Relato de caso de um homem de 40 anos de idade com história pessoal e familiar normal, que se apresentou para avaliação de uma pápula assintomática localizada na região bucinadora direita. A histopatologia revelou uma neoplasia encapsulada na derme, composta por células estreitas, alongadas e onduladas, com citoplasma mal definido, cromatina densa e extremidades afiladas intercaladas com fibras de colágeno. Os achados patológicos foram inteiramente consistentes com tecido de padrão Antoni B. O diagnóstico foi schwannoma infraorbital. O achado incidental de tumores raros como este devem fazer os médicos considerarem um espectro maior de diagnósticos diferenciais para uma pápula unilateral normocrômica na região bucinadora dos pacientes.
Homem de 40 anos de idade, com história pessoal e familiar normal, apresentou‐se para avaliação de uma pápula assintomática localizada na região bucinadora direita, presente desde a infância. O paciente não havia recebido nenhum tratamento. O exame físico revelou uma pápula solitária, circunscrita, firme, normocrômica, medindo de 4 a 6mm (fig. 1A). O exame dermatoscópico (luz polarizada, Dermlite) demonstrou eritema inespecífico, rede pigmentar normal sem obstrução folicular (fig. 1B). Foi realizada biópsia excisional da lesão.
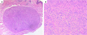
A histopatologia (fig. 2) revelou uma neoplasia encapsulada na derme; no grande aumento obervaram‐se células delgadas, alongadas e onduladas, com citoplasma mal definido, cromatina densa e extremidades afiladas, intercaladas com fibras de colágeno. A imunomarcação com S‐100 (fig. 3 A e B) e proteína ácida fibrilar glial (GFAP) (fig. 3 C e D) foi positiva. Os achados histopatológicos foram consistentes com tecido de padrão Antoni B. O paciente apresentou boa cicatrização do local da biópsia excisional.
- a)
Nevo intradérmico
- b)
Hiperplasia sebácea
- c)
Schwannoma infraorbital
- d)
Tricoepitelioma
O schwannoma, também chamado de neurilemoma, é uma neoplasia ectodérmica benigna originada da bainhas de células de Schwann de nervo periférico, craniano ou autônomo.1 O acometimento ocorre numa proporção de homens:mulheres de 1:1, mas alguns autores consideram que as mulheres são mais frequentemente afetadas.2,3 A maioria dos schwannomas extracranianos está presente na cabeça e no pescoço (25%‐45%).4,5 Eles podem se desenvolver a partir de qualquer um dos 12 nervos cranianos (principalmente do nervo auditivo), exceto os nervos óptico e olfatório (porque não têm células de Schwann em suas bainhas).4 O nervo trigêmeo raramente está associado a schwannomas, especialmente na área do nervo infraorbital.3 O schwannoma se apresenta como uma massa de crescimento lento, sem dor ou déficit neurológico.4 O diagnóstico é feito por análise histopatológica e correlação clínica. Histopatologicamente, as células de Schwann podem ser vistas como células fusiformes em fileiras paralelas, formando um padrão típico em paliçada de corpúsculos de Verocay. A classificação é baseada de acordo com a celularidade: Antoni A (hipocelular) ou Antoni B (hipercelular).6 Não há presença de fibroblastos, mastócitos, neurilema ou células endoneurais.3 Possíveis diagnósticos diferenciais clínicos na região bucinadora incluem nevo intradérmico, cisto dermoide, hiperplasia sebácea, tricoepitelioma e neuroma encapsulado em paliçada (NEP). Na análise histopatológica, o principal diagnóstico diferencial é NEP (contém axônios); na imunomarcação, ambos os tumores são S‐100 positivos; o schwannoma é GFAP positivo e negativo para neurofilamento, enquanto o NEP é o oposto.7 Outros diagnósticos diferenciais histopatológicos são neurofibroma (falta uma cápsula, contém substância fundamental com mucopolissacarídeos e menos axônios com bainhas de mielina), neuroma traumático (células axonais e de Schwann, além de células inflamatórias e cicatriciais) e leiomioma (células musculares fusiformes).7,8 Schwannomas extracranianos têm bom prognóstico com tratamento exclusivamente cirúrgico (abordagem de acordo com o tamanho, extensão e localização anatômica).9 A transformação maligna é extremamente rara quando se apresenta como lesão isolada.10 O achados incidental de tumores raros, como esse schwannoma do nervo infraorbital, devem fazer com que os médicos considerem um espectro maior no diagnóstico diferencial para uma pápula unilateral normocrômica na região bucinadora de pacientes saudáveis de meia‐idade.
Suporte financeiroNenhum.
Contribuições dos autoresIrving Llibrán Reyna‐Rodríguez: Concepção e planejamento do estudo; preparação e redação do manuscrito; coleta, análise e interpretação de dados; revisão crítica da literatura.
Sonia Chavez‐Alvarez: Concepção e planejamento do estudo; revisão crítica da literatura; participação efetiva na orientação da pesquisa; aprovação da versão final do manuscrito.
Jorge Ocampo‐Candiani: Concepção e planejamento do estudo; revisão crítica da literatura; participação efetiva na orientação da pesquisa; aprovação da versão final do manuscrito.
Conflito de interessesNenhum.
Como citar este artigo: Reyna‐Rodríguez IL, Chavez‐Alvarez S, Ocampo‐Candiani J. Case for diagnosis. Infraorbital schwannoma. An Bras Dermatol. 2021;96:358–61.
Trabalho realizado no Departamento de Dermatologia, Faculdade de Medicina, Hospital Universitario Dr. José E. González, Universidad Autónoma de Nuevo Leon, Monterrey, México.




