes a SSJ‐NET, provavelmente precipitadas por infecção prévia por VEB.
Embora a infecção por VEB já tenha se resolvido, ele é um conhecido disruptor da imunidade, que pode levar ao desenvolvimento de certas neoplasias, doenças autoimunes e toxicodermias.4
A própria oxcarbazepina tem sido associada a diversas condições, incluindo LES, EM, SSJ e NET. Neste paciente, a reatividade in vitro dos linfócitos T citotóxicos (LTC) à oxcarbazepina sugere que ela seja um fator causal.2,5
Uma ampla variedade de medicamentos tem sido associada ao LES induzido por drogas (LID). Procainamida, hidralazina e quinidina tipicamente produzem LID clássico, que está mais fortemente associado à produção de anticorpos anti‐histona.6
Entretanto, outros grupos farmacológicos foram associados ao LID, com menor taxa de positividade anti‐histona, como anticonvulsivantes, minociclina, propiltiouracil e estatinas.3,6,7
Em conclusão, embora a classificação de pacientes com SSJ‐NET e sintomas de LES possa ser desafiador, seu manejo é semelhante e envolve a retirada do medicamento desencadeante, o fornecimento de cuidados de suporte e o uso de corticosteroides ou imunossupressores em casos refratários.
Suporte financeiroNenhum.
Contribuição dos autoresEduardo López Vera: Contribuiu para a conceituação do relato de caso e revisão; obtenção e análise dos dados clínicos; revisão da literatura; e elaboração e redação do manuscrito. Desempenhou papel central na coordenação do desenvolvimento do artigo e na garantia de sua conclusão.
Elisabeth Gómez Moyano: Supervisionou todos os aspectos do estudo, incluindo a conceituação e o desenho do estudo. Realizou revisões críticas ao manuscrito, garantindo sua precisão científica e alinhamento com as diretrizes clínicas. Ofereceu orientação durante a interpretação dos achados clínicos e a síntese da literatura. Aprovou a versão final do manuscrito para submissão.
María Ayala Blanca: Contribuiu para a revisão da literatura, identificando referências relevantes e incorporando os principais achados na seção de discussão. Realizou revisões e feedback sobre os aspectos clínicos do manuscrito, particularmente relacionados à discussão dos achados anatomopatológicos.
María Salas Cassinello: Contribuiu para a revisão da literatura, identificando referências relevantes e incorporando os principais achados na seção de discussão. Forneceu revisões e feedback especificamente sobre os achados laboratoriais do caso clínico.
Conflito de interessesNenhum.





