A eritrodermia como primeira manifestação de neoplasias de órgãos sólidos é rara. O diagnóstico de câncer subjacente é desafiador. Alguns casos de eritrodermia em pacientes com câncer foram relatados na literatura. Os autores descrevem o caso de um homem de 70 anos que apresentou astenia, perda de peso, tosse seca e eritema corporal total com descamação no último mês. Uma tomografia computadorizada de tórax indicou uma lesão nodular, finalmente diagnosticada como carcinoma epidermoide do pulmão. Tanto quanto é do conhecimento dos autores, apenas 13 casos com eritrodermia foram relatados na literatura. Este relato de caso demonstra a necessidade de se investigarem neoplasias em pacientes que apresentam eritrodermia, principalmente na presença de sintomas debilitantes associados.
A eritrodermia é caracterizada por eritema difuso e descamação da pele que comprometem 90% ou mais da área total da superfície corporal. É uma manifestação cutânea de uma variedade de doenças, inclusive tumores sólidos.1 São necessários critérios adequados (postulados de Curth) para estabelecer uma relação entre a lesão maligna subjacente e a alteração cutânea, mas nem todos os critérios precisam estar presentes para caracterizar a associação entre a doença da pele e a neoplasia.2 A síndrome paraneoplásica mais frequentemente associada ao câncer de pulmão é a osteoartropatia hipertrófica, além de manifestações endócrinas e neurológicas.3 Embora a expressão cutânea das neoplasias pulmonares seja relativamente atípica, a paquidermatoglifia (“palmas em tripa”), o eritema gyratum repens, a hipertricose lanuginosa adquirida e a síndrome de Bazex são as dermatoses paraneoplásicas mais comuns.4 Tanto quanto é do conhecimento dos autores, a eritrodermia como primeira manifestação de câncer de pulmão é muito rara; apenas 13 casos foram relatados na literatura. A conscientização da relação entre eritrodermia e neoplasias pulmonares é crucial para diminuir os atrasos no diagnóstico e melhorar os desfechos oncológicos.
Relato do casoUm homem de 70 anos, fumante atual de 2/3 maços por dia, apresentou‐se ao pronto‐socorro com um mês de história de astenia, perda de peso, febre episódica (39°C), tosse seca, instabilidade e eritema pruriginoso generalizado. Ele não relatou histórico de dermatoses ou de medicação recente. O exame físico revelou eritema em toda a superfície corporal com escamas finas (figs. 1 e 2), ceratodermia plantar (fig. 3) e linfadenopatia axilar esquerda. O restante do exame clínico foi normal. O exame de sangue de rotina, inclusive hemograma completo, eletrólitos e função hepática, revelou apenas leucocitose (contagem de células brancas de 15.250μL; valores de referência: 3.500 a 1.000) à custa de neutrófilos (84,7%) e proteína C reativa elevada (9,9mg/dL; valor de referência: <1mg/dL). A avaliação radiográfica não apresentou achados significativos.
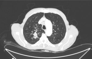
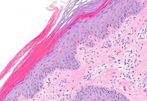
Foram feitas duas biópsias por punção e um novo exame de sangue, inclusive níveis séricos de proteína, sorologias virais, esfregaço de sangue, enzimas musculares, células de Sézary, citometria de fluxo e marcadores imunológicos e tumorais. Os demais achados laboratoriais estavam dentro dos limites normais (inclusive aldolase sérica), exceto CPK (1,309 UI/L; valores de referência: 1 a 175 UI/L) e CK‐MB (27,3 UI/L; valores de referência: 0 a 20 UI/L). Os exames histopatológicos revelaram discretas alterações espongióticas e psoriasiformes com hiperceratos folicular discreta, bem como características histopatológicas inespecíficas (fig. 4). Foi iniciado um tratamento de suporte com ênfase em dieta hiperproteica, controle de temperatura e hidratação, além de administração de esteroides tópicos. Devido à nova perda de peso e à preocupação quanto a uma neoplasia maligna subjacente como causa potencial da eritrodermia, foi feita uma avaliação completa para doença maligna oculta. A tomografia computadorizada de tórax revelou lesão nodular de 22×34mm no lobo superior direito com múltiplas linfadenopatias (fig. 5), a histopatologia era compatível com carcinoma epidermoide. A tomografia computadorizada da cabeça evidenciou duas lesões metastáticas occipitais, foram finalmente classificadas como estágio IV (T2N3M1). Às seis semanas, a erupção cutânea do paciente era similar à da apresentação inicial, porém com menos prurido. O paciente faleceu três meses após o diagnóstico devido à progressão do câncer metastático.
Dermatoses preexistentes, particularmente psoríase e eczema, bem como reação a drogas e linfomas de células T, foram identificadas como etiologias comuns de eritrodermia. Em alguns pacientes, no entanto, a causa é desconhecida. Pacientes com eritrodermia idiopática devem ser acompanhados de perto por períodos prolongados, com múltiplas biópsias, pois uma porcentagem significativa desses casos progredirá para linfoma cutâneo de células T.5,6
A histopatologia frequentemente aponta alterações inespecíficas. Mesmo assim, a maioria dos estudos considera necessária a biópsia, pois em 43% a 66% dos casos foi útil para definir o diagnóstico.6 A eritrodermia é uma emergência dermatológica; temperatura, hidratação, proteínas séricas diminuídas e insuficiência cardíaca precisam ser corrigidas e monitoradas. É importante determinar a etiologia subjacente para estabelecer o tratamento e medicamentos potencialmente implicados devem ser interrompidos.7
A eritrodermia paraneoplásica é mais comumente associada a distúrbios linfoproliferativos, que não a micose fungoide e a síndrome de Sézary. No entanto, também pode ser uma expressão de um câncer sólido, geralmente em um estágio tardio da doença,8 como no presente caso. As síndromes paraneoplásicas podem ser observadas antes, durante ou após o diagnóstico do tumor. Sua fisiopatologia não está bem esclarecida. No entanto, a grande maioria dos achados cutâneos é inflamatória ou proliferativa, pode também ocorrer na ausência de doença maligna.
Como evidenciado em outros casos publicados na literatura, a expressão paraneoplásica normalmente se modifica com a regressão ou progressão do tumor. Apenas 1% das neoplasias internas apresentam expressão cutânea como primeira pista para o diagnóstico.9 No presente caso, não foi possível observar alterações na eritrodermia, uma vez que o câncer de pulmão não pôde ser tratado devido à morte do paciente. Portanto, seguindo os postulados de Curth, é possível relacionar, mas não classificar, definitivamente a eritrodermia como síndrome paraneoplásica.
Dentre todas as dermatoses paraneoplásicas relatadas na literatura, a eritrodermia é uma das menos mencionadas. Além disso, ela não é específica de alguma neoplasia interna, o que dificulta a orientação para uma etiologia clara. A eritrodermia também pode se apresentar como um achado cutâneo associado à dermatomiosite.10 No presente caso, a ausência de achados cutâneos típicos (erupção cutânea tipo heliotrópio nas pálpebras e sinal e/ou pápulas de Gottron) e a diminuição dos níveis de CPK e CK‐MB no acompanhamento levaram os autores a descartar o diagnóstico de dermatomiosite.
Em conclusão, em pacientes com história concomitante de desenvolvimento insidioso, descompensação progressiva e refratária a terapias‐padrão, exames adicionais devem ser feitos. Essa conduta pode resultar na detecção precoce de neoplasias malignas potencialmente tratáveis.
Suporte financeiroNenhum.
Contribuição dos autoresJorge Arandes Marcocci: Aprovação da versão final do manuscrito; concepção e planejamento do estudo; elaboração e redação do manuscrito; obtenção, análise e interpretação dos dados; participação efetiva na orientação da pesquisa; participação intelectual em conduta propedêutica e/ou terapêutica de casos estudados; revisão crítica da literatura; revisão crítica do manuscrito.
Maribel Iglesias‐Sancho: Aprovação da versão final do manuscrito; concepção e planejamento do estudo; elaboração e redação do manuscrito; obtenção, análise e interpretação dos dados; revisão crítica da literatura; revisão crítica do manuscrito.
Núria Setó‐Torrent: Concepção e planejamento do estudo; participação efetiva na orientação da pesquisa; revisão crítica da literatura; revisão crítica do manuscrito.
Núria Setó‐Torrent: Concepção e planejamento do estudo; participação efetiva na orientação da pesquisa; revisão crítica da literatura; revisão crítica do manuscrito.
Conflitos de interesseNenhum.
Como citar este artigo: Arandes‐Marcocci J, Iglesias‐Sancho M, Setó‐Torrent N, Fernández‐Figueras MT. Erythroderma as first manifestation of squamous cell lung cancer: rare case report. An Bras Dermatol. 2020;95:67–70.
Trabalho realizado no Hospital Universitari Sagrat Cor‐Grup Quirón Salut, Barcelona, Espanha.






