O carcinoma de células de Merkel (CCM) é carcinoma neuroendócrino raro, de origem ainda discutida.1 É neoplasia altamente agressiva, com predileção por áreas fotoexpostas, principalmente cabeça e pescoço, afetando mais comumente pacientes idosos e sem predileção por sexo.2
Dentro de sua raridade, a associação com outras neoplasias de pele é possível; a mais comumente descrita é a associação com o carcinoma espinocelular (CEC).3,4
Paciente do sexo feminino, de 78 anos, referiu surgimento de lesão no membro superior direito há cerca de quatro meses, com crescimento progressivo. Negou outras lesões neoplásicas prévias.
Ao exame físico, a lesão apresentava base eritematosa, discretamente infiltrativa, com crosta hemática e superfície ceratósica, além de vasos atípicos à dermatoscopia.
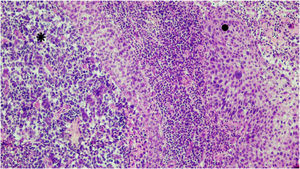
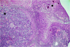
Foi feita biopsia excisional da lesão, com as seguintes hipóteses diagnósticas: carcinoma basocelular, melanoma amelanótico ou CCM. O resultado do anatomopatológico e da imuno‐histoquímica foi de CCM associado a CEC moderadamente diferenciado e invasivo, com margens cirúrgicas livres de acometimento (figs. 1 e 2). O estudo imuno‐histoquímico mostrou, no CCM, positividade para marcadores neuroendócrinos como sinaptofisina (MRQ‐40) e cromogranina (LK2H10), citoqueratina 20 (clone SP33) positivo padrão “dot” ‐ esses marcadores foram negativos no CEC, TTF1 (clone 8G7G3/1) negativo e citoqueratina 5/6 (D5/16B4) e p63 (clone 4A4) positivos no CEC (fig. 3). Ao exame físico, a paciente não apresentava sinais de linfonodomegalias; foi encaminhada para a oncologia para estadiamento clínico e tratamento. O status do tumor em relação ao poliomavírus não foi testado ou relatado.
O CCM, ou carcinoma neuroendócrino primário da pele, é neoplasia maligna rara e agressiva. Foi relatado pela primeira vez por Toker em 1972 como “carcinoma trabecular”.5 Em 2008, foi descoberto o poliomavírus associado ao CCM, denominado poliomavírus de células de Merkel (MCPyV).6 Clinicamente, sua apresentação costuma ser de placa ou nódulo assintomático, de coloração rósea ou vermelho‐azulada, por vezes ulcerada, e de rápido crescimento. Histopatologicamente, apresenta‐se como nódulo dérmico, mal definido, que pode infiltrar tecido gorduroso, fáscia e músculo. É caracterizado por proliferação monótona de células pequenas, redondas a ovais e com núcleos basofílicos, e cromatina nuclear dispersa.1,3,7 No estudo imuno‐histoquímico, expressa marcadores neuroendócrinos, incluindo cromogranina, sinaptofisina, enolase específica de neurônios e CD56.8,9 Outro marcador expresso ‐ e o mais específico, com sua marcação em “dot” – é o CK20.1 A coloração para TTF1 costuma ser negativa.4
O CCM, ocasionalmente, pode estar associado a outras neoplasias de pele. A associação mais comum, apesar de rara, é entre o CCM e o carcinoma de células escamosas, in situ ou invasivo. A raridade da lesão tem impedido sua correta quantificação ‐ a maior parte dos dados publicados é proveniente de relatos de casos.3 Estudo recente envolvendo diversas instituições analisou 136 CCM e encontrou frequência de 10% de associação de CCM com CEC in situ ou invasivo, comparando com outras duas séries da literatura: uma em que essa porcentagem foi de 10,34% e a outra de 6,25%. Esses estudos descrevem todas as associações entre o CCM e o CEC, que incluem: 1) CCM intraepidérmico dentro de um CEC in situ; 2) CCM com CEC in situ; e 3) CCM associado a CEC in situ e invasivo. Além disso, outros estudos relatam “tumores mistos” e diferenciações divergentes no CCM ‐ presença de diferenciação escamosa.1
A presença do poliomavírus tem sido amplamente estudada em CCM. Um estudo publicado em 2009, que estudou a presença do poliomavírus no CCM por diversas técnicas, evidenciou que a pesquisa por estudo imuno‐histoquímico por meio do anticorpo monoclonal CM2B4 tem se mostrado válida, uma vez que todos os tumores imunorreativos para CM2B4 se mostraram positivos no estudo por reação em cadeia da polimerase (PCR). Ainda nesse estudo, foram avaliados sete CCM associados ao CEC e todos foram positivos para CK20, porém negativos para CM2B4 (tanto no componente neuroendócrino quanto no escamoso).10 Associado ao fato de ambas as neoplasias compartilharem fatores de risco em comum, como a exposição solar, fototipo baixo e idade avançada, pode‐se sugerir que os CCM associados ao CEC possam se desenvolver por via independente do poliomavírus.
Relata‐se um caso de CCM associado a CEC invasivo. Apesar de sua raridade, tal associação, já relatada em literatura, levanta aspectos acerca de sua histogênese, ainda alvo de estudos e discussões.
Suporte financeiroNenhum.
Contribuição dos autoresMariana Abdo de Almeida: Aprovação da versão final do manuscrito; concepção e planejamento do estudo; elaboração e redação do manuscrito; obtenção, análise e interpretação dos dados; participação efetiva na orientação da pesquisa; participação intelectual em conduta propedêutica e/ou terapêutica de casos estudados; revisão crítica da literatura; revisão crítica do manuscrito.
Neusa Yuriko Sakai Valente: Aprovação da versão final do manuscrito; concepção e planejamento do estudo; elaboração e redação do manuscrito; obtenção, análise e interpretação dos dados; participação efetiva na orientação da pesquisa; participação intelectual em conduta propedêutica e/ou terapêutica de casos estudados; revisão crítica da literatura; revisão crítica do manuscrito.
Mariangela Cristina Crispino Barata: Aprovação da versão final do manuscrito; concepção e planejamento do estudo; elaboração e redação do manuscrito; obtenção, análise e interpretação dos dados; participação efetiva na orientação da pesquisa; participação intelectual em conduta propedêutica e/ou terapêutica de casos estudados; revisão crítica da literatura; revisão crítica do manuscrito.
Emílio Martins Curcelli: Aprovação da versão final do manuscrito; elaboração e redação do manuscrito; obtenção, análise e interpretação dos dados; participação intelectual em conduta propedêutica e/ou terapêutica de casos estudados; revisão crítica do manuscrito.
Bruna Nascimento Arruda Scabello: Aprovação da versão final do manuscrito; elaboração e redação do manuscrito; obtenção, análise e interpretação dos dados; participação intelectual em conduta propedêutica e/ou terapêutica de casos estudados; revisão crítica do manuscrito.
Conflito de interessesNenhum.




