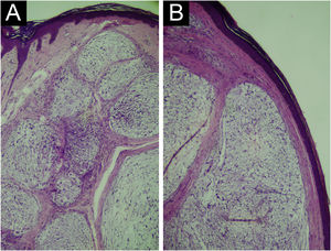
Paciente do sexo masculino, de 35 anos, referiu lesão na perna direita há quatro anos, apresentando crescimento progressivo. Ao exame, apresentava nodulação normocrômica na face anterolateral da perna direita, dolorosa à palpação profunda (fig. 1). Foi realizada biopsia excisional em fuso e aventada como hipótese diagnóstica as lesões dolorosas do acrônimo “ENGLAND” ‐ que engloba o espiroadenoma écrino, neuroma, tumor glômico, leiomioma, angiolipoma, neurilenoma e dermatofibroma. Na macroscopia, foi recebido fragmento elíptico de pele que media 1,7×1,0×0,4cm e apresentava superfície epidérmica finamente reticulada, de coloração parda, com lesão sobrelevada, que media 0,8×0,8×0,3cm de aspecto granuloso, coloração acinzentada e consistência firme. Aos cortes, a lesão apresentava‐se lisa e esbranquiçada com pequena cavidade cística central medindo 0,3cm de diâmetro, sem conteúdo e tangenciando margem profunda. À microscopia, a epiderme apresentava‐se retificada (fig. 2). Na derme, havia proliferação multilobular de células fusiformes ou estreladas, com núcleo vesicular e envoltas por abundante mucina (fig. 3). Foi realizado estudo imuno‐histoquímico para proteína S100 (policlonal; fig. 4A), o qual resultou positivo, assim como Vimentina (fig. 4B e C). A análise do Ki67 resultou em baixo índice de proliferação celular (fig. 4D).
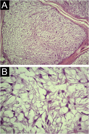
(A) Epiderme retificada. Derme com proliferação de células fusiformes e estreladas embebidas em matriz mixoide, formando lóbulos bem circunscritos, separados por septos fibrosos (Hematoxilina & eosina, 40×). (B) Proliferação de células fusiformes e estreladas, formando nódulos bem circunscritos, separados por septos fibrosos (Hematoxilina & eosina, 100×).
(A) Imuno‐histoquímica com anticorpo antiproteína S100 mostrando positividade nas células da neoplasia e no nervo adjacente, abaixo à esquerda (100×). (B e C) Imuno‐histoquímica com anticorpo vimentina mostrando positividade nas células da neoplasia (100×). (D) Imuno‐histoquímica com anticorpo Ki67 mostrando baixo índice de proliferação celular (100×).
O neurotecoma é tumor cutâneo benigno raro derivado da bainha neural, descrito em 1969 por Harkin e Reed como “mixoma da bainha do nervo”.1 Atualmente, considera‐se que o neurotecoma seja derivado da bainha de nervos cutâneos terminais e com características heterogêneas, com base no fato de que as bainhas neurais são compostas por células de diferentes linhagens que compõem cada uma das camadas que revestem os axônios – epineuro, perineuro e endoneuro.2,3 Os tumores derivados do endoneuro, que é composto por abundantes fibras colágenas longitudinais, glicosaminoglicanos, poucos fibroblastos, células de Schwann e capilares, apresentam características mixoides e suas células apresentam diferenciação da linhagem neuroectodérmica e mesenquimal, e são positivos para a proteína S100.4 Já os tumores derivados do perineuro e epineuro são mais celulares e negativos para a proteína S100.3 Alguns autores consideram que o subtipo mixoide corresponde a um modo de degeneração da variedade celular, fato que pode ser sustentado pela idade avançada dos pacientes que apresentam essa variante.5 Por outro lado, outros autores consideram que essas duas variantes correspondem a alterações distintas.3
Clinicamente se manifestam como pápulas de crescimento lento, razão pela qual podem levar meses a anos para serem diagnosticadas. Normalmente são assintomáticas, mas podem apresentar‐se dolorosas.5,6 O diagnóstico definitivo é realizado pelo estudo histológico.3 Os três padrões morfológicos apresentam características distintas, porém têm alguns aspectos semelhantes, como sua localização na derme e nos tecidos profundos, ser uma lesão bem circunscrita, apresentar focos de hialinização ocasional e ausência de cápsula.7 A variante mais frequente é a mixoide (variante clássica), que ocorre geralmente em pacientes mais velhos (idade média 44,7 anos) e é duas vezes mais comum em mulheres. É caracterizado pela formação de lóbulos bem circunscritos de células fusiformes e estreladas, pequenas e delgadas, com núcleo vesicular, sem nucléolo, atipia ou mitose, embebidas em uma matriz mixoide amorfa. A variante celular, vista em pacientes jovens (idade média de 20,5 anos) e também mais frequente em mulheres, tem maior densidade celular, dispostas em agregados ou nódulos. Em geral, o tumor ‐ que está localizado na derme reticular ‐ está separado dos demais tecidos por uma zona Grenz.5,8,9 A última forma histológica é a mista, que apresenta características tanto da forma mixoide como da celular. Os neurotecomas podem ter grande número de diagnósticos diferenciais, em virtude de suas características clínicas e histológicas. Dentre eles estão os tumores fibrosos (dermatofibroma, por exemplo), tumores histiocíticos, linfocíticos, melanocíticos, musculares, neurais e vasculares. O fato de alguns neurotecomas apresentarem‐se clinicamente como lesões dolorosas pode levar à possibilidade diagnóstica de lesões dolorosas do acrônimo “ENGLAND”. O estudo imuno‐histoquímico também auxilia no diagnóstico, principalmente para o estudo da proteína S100, que como no caso relatado, sua positividade confirma o diagnóstico de neurotecoma mixoide.7,9
Suporte financeiroNenhum.
Contribuição dos autoresMariana Abdo de Almeida: Aprovação da versão final do manuscrito; concepção e planejamento do estudo; elaboração e redação do manuscrito; obtenção, análise e interpretação dos dados; participação efetiva na orientação da pesquisa; participação intelectual em conduta propedêutica e/ou terapêutica de casos estudados; revisão crítica da literatura; revisão crítica do manuscrito.
Neusa Yuriko Sakai Valente: Aprovação da versão final do manuscrito; concepção e planejamento do estudo; elaboração e redação do manuscrito; obtenção, análise e interpretação dos dados; participação efetiva na orientação da pesquisa; participação intelectual em conduta propedêutica e/ou terapêutica de casos estudados; revisão crítica da literatura; revisão crítica do manuscrito.
Eduardo César Diniz Macêdo: Aprovação da versão final do manuscrito; concepção e planejamento do estudo; elaboração e redação do manuscrito; obtenção, análise e interpretação dos dados; participação intelectual em conduta propedêutica e/ou terapêutica de casos estudados; revisão crítica da literatura; revisão crítica do manuscrito.
Bruna Nascimento Arruda Scabello: Aprovação da versão final do manuscrito; elaboração e redação do manuscrito; obtenção, análise e interpretação dos dados; participação intelectual em conduta propedêutica e/ou terapêutica de casos estudados; revisão crítica da literatura; revisão crítica do manuscrito.
Patrícia Porto de Oliveira Grossi: Aprovação da versão final do manuscrito; elaboração e redação do manuscrito; obtenção, análise e interpretação dos dados; participação intelectual em conduta propedêutica e/ou terapêutica de casos estudados; revisão crítica da literatura; revisão crítica do manuscrito.
Conflito de interessesNenhum.
 
										
				









