Mulher indígena, 67 anos, residente em aldeia ao norte do Espírito Santo, Brasil, previamente hipertensa e tabagista, referia surgimento de lesão eritematosa na coxa esquerda há mais de 10 anos, com crescimento radial e prurido discreto. Ao exame, apresentava placa eritematoacastanhada infiltrada, hiperceratótica, na lateral proximal da coxa esquerda, área não fotoexposta (fig. 1A). Não havia indícios de elastose solar na pele ao redor da lesão. Não foi identificada linfonodomegalia inguinal. À dermatoscopia, foram evidenciados depósitos de pigmento enegrecido, eritema e vasos lineares centrais, além de vasos glomerulares e estrias periféricas (fig. 1B).
(A) Ao exame, notava‐se placa eritematoacastanhada infiltrada, encimada por área de hiperceratose, na região lateral proximal da coxa esquerda (área coberta). (B) Dermatoscopia evidenciando eritema e vasos lineares na região central, áreas de pigmento enegrecido e vasos glomerulares e pigmento radiado na periferia.
As principais hipóteses diagnósticas foram doença de Bowen, melanoma e PLECT (paracoccidioidomicose, leishmaniose tegumentar, esporotricose, cromomicose, tuberculose cutânea).
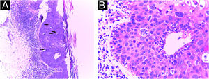
As culturas para fungos e bactérias resultaram negativas. A avaliação histopatológica após biopsia incisional demonstrou hiperceratose compacta, acantose, distúrbios de maturação e de produção de pigmento, sem aumento de melanócitos, além de queratinócitos atípicos e mitoses no terço médio, confirmando doença de Bowen pigmentada (fig. 2).
Histopatológico da biopsia incisional, que sugeriu o diagnóstico de CEC in situ pigmentado. (A) Hiperceratose compacta, acantose e depósito de pigmento, além de queratinócitos atípicos e mitoses no terço médio (Hematoxilina & eosina, 40×). (B) No maior aumento, queratinócitos atípicos e mitoses (Hematoxilina & eosina, 400×).
Inicialmente foi prescrito imiquimode 50mg/g creme, a fim de reduzir a lesão e facilitar a excisão, porém não houve resposta satisfatória. Exérese da lesão com retalho de Limberg foi então realizada, cujo anatomopatológico revelou invasão da derme reticular profunda, caracterizando CEC pigmentado (fig. 3). A imuno‐histoquímica demonstrou positividade dos queratinócitos para antígeno epitelial de membrana (EMA) e proteínas p53 e p63, ratificando o diagnóstico (fig. 4).
Histopatológico da biopsia excisional. (A) Neoplasia cutânea invasiva constituída de células atípicas e pleomórficas de citoplasma eosinofílico a claro e núcleos pleomórficos com abundante queratinização (Hematoxilina & eosina, 100×). (B) Depósito de pigmento (Hematoxilina & eosina, 40×). (C) No maior aumento, atipia dos queratinócitos e depósito de pigmento (Hematoxilina & eosina, 400×).
O carcinoma espinocelular (CEC) representa 20% a 50% das neoplasias cutâneas no Brasil. É mais comum em caucasianos e acima de 60 anos, e tem como principal fator de risco a exposição à radiação ultravioleta.1 Uma de suas variantes é o CEC pigmentado, subtipo raro e pouco descrito.2
Os CECs pigmentados representam entre 0,01% a 7% de todos os CECs, de acordo com a literatura inglesa, embora outros autores tenham identificado prevalência de quase 25% (em virtude da inclusão de tumores com apenas pequenas áreas de pigmentação).2,3
Em 2009 foi publicado o primeiro caso brasileiro desse subtipo, descrevendo lesão nodular exofítica enegrecida na região malar direita, com um ano de evolução, em mulher idosa caucasiana.4 Esta é considerada a manifestação típica do CEC pigmentado: pápula ou placa pigmentada de rápida evolução em área fotoexposta (especialmente cabeça e pescoço), em pacientes idosos.5 Na literatura, há apenas um caso de lesão em área não fotoexposta, como o presente relato, tratando‐se de nódulo acastanhado com ulceração na região lombar direita.5
Não há descrição dermatoscópica específica para o CEC pigmentado. As poucas publicações utilizaram termos característicos de lesões melanocíticas, como estrias, glóbulos e pigmentação azul homogênea, ou de tumores queratinizados, como vasos atípicos e halo esbranquiçado associado ao processo de queratinização.3,6
O diagnóstico diferencial é desafiador e inclui melanoacantoma, melanoma e tumor escamomelanocítico, além de variantes pigmentadas de carcinoma basocelular, doença de Bowen, ceratose actínica e pilomatricoma.5 Por isso, o estudo histopatológico é essencial na confirmação diagnóstica, podendo revelar proliferação de queratinócitos atípicos e mitoses frequentes. O pigmento pode ser visto tanto no citoplasma dos queratinócitos quanto na forma de melanócitos não neoplásicos dispersos e melanófagos no estroma circundante.2
A análise imuno‐histoquímica pode auxiliar na diagnose. As células epitelioides expressam EMA, proteínas p40 e p53 e citoqueratinas de alto e/ou baixo peso molecular. Os melanócitos podem exibir imunorreações positivas para S‐100, tirosinase e HMB‐45.2,4,7 O HMB‐45 é um anticorpo monoclonal de camundongos desenvolvido contra Pmel17/gp100, considerado específico para melanócitos ativados ou neoplásicos, como no melanoma. Nos casos de CEC pigmentado em que há positividade para HMB‐45, acredita‐se que a expressão do marcador seja secundária à estimulação dos melanócitos em resposta aos antígenos liberados pelo tumor.5
Inúmeros são os termos empregados na tentativa de caracterizar tumores compostos por dois ou mais tipos de células neoplásicas. O CEC pigmentado parece fazer parte dos descritos como colonizados. Nesses, um grupo de células tumorais se deposita ao redor e coloniza outra neoplasia preexistente. Esse comportamento pode ser observado nas neoplasias epiteliais benignas ou malignas que são secundariamente povoadas por melanócitos sem atipia, como ceratose actínica pigmentada, melanoacantoma e carcinoma basocelular pigmentado. A dinâmica envolvida na colonização melanocítica dessas massas tumorais ainda não foi elucidada.5,7
O comportamento biológico dessa neoplasia não é claro, em virtude do número limitado de publicações, porém acredita‐se que seu curso seja semelhante ao CEC convencional.5 O presente relato ressalta a importância da inclusão do CEC pigmentado como diagnóstico diferencial das lesões melanocíticas, mesmo em localizações atípicas e em pacientes não caucasianos.
Suporte financeiroNenhum.
Contribuição dos autoresLuana Amaral de Moura: Concepção e planejamento do estudo; elaboração e redação do manuscrito; obtenção, análise e interpretação dos dados; revisão crítica da literatura; revisão crítica do manuscrito.
Lucia Martins Diniz: Concepção e planejamento do estudo; participação efetiva na orientação da pesquisa; participação intelectual em conduta propedêutica e/ou terapêutica do caso estudado; revisão crítica da literatura; revisão crítica do manuscrito; aprovação da versão final do manuscrito.
Emilly Neves Souza: Concepção e planejamento do estudo; elaboração e redação do manuscrito; obtenção, análise e interpretação dos dados; revisão crítica da literatura.
Lucas Amaral de Moura: Concepção e planejamento do estudo; elaboração e redação do manuscrito; obtenção, análise e interpretação dos dados; revisão crítica da literatura.
Conflito de interessesNenhum.
Como citar este artigo: Moura LA, Diniz LM, Souza EM, Moura LA. Pigmented squamous cell carcinoma in a non‐photo‐exposed area of an indigenous woman. An Bras Dermatol. 2024;99:131–4.
Trabalho realizado no Departamento de Dermatologia, Hospital Universitário Cassiano Antônio Moraes, Universidade Federal do Espírito Santo, Vitória, ES, Brasil.





