A correta identificação das lesões nodulares pigmentadas do couro cabeludo muitas vezes representa um verdadeiro desafio. Embora os padrões clínicos sejam relevantes e a dermatoscopia seja uma importante ferramenta auxiliar, por vezes sua interpretação é difícil e não conclusiva. Este trabalho discute um caso de sebaceoma que simula uma neoplasia maligna pigmentada com histopatologia conclusiva.
O diagnóstico das lesões nodulares pigmentadas do couro cabeludo pode representar um desafio. A clínica e a dermatoscopia são importantes na suspeição de lesões melanocíticas malignas, mas a histopatologia mantém seu papel fundamental na conclusão diagnóstica, uma vez que lesões de outra natureza podem simulá‐las.
Relato do casoPaciente do sexo feminino, 80 anos, fototipo II de Fitzpatrick, com antecedente de câncer de endométrio, desenvolveu lesão assintomática nodular e enegrecida com base eritematosa e crosta central no vértice do couro cabeludo (fig. 1). À dermatoscopia, observa‐se área eritematoamarelada, glóbulos amarelados, crosta hemática, área vermelho‐leitosa e vasos polimorfos, que sugere ceratose seborreica, tumor de anexo ou nevo melanocítico traumatizado (fig. 2). A presença de véu azul‐esbranquiçado, área branca brilhante, aberturas foliculares assimétricas e estruturas romboidais não possibilitou exclusão da possibilidade de melanoma cutâneo (fig. 2). Foi feita biópsia excisional e o exame histopatológico evidenciou proliferação constituída por grandes massas de células basaloides e células sebáceas, dispostas de forma circunscrita, com a conclusão diagnóstica de sebaceoma.
DiscussãoO sebaceoma já foi chamado de sebomatrixoma ou epitelioma sebáceo, e o termo epitelioma sugere malignidade. Classificado por Troy e Ackerman em 1984 como neoplasia benigna com diferenciação sebácea, acomete mais frequentemente mulheres, com predomínio na oitava década de vida.1
Clinicamente, manifesta‐se como tumoração exofítica hemisférica amarelada ou alaranjada, solitária ou raramente múltipla, localizada nas áreas seborreicas do corpo, sobretudo no couro cabeludo.1,2
A dermatoscopia do sebaceoma pode apresentar área amorfa eritematoamarelada com ou sem ulcerações, vasos arboriformes que se ramificam de forma centrípeta. A área amorfa eritematoamarelada pode ser um achado importante que sugere a natureza sebácea da lesão.3,4
Diversos tumores benignos de anexos apresentam‐se como lesão única inespecífica e, por isso, necessitam do exame histopatológico para o diagnóstico definitivo. Há tumores para os quais não se suspeita de malignidade, por se situarem mais profundamente na derme, podendo assemelhar‐se a cistos. Por outro lado, os tumores benignos conectam‐se à epiderme ou a rechaçam, facilitam as ulcerações traumáticas e, com isso, simulam malignidade.5,6
Tumores benignos e malignos são identificados pelo tipo de diferenciação que exibem, remanescentes de suas células de origem, embora nos tumores malignos não exista a riqueza de achados que as variantes benignas mostram. Em relação aos tumores sebáceos, os sinais de diferenciação são células sebáceas e ductos sebáceos (fig. 3).5
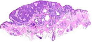
Sebaceoma. Neoplasia epitelial assimétrica disposta em “v”, cujo vértice aponta para a profundidade. Há área de acantose à esquerda e predomínio de massas dérmicas à direita, que conferem assimetria intrínseca ao conjunto, característica pouco usual para esse tipo de proliferação. As massas têm formas e tamanhos regulares, predominantemente arredondadas ou ovais, e estão imersas em estroma colagenizado. Nesse aumento panorâmico já são percebidos grupamentos de células epiteliais de citoplasma pálido que permeiam as massas, representativas de sebócitos maduros (hematoxilina & eosina, 20×).
A glândula sebácea é composta por vários lóbulos que desembocam em um ducto conectado ao folículo piloso. Há uma única fileira de células indiferenciadas na periferia e células com graus crescentes de diferenciação por síntese de gordura até constituírem o sebócito com o núcleo chanfrado pelas várias depressões causadas pelos grandes vacúolos gordurosos. Na proximidade do ducto, as células sebáceas perdem o núcleo e é eliminada a secreção sebácea dita, por isso, holócrina.
Os sebaceomas são constituídos por maciços celulares localizados na derme, conectados ou não à epiderme, com arquitetura histológica que sugere benignidade: contornos arredondados, maior eixo vertical e simetria, diferente dos carcinomas sebáceos, apesar da eventual presença de mitoses (fig. 3). São compostos por células indiferenciadas e por células com diferentes graus de diferenciação sebácea. A ausência de paliçada periférica e de fendas entre os agregados e o estroma possibilita distingui‐los dos carcinomas basocelulares com diferenciação sebácea.5,6
O que diferencia o adenoma sebáceo do sebaceoma é o arranjo celular e a proporção entre as células indiferenciadas, mais numerosas nos sebaceomas. No adenoma sebáceo, a disposição dessas últimas na periferia dos agregados e as com algum grau de diferenciação na porção central remetem à glândula sebácea normal, o que facilita sua identificação. Diferentemente da glândula normal, são várias as camadas de células indiferenciadas periféricas. A proliferação substitui a epiderme e secreta para a superfície, em vez de drenar para o canal folicular através do ducto sebáceo, por onde o sebo da glândula normal atinge a superfície.
No sebaceoma, com os dois tipos de células dispostos de maneira desordenada, é necessária a busca dos sebócitos – e eles podem ser esparsos – com diferenciação mais avançada. Em contrapartida, os ductos sebáceos, ausentes nos adenomas, estão presentes nos sebaceomas e servem como pista para a busca ativa do sebócito.
Mesmo que o adenoma sebáceo tenha as características arquiteturais e citológicas mais próximas da glândula normal, ele foi considerado por alguns autores como um segundo tipo de carcinoma sebáceo, pela presença de empilhamento celular e figuras de mitose nas células periféricas indiferenciadas.6,7
Na distinção entre as neoplasias benignas e malignas, o grau de diferenciação celular é considerado critério muito importante; as malignas são menos diferenciadas, já que a divisão celular é maior nas células indiferenciadas. Diferenciação avançada e malignidade são conceitos opostos. Nos tumores sebáceos, os sinais de diferenciação são as células sebáceas e os ductos sebáceos (fig. 4).6
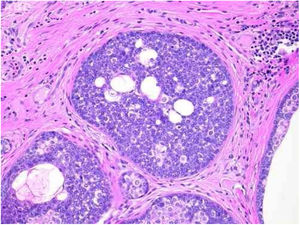
Sebaceoma. Detalhe de massas epiteliais dispostas em meio à derme. Nota‐se predomínio de células de núcleos redondos vesiculosos e de citoplasma escasso (sebócitos imaturos), permeadas, em menor número, por células de citoplasma pálido que contêm múltiplos vacúolos lipídicos, algumas com núcleos chanfrados (sebócitos maduros), dispostas aleatoriamente e associadas a esboço de ductos. Ausência de paliçada na periferia das massas (hematoxilina & eosina, 200×).
É possível supor que a secreção dos adenomas sebáceos, livremente eliminada na superfície, não sofra o efeito de uma compressão retrógrada, como deve ocorrer com o passar do sebo por um ducto estreito na glândula normal. É uma especulação julgar que a secreção retida até sua eliminação seja fator que iniba a divisão celular e sua ausência nos adenomas sebáceos favoreça a proliferação celular. É bom lembrar que, nos bulbos pilosos de folículos anagênicos que produzem uma haste de pelo continuamente a um ritmo razoável, também ocorre empilhamento celular e mitoses.
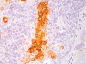
A imuno‐histoquímica evidencia no sebaceoma positividade multifocal das células neoplásicas nas reações com os anticorpos anti‐CK7 e anti‐EMA e negatividade nas reações com os anticorpos anti‐CK20 e anti‐BerEp4 (fig. 5).
A presença de neoplasias com diferenciação sebácea ou de múltiplos ceratoacantomas pode ser reveladora da síndrome de Muir Torre, constituída por adenocarcinomas viscerais localizados principalmente no trato gastrintestinal, genitourinário, endométrio e laringe. Acomete predominantemente homens na quinta década de vida. O rastreio clínico é obrigatório, como no caso da paciente em questão.8,9
Considerações finaisO diagnóstico das lesões nodulares pigmentadas do couro cabeludo é desafiador. A dermatoscopia é uma excelente ferramenta para a definição desses casos, pois apresenta padrões bem estabelecidos para o diagnóstico das lesões tumorais, pigmentadas ou não. Entretanto, não substitui o exame histopatológico, que foi fundamental para a caracterização da natureza sebácea dessa neoplasia.
Suporte financeiroNenhum.
Contribuição dos autoresBárbara Catojo Poggi: elaboração e redação do manuscrito; obtenção, análise e interpretação dos dados.
Daniel Fernandes Melo: aprovação da versão final do manuscrito; concepção e planejamento do estudo; elaboração e redação do manuscrito; participação intelectual em conduta propedêutica e/ou terapêutica de casos estudados; revisão crítica do manuscrito.
Juliana Marques da Costa: aprovação da versão final do manuscrito; elaboração e redação do manuscrito; participação intelectual em conduta propedêutica e/ou terapêutica de casos estudados; revisão crítica do manuscrito.
Maria Auxiliadora Jeunon Sousa: aprovação da versão final do manuscrito; elaboração e redação do manuscrito; participação efetiva na orientação da pesquisa; participação intelectual em conduta propedêutica e/ou terapêutica de casos estudados; revisão crítica da literatura; revisão crítica do manuscrito.
Conflito de interessesNenhum.
À contribuição de grande valor da Dra. Thais Roberta Ura Garcia e do Dr. Thiago Jeunon de Sousa Vargas, cujas participações foram fundamentais para a conclusão do artigo.






