É apresentado para diagnóstico clínico‐histopatológico paciente de 74 anos que evoluiu havia um ano com lesões queloidianas, pruriginosas, localizadas no membro inferior esquerdo. O exame histopatológico de biópsia da lesão cutânea mostrou estruturas arredondadas na derme reticular. A coloração de Grocott identificou numerosas estruturas fúngicas arredondadas, com paredes duplas e espessas, dispostas individualmente e aos pares. O diagnóstico foi lobomicose. Apesar de as lesões apresentadas pelo pacientes serem típicas de lobomicose, a distribuição linear delas é atípica.
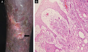
Paciente masculino, 74 anos, procedente de Manaus, Amazonas. Foi examinado em 2005 com placa eritematosa e lesões nodulares “em cordão”, na parte superior da perna e coxa esquerda. O quadro tinha evolução de um ano, com prurido, e vários tratamentos tópicos com pomadas e antibióticos por via oral. Foram feitos exame micológico direto e cultura. O paciente retornou somente em 2017, referia infecções repetidas na perna. Apresentava ulceração, eritema, escamas e endurecimento cutâneo ao redor da úlcera (fig. 1A). Acima dessa área havia lesões nodulares, dispostas “em cordão”, consistência dura, recobertas por pele de coloração acastanhada (fig. 1B). Os exames laboratoriais de rotina estavam normais.
Qual o seu diagnóstico?
- a)
Leishmaniose linfangítica;
- b)
Micobacteriose não tuberculosa;
- c)
Lobomicose;
- d)
Esporotricose.
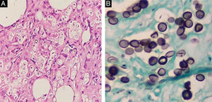
Biópsia cutânea foi efetuada na borda da úlcera (fig. 2A). A análise do fragmento mostrou hiperceratose e acantose da epiderme. Na derme havia fibroplasia no colágeno, proliferação vascular e infiltrado inflamatório difuso constituído por linfócitos, histiócitos e hemossiderófagos e raras células gigantes foram evidenciados (fig. 2B). Estruturas arredondadas estavam presentes na derme (fig. 3A). Na coloração pelo Grocott, foram visualizadas numerosas leveduras arredondadas, com dupla membrana, isoladas ou dispostas em cadeia conectadas por projeções tubulares (fig. 3B).
Diagnóstico: lobomicose.
DiscussãoA lobomicose também conhecida como doença de Jorge Lobo ou lacazioze, foi descrita em 1931; o paciente era procedente da região amazônica, com lesões quelodiformes. A doença é classificada como micose subcutânea, sem relatos de manifestações sistêmicas.1,2 Até o momento não se conseguiu cultivar o agente etiológico da lobomicose. Face à semelhança do agente etiológico da lobomicose com o Paracoccidioides braziliensis, a micose recebeu várias denominações, entre elas blastomicose queloidiana.3 Posteriormente, novos casos foram descritos na região amazônica brasileira e outros países latino americanos,2,4 sempre procedentes de regiões com condições climáticas similares, quentes e úmidas. Em 2008 foram diagnosticados casos na África do Sul.5
Fato importante relacionado a essa micose foi a descoberta, em 1970, de golfinho, na costa da Flórida, com doença clínica e histopatológica similar à lobomicose humana.2,6 Posteriormente, outros golfinhos com a mesma doença foram encontrados na costa atlântica dos Estados Unidos, região costeira de países latino‐americanos, Caribe, litoral do Rio Grande do Sul e Santa Catarina, costa do Pacifico e Oceano Índico.7 Aspecto importante na epidemiologia da micose foi a contaminação de paciente que desenvolveu enfermidade idêntica a DJL ao manusear golfinho infectado, capturado na baía de Biscay, Espanha.8
Clinicamente, na lobomicose predominam as lesões nodulares, queloidiformes e, em placa, esclerodermiformes, isoladas ou confluentes. As ulcerações crônicas são comuns em áreas traumatizadas.2 Diante da possibilidade de degeneração carcinomatosa em ulceras crônicas, sempre é recomendável a histopatologia. Há relatos de carcinoma espinocelular em ulcerações crônicas de lobomicose.9
Outro aspecto clínico que chamou a atenção nesse enfermo foram as lesões em disposição linear ao longo da perna e coxa. Admite‐se que disseminação da enfermidade ocorra por contiguidade e via linfática; porém, aspecto similar ao observado no presente caso não é comum.
Suporte financeiroNenhum.
Contribuição dos autoresFlaviano da Silva Oliveira: Participação intelectual em conduta propedêutica e/ou terapêutica de casos estudados.
Nadya Picanço Lopes: Obtenção, análise e interpretação dos dados; participação intelectual em conduta propedêutica e/ou terapêutica de casos estudados. Aprovação da versão final do manuscrito; concepção e planejamento do estudo; elaboração e redação do manuscrito; obtenção, análise e interpretação dos dados; participação efetiva na orientação da pesquisa; participação intelectual em conduta propedêutica e/ou terapêutica de casos estudados; revisão crítica da literatura; revisão crítica do manuscrito.
Antonio Schettini: Aprovação da versão final do manuscrito; concepção e planejamento do estudo; elaboração e redação do manuscrito; participação intelectual em conduta propedêutica e/ou terapêutica de casos estudados; revisão crítica da literatura; revisão crítica do manuscrito.
Conflitos de interesseNenhum.




