Pacientes com hanseníase multibacilar ou borderline podem apresentar dois tipos de reações vasculonecróticas: fenômeno de Lúcio e eritema nodoso necrótico hansênico (nENH). Estas são doenças graves, que geralmente levam a complicações infecciosas e trombóticas com risco de morte. O presente relato descreve um paciente com recidiva da hanseníase associada a uma reação atípica tipo II com histopatologia mostrando características de fenômeno de Lúcio.
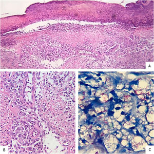
Homem de 32 anos com histórico de hanseníase virchowiana tratada há 10 anos e baciloscopia negativa na alta referiu o surgimento de pápulas eritematosas nos membros superiores. Fez uso de prednisona 40 mg/dia por conta própria por cinco meses e, ao suspendê‐la, surgiram pústulas, vesículas, crostas dolorosas e bolhas de conteúdo purulento nos pés (figs. 1 e 2), febre e mal‐estar geral. Os testes rápidos para HIV, sífilis e hepatites B e C foram negativos. O paciente apresentava infiltração dos pavilhões auriculares e edema de extremidades. A baciloscopia dos pavilhões auriculares apresentou índice baciloscópico de 3,0 (bacilos fragmentados e granulosos). A histologia evidenciou ulceração da epiderme. Na derme, havia denso infiltrado inflamatório constituído de macrófagos espumosos, linfócitos e elevado número de neutrófilos acometendo vasos superficiais e profundos, anexos e filete neural (fig. 3 A e 3B). Os vasos da derme profunda apresentavam neutrófilos com leucocitoclasia ao redor e permeando suas paredes. Coloração pelo método de Wade demonstrou bacilos íntegros e fragmentados formando globias. Alguns bacilos estavam presentes nas células endoteliais (fig. 3C). O exame molecular pela técnica de PCR não evidenciou resistência medicamentosa de Mycobacterium leprae à dapsona, rifampicina e ofloxacina. O paciente foi submetido a um novo esquema de poliquimioterapia multibacilar (PQT‐MB), prednisona 80 mg/dia e antibioticoterapia sistêmica, com significativa melhora clínica após três semanas.
(A), Observa‐se necrose da epiderme e denso infiltrado inflamatório na derme (Hematoxilina & eosina, 10×). (B), Infiltrado neutrofílico na parede e ao redor de vasos (Hematoxilina & eosina, 40×). (C), Macrófagos vacuolizados contendo grande quantidade de bacilos íntegros e fragmentados (Wade, 40×).
A hanseníase é doença infecciosa granulomatosa crônica com manifestações polimórficas causadas por M. leprae.1 As lesões vasculonecróticas na hanseníase incluem o fenômeno de Lúcio (FL) e o eritema nodoso hansênico necrotizante (ENHn).1 Esses dois quadros reacionais podem ocorrer em pacientes com hanseníase virchowiana ou borderline virchowiana,2 embora o FL tenha sido originalmente descrito em pacientes com hanseníase virchowiana primitiva pura.3 No ENHn, as lesões necróticas surgem sobre os nódulos, habitualmente após o início do tratamento,4 embora possam ocorrer antes e após a alta. No FL, as lesões se desenvolvem sobre áreas de pele infiltrada e evoluem para formação de cicatrizes estrelares.4 Em ambas as condições existe risco de infecção bacteriana secundária e sepse, com desfecho fatal.4 Embora o ENHn e o FL sejam resultantes de fenômenos imunomediados,4 no FL a ação dos bacilos diretamente no endotélio parece ser muito importante na fisiopatogenia.5 Ambos respondem favoralmente aos corticosteroides e à PQT‐MB. A talidomida é o tratamento de escolha para ENH,4 e pode ser associada aos corticosteroides. No caso relatado, as alterações clínicas favoreciam a hipótese de ENHn, mas o achado histológico de bacilos nas células endoteliais da parede dos vasos é consistente com FL. Como o diagnóstico de hanseníase, no contexto da saúde pública, é realizado essencialmente com base em achados clínicos, verifica‐se a necessidade de que exames complementares, dentre eles a histopatologia, estejam disponíveis na rede hierarquizada de saúde para que quadros semelhantes ao demonstrado sejam precocemente reconhecidos e adequadamente tratados, evitando complicações graves ao paciente.
Suporte financeiroNenhum.
Contribuição dos autoresLarissa Daniele Machado Góes: Aprovação da versão final do manuscrito; concepção e planejamento do estudo; elaboração e redação do manuscrito; obtenção, análise e interpretação dos dados; participação efetiva na orientação da pesquisa; participação intelectual em conduta propedêutica e/ou terapêutica de casos estudados; revisão crítica da literatura; revisão crítica do manuscrito.
Patrícia Motta de Morais: Aprovação da versão final do manuscrito; concepção e planejamento do estudo; elaboração e redação do manuscrito; obtenção, análise e interpretação dos dados; participação efetiva na orientação da pesquisa; participação intelectual em conduta propedêutica e/ou terapêutica de casos estudados; revisão crítica da literatura; revisão crítica do manuscrito.
Paula Frassinetti Bessa Rebello: Aprovação da versão final do manuscrito; concepção e planejamento do estudo; elaboração e redação do manuscrito; obtenção, análise e interpretação dos dados; participação efetiva na orientação da pesquisa; participação intelectual em conduta propedêutica e/ou terapêutica de casos estudados; revisão crítica da literatura; revisão crítica do manuscrito.
Antônio Pedro Mendes Schettini: Aprovação da versão final do manuscrito; concepção e planejamento do estudo; elaboração e redação do manuscrito; obtenção, análise e interpretação dos dados; participação efetiva na orientação da pesquisa; participação intelectual em conduta propedêutica e/ou terapêutica de casos estudados; revisão crítica da literatura; revisão crítica do manuscrito.
Conflito de interessesNenhum.
Como citar este artigo: Goés LDM, Morais PM, Rebello PFB, Schettini APM. Necrotic erythema nodosum reaction associated with histological alterations of Lucio's phenomenon. An Bras Dermatol. 2022;97:231–5.
Trabalho realizado na Fundação de Dermatologia Tropical e Venereologia Alfredo da Matta, Manaus, AM, Brasil.




