O fenômeno isotópico de Wolf ocorre quando uma nova dermatose se instala em local já cicatrizado de doença dermatológica prévia, de outra etiologia. Relatamos o caso de uma paciente do sexo feminino de 44 anos, em tratamento para carcinoma de mama, que apresentou surgimento recente de lesões eritemato‐acastanhadas em região cicatricial de herpes‐zóster prévio no hemitórax direito. A histopatologia e a imuno‐histoquímica confirmaram metástase cutânea de neoplasia mamária. As cicatrizes de herpes‐zóster requerem atenção em virtude da possibilidade de ocorrência de resposta isotópica como fator facilitador de algumas dermatoses, por vezes graves, como neoplasias.
O fenômeno isotópico de Wolf (FIW) é definido como a ocorrência de uma nova dermatose cutânea que se instala no local de doença dermatológica prévia e cicatrizada. Muitas lesões cutâneas na topografia do herpes‐zóster (HZ) foram descritas como FIW; essa infecção viral é a doença primária mais comumente descrita predispondo a resposta em questão, inclusive o termo “fenômeno isotópico de Wolf pós‐herpético” foi sugerido por vários autores.1 Carcinoma de mama é incomumente reportado relacionado ao FIW, e o estudo histopatológico é fundamental para o diagnóstico final.1,2
Relato do CasoRelatamos caso de uma mulher de 44 anos, em tratamento para neoplasia de mama metastática para pulmão, pleura e ossos, com mastectomia radical, quimioterapia com docetaxel e radioterapia prévia, atualmente em tratamento quimioterápico com fulvestranto e ribociclibe. História de HZ no hemitórax direito há dois meses, com diagnóstico clínico pela apresentação clássica inicial, boa resposta terapêutica ao aciclovir e remissão completa do quadro. Iniciou com novas lesões de pele no mesmo local há uma semana, porém com características levemente diferentes, como discreta infiltração da mesma e ausência de vesículas, erosões ou secreção.
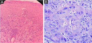
Ao exame físico, no hemitórax direito apresentava algumas máculas e uma extensa placa eritemato‐acastanhada, pouco infiltrada, com descamação discreta (fig. 1). A histopatologia da placa cutânea demonstrou metástase de carcinoma pouco diferenciado, e a imuno‐histoquímica revelou positividade para CK‐7, GATA‐3, confirmando metástase cutânea de carcinoma pouco diferenciado de mama e positividade para Ki‐67 em 20% das células neoplásicas (figs. 2 e 3).
No presente caso, em contexto de imunossupressão (neoplasia de base em vigência de quimioterapia), o diagnóstico inicial de um novo episódio de HZ seria possível, porém o diagnóstico diferencial com a infiltração tumoral local também precisaria ser considerado, quando se relembra da existência do FIW, em particular pela configuração atípica da doença e o quadro clínico arrastado.1–3O FIW é uma entidade rara, provavelmente subdiagnosticada, e consiste no desenvolvimento de uma dermatose no local de lesão cutânea prévia, de etiologia distinta e já cicatrizada. Na maioria dos casos, a primeira dermatose é o herpes (zóster ou simples), embora outras lesões de pele possam também preceder a segunda lesão. A resposta isotópica pode revelar diversas afecções – como doenças granulomatosas, impetigo, psoríase e mesmo tumores malignos.4
O termo “resposta isotópica de Wolf” foi introduzido em 1995. Apesar de o primeiro caso clínico descrito datar de 1929, a compreensão desse fenômeno é recente, e o número de casos conhecidos é relativamente escasso.4–6 Essa resposta difere do fenômeno isomórfico de Köebner, pois este se caracteriza pelo desenvolvimento da mesma doença em outro local de pele, induzida por processos traumáticos e/ou inflamatórios, enquanto o FIW se caracteriza pelo aparecimento de uma nova doença no mesmo local anteriormente afetado.7
A patogênese do FIW permanece incerta e inclui fatores vasculares, imunológicos e virais. Alguns autores defendem que a infecção herpética, ao destruir fibras nervosas cutâneas, poderia desencadear fenômenos de desregulação imune, favorecendo assim o desenvolvimento de reações inflamatórias ou originando imunossupressão local (importante nos casos de infiltração tumoral).1–3O diagnóstico diferencial entre as duas dermatoses é de extrema importância, visto que o tratamento difere entre elas. O HZ é uma manifestação cutânea resultante da reativação de uma infecção prévia pelo vírus varicela‐zóster, que permanece latente nos gânglios sensoriais, e se apresenta tipicamente com uma fase prodrômica de sintomas inespecíficos e posteriormente apresenta‐se com a característica erupção eritemato‐pápulo‐vesiculosa, que acompanha o trajeto de um dermátomo e respeita a linha média, em geral. Na histopatologia, pode‐se observar vesícula intraepidérmica ou ulceração, assim como necrose epidérmica e balonização, ceratinócitos grandes e pálidos, com núcleos cinza‐metálicos, marginação da cromatina na borda do núcleo, algumas vezes com inclusões intranucleares rosadas circundadas por uma fenda artefatual (inclusões tipo A de Cowdry, corpúsculos de Lipschutz, “olhos de coruja”), acantólise ou formação de ceratinócitos multinucleados. Pode haver também eritrócitos extravasados e linfócitos ou neutrófilos perivasculares difusos, algumas vezes com alterações de vasculite leucocitoclástica. Outros métodos diagnósticos disponíveis para o HZ são as culturas, técnicas de anticorpo fluorescente em esfregaços ou preparações de Tzanck.8
O carcinoma de mama é a neoplasia que mais comumente produz metástase cutânea em mulheres, em geral detectada no tronco sob a forma de placa endurecida/infiltrada ou nódulo, e comumente é um adenocarcinoma. A metástase do câncer de mama ocorre geralmente nos três primeiros anos após o diagnóstico da neoplasia e em mulheres na faixa etária entre 50‐70 anos. Na histopatologia são encontrados nódulos tumorais com núcleos pleomórficos e hipercromáticos, com quantidades aumentadas de mitoses na derme. Formações glandulares em alguns casos podem conter mucina.
A maioria dos carcinomas de mama metastáticos expressam, à imuno‐histoquímica, CK7 e CK19, receptores de estrogênio e progesterona, mamaglobina, GCDFP‐15, CEA e E‐caderina, porém são negativos para CK20, CK5/6, CD10 e TTF‐1.8,9 O marcador GATA‐3 tem alta sensibilidade e especificidade para o diagnóstico de carcinoma de mama, especialmente para o subtipo com receptor de estrogênio positivo e Her2 positivo. Já o Ki67 é um biomarcador amplamente utilizado para medir e monitorar o índice de proliferação celular em tumores, inclusive em carcinomas de mama; índices muito altos ou muito baixos são considerados de maior utilidade na avaliação prognóstica.10
No presente caso clínico, a histopatologia apresentava características de metástase de carcinoma pouco diferenciado e a imuno‐histoquímica foi fundamental, confirmando a hipótese de metástase de carcinoma mamário, pois expressou os marcadores CK‐7 e GATA‐3, além do Ki‐67 em 20% das células neoplásicas.
ConclusãoA infecção pelo vírus varicela‐zóster resulta em maiores chances de desenvolvimento de HZ e do FIW. É de grande importância atentar para a possibilidade de surgimento de diferentes dermatoses em dermátomos afetados previamente pelo vírus varicela‐zóster, inclusive neoplasias metastáticas como no caso apresentado. Em casos de suspeita de FIW, os estudos histopatológicos e imuno‐histoquímicos são de extrema relevância.
Suporte financeiroNenhum.
Contribuição dos autoresBruna Rocha Reolão: Aprovação da versão final do manuscrito; concepção e planejamento do estudo; elaboração e redação do manuscrito; participação intelectual em conduta propedêutica e/ou terapêutica de casos estudados; revisão crítica da literatura; revisão crítica do manuscrito.
Diego Salomón Mora: Aprovação da versão final do manuscrito; concepção e planejamento do estudo; elaboração e redação do manuscrito; participação intelectual em conduta propedêutica e/ou terapêutica de casos estudados; revisão crítica da literatura; revisão crítica do manuscrito.
Michele Caroline dos Santos Garcia: Aprovação da versão final do manuscrito; concepção e planejamento do estudo; elaboração e redação do manuscrito; participação intelectual em conduta propedêutica e/ou terapêutica de casos estudados; revisão crítica da literatura; revisão crítica do manuscrito.
Renan Rangel Bonamigo: Aprovação da versão final do manuscrito; concepção e planejamento do estudo; participação efetiva na orientação da pesquisa; participação intelectual em conduta propedêutica e/ou terapêutica de casos estudados; revisão crítica do manuscrito.
Conflito de interessesNenhum.
 
										
				




