Lobomicose é uma infecção crônica e granulomatosa causada pela levedura Lacazia loboi, típica das áreas geográficas tropicais e subtropicais. A transmissão ocorre por meio da inoculação traumática na pele, sobretudo em áreas expostas, de pessoas que trabalham em contato com o solo. As lesões são restritas à pele e tecido subcutâneo, com aspecto queloidiforme em sua maioria. A ocorrência de carcinoma espinocelular sobre lesões cutâneas de longa evolução é bem conhecida, porém, são raros os relatos de lobomicose associados ao carcinoma escamocelular. Apresenta‐se um paciente procedente da Amazônia brasileira, com lobomicose e degeneração carcinomatosa, com desfecho desfavorável, devido ao diagnóstico tardio da doença.
Paciente indígena, 83 anos de idade, agricultor, procedente de Santa Izabel do Rio Negro (AM), com lesões cutâneas disseminadas nos membros havia 30 anos. História pregressa de hipertensão, e atividade laboral como extrativista.
Ao exame, apresentava múltiplos nódulos de aspecto queloidiforme nos membros superiores e inferiores. No maléolo medial direito havia lesão vegetante (fig. 1), e na fossa cubital esquerda, extensa lesão tumoral ulcerada com 4 meses de evolução, apresentando exposição de tendões, hemorragia persistente e bordas de aspecto queloidiforme (fig. 2). Foi inicialmente tratado com antibióticos em seu município; posteriormente, foi encaminhado para enfermaria de Dermatologia.
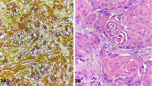
O exame histopatológico dessas duas lesões mais recentes revelou epiderme atrófica, hialinização e espessamento das fibras colágenas, além da presença de células gigantes multinucleadas contendo estruturas fúngicas arredondadas birrefringentes. Na coloração de Grocott, essas estruturas foram visualizadas com maior evidência (fig. 3A). O exame micológico direto demonstrou elementos fúngicos elípticos em forma catenular (cadeias) de parede grossa, isolados ou em gemulação única.
A histopatologia da lesão tumoral do MSE evidenciou denso infiltrado inflamatório linfocítico, presença de pérolas córneas e proliferação de células escamosas com moderado pleomorfismo, núcleos hipertróficos e hipercromáticos, fechando o diagnóstico de carcinoma escamocelular (CEC) (fig. 3B).
A imuno‐histoquímica revelou neoplasia epitelial infiltrativa com diferenciação escamosa e positividade de P63, CK5/6 e GATA3.
Foi solicitado parecer do cirurgião oncológico, porém a cirurgia para exérese do CEC seria de grande porte e contraindicada no paciente em razão da idade avançada, de comorbidades e do quadro clínico crítico. Optou‐se pela realização de cuidados paliativos; após um mês da alta hospitalar, o paciente foi a óbito.
DiscussãoA lobomicose, denominada lacaziose, blastomicose queloideana ou doença de Jorge Lobo, é infecção crônica granulomatosa que pode afetar humanos e golfinhos. O agente etiológico é o fungo Lacazia loboi, com maior incidência nas Américas Central e do Sul, especialmente na bacia do rio Amazonas.1,2
A transformação maligna pode ocorrer sobre úlceras crônicas, fístulas e cicatrizes de várias etiologias, inclusive infecciosas, como hanseníase, tuberculose e lobomicose. CEC é o câncer de pele mais comum nesses casos e resulta da proliferação maligna dos queratinócitos.3
Não há descrição na literatura da dermatoscopia de lesões de lobomicose. Demonstramos os achados de uma dermatoscopia de lesão nodular da perna deste paciente, com áreas de hiperpigmentação entremeadas por hipopigmentação, escamas, crostas hemáticas e vários pontos pretos. Estruturas vasculares não foram evidenciadas (fig. 4).
A escolha do tratamento é definida pela apresentação clínica da doença. Nas formas unifocais e localizadas, o procedimento cirúrgico é o mais indicado, podendo ser associado a medicações orais como clofazimina, dapsona e itraconazol, com a finalidade de evitar recidiva. A combinação de itraconazol e crioterapia pode ser útil em pacientes com lesões grandes e multifocais.4,5
São raros os casos de pacientes com lobomicose de longa evolução que desenvolveram CEC. O diagnóstico precoce e o seguimento cuidadoso desses pacientes são fundamentais para evitar a progressão das lesões e a degeneração carcinomatosa.
Suporte financeiroNenhum.
Contribuição dos autoresWanessa da Costa Lima: Aprovação da versão final do manuscrito; concepção e planejamento do estudo; elaboração e redação do manuscrito; obtenção, análise e interpretação dos dados; participação efetiva na orientação da pesquisa; participação intelectual em conduta propedêutica e/ou terapêutica de casos estudados; revisão crítica da literatura; revisão crítica do manuscrito.
Sidharta Quercia Gadelha: Concepção e planejamento do estudo; participação intelectual em conduta propedêutica e/ou terapêutica de casos estudados; revisão crítica da literatura, revisão crítica do manuscrito.
Mara Lúcia Gomes de Souza: Aprovação da versão final do manuscrito; concepção e planejamento do estudo; elaboração e redação do manuscrito; obtenção, análise e interpretação dos dados; participação efetiva na orientação da pesquisa; participação intelectual em conduta propedêutica e/ou terapêutica de casos estudados; revisão crítica da literatura; revisão crítica do manuscrito.
Virginia Vilasboas Figueiras: Aprovação da versão final do manuscrito; concepção e planejamento do estudo; elaboração e redação do manuscrito; obtenção, análise e interpretação dos dados; participação efetiva na orientação da pesquisa; participação intelectual em conduta propedêutica e/ou terapêutica de casos estudados; revisão crítica da literatura; revisão crítica do manuscrito.
Conflito de interessesNenhum.





