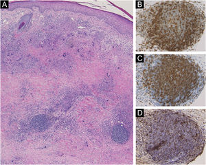
Uma paciente de 58 anos procurou o serviço queixando‐se de lesões cutâneas assintomáticas na parte inferior das pernas, surgidas havia dois anos. Ela não tinha diabetes; entretanto, fora diagnosticada com bócio quase na mesma época do início das lesões cutâneas e estava em acompanhamento. O exame físico mostrou várias placas infiltradas eritêmato‐acastanhadas, bem circunscritas, com bordas elevadas sobre as tíbias, bilateralmente (figs. 1A e 1B). A lesão inicial surgiu em uma cicatriz de queimadura, originalmente causada por um aquecedor de pés elétrico japonês, utilizado na cama no inverno. Posteriormente, lesões semelhantes aumentaram em número nas áreas circundantes e se espalharam para a parte inferior da outra perna. O exame laboratorial mostrou função hepática e renal normais; entretanto, o anticorpo antitireoglobulina (209,2 UI/mL; normal < 28) e o anticorpo antitireoperoxidase (269,1 UI/mL, normal <16) estavam elevados. Os níveis do hormônio estimulante da tireoide (TSH), do anticorpo do receptor de TSH e dos hormônios tireoidianos T3 e T4 livre estavam todos dentro dos limites normais. O exame histopatológico revelou necrobiose do colágeno na derme, circundada por inflamação granulomatosa composta por linfócitos, histiócitos e células gigantes multinucleadas (fig. 2A). Também se observavam, agregados linfoides na periferia do colágeno degenerado na derme inferior. O exame imuno‐histoquímica mostrou intensa expressão de células T CD3+ (fig. 2B) e células B CD20+ (fig. 2C). Os epítopos de pNAd associados a vênulas endoteliais altas (MECA‐79) foram observados dentro dos agregados linfoides (fig. 2D), e células positivas para CXCL13 estavam espalhadas dentro dos agrupamentos linfoides.
A doença mais comum associada à necrobiose lipoidica (NL) é o diabetes mellitus, observado em 43% dos pacientes com NL, enquanto distúrbios da tireoide foram detectados em 15%.1 No presente caso, a NL e a doença da tireoide se desenvolveram quase simultaneamente. Entretanto, os efeitos hormonais sobre o desenvolvimento da NL foram inesperados, porque os níveis de hormônio tireoidiano eram normais. A paciente desenvolveu NL como uma lesão inicial no local da cicatriz de queimadura antiga, sofrida 40 anos antes, depois aumentou em número nas áreas próximas não associadas à cicatriz da queimadura. Os locais de queimadura sofrem uma redução da imunidade e, portanto, tornam‐se sítios imunocomprometidos, onde o comportamento imunológico fica prejudicado para sempre.2 Alternativamente, a NL pode ter ocorrido fortuitamente na cicatriz antiga.
Outro ponto de interesse no presente caso é a característica histopatológica dos folículos linfoides no espécime biopsiado. Estruturas semelhantes a folículos linfoides foram relatadas na pele lesional de NL com uma frequência de 11% (34 de 310 casos).3 A neogênese linfoide ectópica está associada ao desenvolvimento de vênulas endoteliais altas e é mediada por quimiocinas homing. O desenvolvimento de folículos linfoides está associado às interleucinas IL‐17 e IL‐23.4 A IL‐17 causa a indução da quimiocina linfoide, CXCL13. No presente caso, CD20 foi detectado no centro dos folículos linfoides, enquanto CD3 foi observado de maneira difusa. As células pNAd‐positivas estavam espalhadas dentro dos folículos linfoides. Estudos recentes mostraram que a IL‐17 foi detectada em abundância na NL, o que pode induzir a formação de granulomas ao suprimir as células T reguladoras.5 Mais estudos são necessários para esclarecer o significado da presença dos folículos linfoides ectópicos na patogênese da NL.
Suporte financeiroNenhum.
Contribuição dos autoresShohei Igari: Projetou o estudo; realizou o estudo e contribuiu para a análise e interpretação dos dados; redigiu o manuscrito; aprovou a versão final do manuscrito.
Mayu Sato: Realizou o estudo e contribuiu na análise e interpretação dos dados; aprovou a versão final do manuscrito.
Toshiyuki Yamamoto: Projetou o estudo; revisou o manuscrito quanto ao conteúdo intelectual importante; aprovou a versão final do manuscrito.
Conflito de interessesNenhum.



