Melasma é hipermelanose crônica, adquirida, com maior prevalência em mulheres adultas e de fototipos intermediários (III a V), especialmente em países intertropicais, como os do Oriente Médio, Índia e América Latina.1,2
Na última década, evidenciou‐se aumento da sua prevalência no Brasil.3 Um estudo que avaliou o volume de pesquisas na plataforma Google demonstrou aumento mundial de 54,4% do interesse pelo tema desde o ano 2000, havendo associação com a insolação do país, taxa de uso de contraceptivo oral e de emissão de gás carbônico.4
Receptor de hidrocarboneto arílico (AhR) é proteína citoplasmática que, quando ativada, sofre translocação nuclear e atua como fator de transcrição regulador para a resposta a estímulos ambientais e manutenção da homeostase celular. Expressa‐se em vários tipos de células da pele, incluindo queratinócitos, melanócitos, fibroblastos, ductos sudoríparos e folículo piloso, participando de processos como proliferação celular, diferenciação, apoptose, inflamação e pigmentação.5,6
AhR pode ser ativado por bifenilos policlorados, dioxinas ou outros hidrocarbonetos aromáticos policíclicos (HAP) presentes na poluição ambiental, além de metabólitos endógenos induzidos pela radiação ultravioleta. AhR ativado regula positivamente enzimas envolvidas na depuração de xenobióticos (como CYP1A1, CYP1A2, CYP1B1, UGT1A6). A atividade dessas enzimas resulta na produção de espécies reativas de oxigênio (ERO), que induzem p38, o que aumenta a atividade do MITF (Microphthalmia‐Associated Transcription Factor), regulando a expressão da tirosinase nos melanócitos.5–7
A poluição do ar desempenha papel importante no envelhecimento extrínseco. De maneira sinérgica com a exposição solar e fatores genéticos, pode ser fator de risco para o desencadeamento e a manutenção da pigmentação do melasma, em decorrência da penetração cutânea de HAP e ativação do AhR.8 Como, até o momento, nenhum estudo avaliou o papel do AhR no melasma, conduzimos uma investigação para comparar sua ativação diferencial no melasma e pele sã adjacente.
Após aprovação do Comitê de Ética da Faculdade de Medicina de Botucatu – Unesp (n° 6.590.628), 20 mulheres adultas com melasma facial sem tratamento há mais de 30 dias foram submetidas a duas biopsias de pele (3mm): um da pele com melasma facial e outro da pele clinicamente sã, adjacente, distante até 2cm do limite da lesão.
Após fixação em parafina, os 40 espécimes foram corados para Hematoxilina & eosina e submetidos à imuno‐histoquímica (DAB) para Ki67 (clone MIB1, Dako, M7240, Glostrup, Denmark – 1/50), e para AhR (clone EPR7119(N)(2), ab190797, Abcam, Cambridge ‐ MA – 1/100). Todas as reações de imuno‐histoquímica foram realizadas manualmente, validadas nos tecidos indicados pelas bulas dos anticorpos e titulados até a menor concentração para evitar marcação de fundo (Material Suplementar).
O desfecho principal foi o número de núcleos epidérmicos marcados por campo de 400×, analisados cegamente em relação à topografia (melasma ou pele sã); toda a amostra de epiderme foi avaliada e contabilizada em todos os participantes. Foram ainda avaliadas as marcações das unidades pilossebáceas. A espessura da epiderme viável foi avaliada a partir de três medidas em áreas interfoliculares. A taxa de proliferação epidérmica foi calculada pelo escore HSCORE da marcação nuclear do Ki67. O HSCORE é método semiquantitativo para avaliar a expressão imuno‐histoquímica de proteínas no núcleo celular. Ele pondera a porcentagem de células marcadas e a intensidade da coloração (0 ausente, 1+ fraca, 2+ moderada, 3+ forte).9
As variáveis foram comparadas entre as topografias utilizando modelo linear de efeitos mistos, e a significância definida como p<0,05. O tamanho da amostra foi baseado na expectativa de diferença entre as topografias de mais de 10% das expressões entre as peles amostradas (alfa 0,05 e beta 0,2).
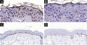
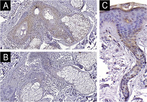
Os dados clínicos e demográficos da amostra estão apresentados na tabela 1, e nenhuma participante era fumante. A marcação imuno‐histoquímica (figs. 1 e 2) revelou maior expressão nuclear do AhR na epiderme do melasma em comparação com a pele sã adjacente (1,3 vs. 1,1 núcleos/campo; p=0,03). Não houve marcação citoplasmática do AhR na epiderme. Nas unidades pilossebáceas houve marcação tanto nuclear quanto citoplasmática (fig. 3), mais frequente no melasma que na pele sã adjacente (70% vs. 30%; p=0,03). Houve marcação nos ductos das glândulas sudoríparas écrinas em ambas as topografias (p>0,9).
Principais informações clínicas e demográficas das participantes (n=20 mulheres)
| Variáveis | Valores |
|---|---|
| Idade (anos), média (DP) | 44,9 (9,2) |
| Fototipo, n (%) | |
| II | 8 (40%) |
| III | 5 (25%) |
| IV‐V | 7 (35%) |
| Histórico de gestação, n (%) | |
| Nunca | 3 (15%) |
| 1‐2 | 11 (55%) |
| 3 ou mais | 6 (30%) |
| Uso de contraceptivo oral, n (%) | 1 (5%) |
| Exposição solar diária, n (%) | 7 (35%) |
| Antecedente familiar de melasma, n (%) | 15 (75%) |
| Idade de início do melasma, média (DP) | 33,3 (10,8) |
| mMASI, média (DP) | 4,0 (2,4) |
mMASI, Modified Melasma Area and Severity Index.
A epiderme com melasma (figs. 1 e 2) apresentou menor espessura do epitélio (187 vs. 207μm; p<0,01), porém maior taxa de proliferação (HSCORE 36 vs. 27; p=0.02). Não houve correlação entre o HSCORE, mMASI, espessura da epiderme e a expressão epitelial do AhR (p>0,3).
A maior expressão de AhR na epiderme e unidades pilossebáceas no melasma pode indicar a participação de estímulos ambientais (especialmente poluição) na sua patogênese, e subsidiar a maior prevalência de melasma em centros urbanos. Além disso, a luz ultravioleta, principalmente UVB, e a exposição à luz visível geram formilindolo‐(3,2‐b)‐carbazol, que é ligante de alta afinidade e ativador endógeno da transcrição do AhR, reforçando a ação sinérgica da radiação solar aos poluentes atmosféricos.10
Poluentes microparticulados penetram na pele por vias intracelulares, intercelulares e pelos folículos pilosos e glândulas sudoríparas. No melasma, há prejuízo da barreira cutânea e redução da espessura do epitélio, em comparação com a pele adjacente, o que pode favorecer a permeação de poluentes.2 As ERO geradas pela ativação do AhR contribuem para danos oxidativos da epiderme e derme superior. Esse microambiente inflamatório acelera a degradação de colágeno e secreção de mediadores inflamatórios que podem induzir a melanogênese persistente.2,5,7
A ativação do AhR pode mediar a melanogênese por via canônica ou não canônica. Na via canônica, após a ativação, AhR transloca‐se para o núcleo, onde interage com o parceiro de heterodimerização ARNT (Aryl Hydrocarbon Receptor Nuclear Translocator), formando um complexo que se liga a elementos de resposta específicos no DNA, como o elemento de resposta a xenobióticos. Isso resulta na transcrição de genes como CYP1A1 e B1, que influenciam a síntese de melanina. Já a via não canônica envolve interações diretas ou indiretas do AhR com proteínas sinalizadoras, independentemente de ARNT, incluindo ativação de quinases intracelulares e vias como MAPK (Mitogen‐Activated Protein Kinase). Essas vias podem promover a expressão de fatores pró‐melanogênicos, como o MITF, que induzem a síntese de melanina.5–8,11 Entretanto, tais vias melanogênicas foram demonstradas em culturas de células e modelos murinos, e nosso experimento foi baseado em imuno‐histoquímica de tecido parafinado de dermatose pigmentar.
Além da hipertrofia melanocítica, melasma apresenta alterações estruturais de toda a epiderme, derme superior e função de barreira. As taxas aumentadas de replicação celular com menor espessura do epitélio podem refletir o intenso trânsito celular induzido por fatores de crescimento e inflamatórios da derme superior, estruturalmente comprometida na doença. Fenômeno similar ocorre no epitélio atrófico do fotoenvelhecimento.2,12
As principais limitações do estudo residem na amostra modesta, marcação diferencial discreta, incluir apenas mulheres e não haver um estudo funcional das vias ativadas pelo AhR. Ainda, o uso de imuno‐histoquímica manual em anticorpo experimental pode ser considerado uma limitação. Estudos posteriores devem explorar o efeito do bloqueio do AhR na supressão da melanogênese e do envelhecimento cutâneo, assim como investigar possíveis estímulos melanogênicos oriundos das glândulas sebáceas no melasma.13
Concluindo, evidenciou‐se maior expressão do AhR epidérmico e nas unidades pilossebáceas da pele com melasma em comparação com a adjacente, sugerindo participação na sua patogênese. A epiderme do melasma mostrou, ainda, menor espessura com maior taxa de replicação.
Suporte financeiroPrêmio de Pesquisa – Exposome Grant 2022 Vichy.
Contribuição dos autoresCarolina Nunhez da Silva: Concepção e planejamento do estudo; análise e interpretação dos dados; redação do artigo; revisão crítica de literatura; revisão crítica do manuscrito; aprovação da versão final do manuscrito.
Tony Fernando Grassi: Análise e interpretação dos dados; redação do artigo; objenção dos dados; aprovação da versão final do manuscrito.
Hélio Amante Miot: Concepção e planejamento do estudo; análise e interpretação dos dados; análise estatística; redação do artigo; revisão crítica de literatura; revisão crítica do manuscrito; aprovação da versão final do manuscrito.
Ana Cláudia Cavalcante Espósito: Concepção e planejamento do estudo; análise e interpretação dos dados; redação do artigo; revisão crítica de literatura; revisão crítica do manuscrito; aprovação da versão final do manuscrito.
Conflito de interessesNenhum.
Disponibilidade de dados de pesquisaTodo o conjunto de dados que dá suporte aos resultados deste estudo foi publicado no próprio artigo.
EditorLuciana P. Fernandes Abbade.
Como citar este artigo: da Silva CN, Grassi TF, Miot HA, Espósito ACC. Expression of the aryl hydrocarbon receptor (AhR) in facial melasma skin compared to healthy perilesional skin. An Bras Dermatol. 2025;100:501181.
Trabalho realizado no Faculdade de Medicina, Universidade Estadual Paulista, Botucatu, SP, Brasil.





