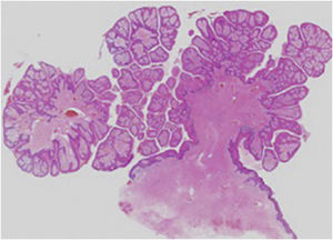
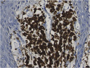
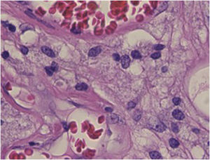
Um homem de 83 anos procurou cuidados médicos com queixa de múltiplos nódulos na bolsa escrotal, que apareceram pela primeira vez 20 anos antes. Eles estavam aumentando de tamanho e recentemente começaram a sangrar facilmente. O exame físico revelou dois nódulos vermelhos exofíticos e pedunculados, medindo 25×25mm e 13×13mm, que se projetavam de ambos os lados da bolsa escrotal (fig. 1). O paciente tinha história de câncer de próstata, cardiomiopatia hipertrófica obstrutiva, insuficiência aórtica, fibrilação atrial crônica, insuficiência renal crônica e tumores submucosos no esôfago. A histopatologia das lesões mostrou tumores exofíticos com acantose e papilomatose (fig. 2). As papilas dérmicas estavam ocupadas por numerosos histiócitos espumosos e hiperplasia de capilares (fig. 3). As células espumosas coraram‐se pelo ácido periódico de Schiff (PAS) e foram imunorreativas com o antígeno CD68 (fig. 4).
- a)
Verruga viral
- b)
Condiloma acuminado
- c)
Xantoma verruciforme
- d)
Xantogranuloma adulto
Considerando os achados histopatológicos, os nódulos foram diagnosticados como xantoma verruciforme (XV). Xantogranuloma foi excluído porque não foram observadas células gigantes do tipo Touton. Ambos os nódulos foram removidos cirurgicamente e mostraram as mesmas características histopatológicas. Nenhuma recorrência foi observada durante o seguimento de um ano.
O XV ocorre principalmente na cavidade oral;1 entretanto, a área genital também é afetada (XV associado à área genital).2 Clinicamente, os XVs têm aparência semelhante ao condiloma acuminado ou à verruga vulgar. O exame histopatológico demonstra hiperplasia verrucosa da epiderme e número variável de células espumosas nas papilas dérmicas. Que seja de conhecimento dos autores, apenas seis casos de múltiplos XVs na área genital foram relatados, incluindo o presente caso (tabela 1).3–7 Esses seis casos consistiram em quatro pacientes do sexo masculino e duas do sexo feminino, com média de idade de 53 anos (variando de 29 a 83 anos). O tamanho das lesões variou de 3 a 25mm. O presente caso apresentava dois nódulos, enquanto numerosos nódulos foram observados em um caso.3 Prurido foi observado em dois casos, enquanto outros eram assintomáticos. Um caso de XV ocorreu no local de enxerto de pele em virtude de fasciíte necrosante.5
Relatos com foco em xantoma verruciforme em vários locais na área genital
| Pacientes | Idade/sexo | Duração da doença | Hipótese clínica | Tamanho (mm) | Localização | Sintomas | Progressão | Gatilho | HPV |
|---|---|---|---|---|---|---|---|---|---|
| 13 | 29F | 17 anos | Condiloma | ND | Vulva | Nenhum | Sem alteração | ND | ND |
| 24 | 42F | 20 anos | ND | 3 a 25 | Vulva | ND | Em crescimento | ND | Negativo |
| 35 | 38M | 2,5 meses | Fasciíte necrotizante | 8×5 | Pênis e períneo | Nenhum | Aumento do tamanho | Enxerto de pele | ND |
| 46 | 63M | 4 anos | Condiloma | 10 a 15 | Bolsa escrotal | Prurido | Em crescimento | ND | ND |
| 57 | 67M | 4 anos | ND | 25 | Bolsa escrotal | ND | Em crescimento | ND | HPV 6a |
| Presente caso | 83M | 20 anos | Condiloma | 13 a 25 | Bolsa escrotal | Prurido | Em crescimento e com sangramento | Fatores externos | Negativo |
ND, não descrito.
Embora a causa do XV seja desconhecida, Zegarelli et al. sugeriram que resulte de alterações degenerativas na epiderme com uma resposta histiocítica inespecífica subsequente.8 O dano ao epitélio poderia desencadear a seguinte sequência: 1) aprisionamento de células epiteliais na derme papilar, 2) degeneração subsequente dessas células e formação de lipídios, 3) fagocitose dos lipídios liberados por macrófagos, e 4) acúmulo de células espumosas entre os cones epidérmicos. Por outro lado, especulou‐se que o papilomavírus humano (HPV) estaria envolvido na patogênese do XV. Khaskhely et al. relataram XV em que o DNA do HPV tipo 6a foi detectado na lesão por reação em cadeia da polimerase (PCR) e análise de sequência.7 Entretanto, outro estudo avaliou os tipos de HPV 6, 11, 16, 18, 31, 33 e 35 por PCR, todos negativos.9 No presente caso, foi realizada amplificação por PCR do HPV incluindo os sorotipos 6, 11, 16, 18, 31, 33, 35, 52b e 58, e todos mostraram resultado negativo. Portanto, mais estudos sobre a etiopatogenia do XV são necessários.
Suporte financeiroNenhum
Contribuição dos autoresNatsuko Matsumura: Obtenção, análise e interpretação dos dados; elaboração e redação do manuscrito; revisão crítica da literatura.
Toshiyuki Yamamoto: Concepção e planejamento do estudo; redação e aprovação final do manuscrito.
Conflito de interessesNenhum.






