A síndrome de McCune‐Albright é uma doença genética com mosaicismo cutâneo causado por mutações ativadoras pós‐zigóticas no locus GNAS. Ela consiste em uma tríade de displasia óssea fibrosa, máculas café‐com‐leite e puberdade precoce. Examinamos uma paciente do sexo feminino, de 22 anos, com mancha café com leite no lado direito do abdômen, com distribuição semelhante a um tabuleiro de xadrez, estendendo‐se até a coxa direita com contornos geográficos. Ela também apresenta cisto ovariano, escoliose e obesidade troncular. Biópsias foram obtidas da área hiperpigmentada e processadas por microscopia óptica e microscopia eletrônica de transmissão. A microscopia óptica mostrou pigmento de melanina aumentado com coloração H&E. A imunohistoquímica com marcadores melanocíticos (HMB‐45 e Melan‐A) revelou um número normal de melanócitos. A microscopia eletrônica de transmissão demonstrou estruturas epidérmicas normais, como desmossomos, filamentos de citoqueratina e hemidesmossomos. Com grandes ampliações, observou‐se um contorno melanossomal irregular, com recortes em seu contorno.
A síndrome de McCune‐Albright (SMA) – OMIM # 174800 – é uma doença genética com mosaicismo cutâneo causado por mutações ativadoras pós‐zigóticas no locus GNAS, codificando a proteína Gsα.1,2 A SMA foi originalmente descrita em 1936 como uma tríade de displasia fibrosa óssea, máculas cutâneas café‐com‐leite e puberdade precoce. No entanto, agora é reconhecido que seu fenótipo é muito mais complexo.3 Outras endocrinopatias, incluindo hipertireoidismo, cistos ovarianos produtores de estrogênio, excesso de hormônio do crescimento, perda de fosfato renal com ou sem raquitismo/osteomalácia e síndrome de Cushing podem ser observadas em associação com a tríade original.2,4
A SMA é mais frequentemente identificada por achados dermatológicos. As máculas café‐com‐leite aparecem no período neonatal ou nos primeiros meses de vida. Essas máculas têm bordas irregulares (descritas como “costa do Maine”) e são unilaterais.5
Existem ainda lacunas de conhecimento substanciais sobre a fisiopatologia da SMA e sua história natural,6 e há poucas informações sobre as máculas café‐com‐leite, que foram examinadas com microscopia óptica, imuno‐histoquímica e microscopia eletrônica de transmissão (MET) neste relato.
Materiais e métodosFoi examinada uma paciente de 22 anos que apresentava manchas café‐com‐leite hipercrômicas segmentares no lado direito do abdome desde o nascimento, com distribuição semelhante a um tabuleiro de xadrez, respeitando a linha média (fig. 1A), estendendo‐se à coxa direita com contornos geográficos (figs. 1B e C). A paciente foi submetida à correção cirúrgica de escoliose na infância e apresentava também cisto ovariano e obesidade troncular. Ela havia sido diagnosticada com neurofibromatose tipo 1 na infância, porém sem a presença de neurofibromas, nódulos de Lish ou efélides axilares.
As biópsias foram retiradas da área hiperpigmentada e analisadas com microscopia óptica – hematoxilina & eosina (HE) e imuno‐histoquímica com HMB‐45 e Melan‐A – e com MET tendo a epiderme como alvo dos cortes ultrafinos.
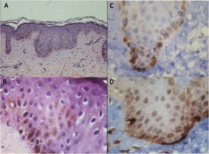
ResultadosA microscopia óptica mostrou aumento do pigmento melanina na coloração pela HE (fig. 2A), e em algumas áreas o pigmento foi visto também nas camadas suprabasais (fig. 2B). A imuno‐histoquímica com marcadores melanocíticos (HMB‐45 e Melan‐A) revelou um número normal de melanócitos (figs. 2C e D).
Microscopia óptica. (A), Aumento do pigmento melanina na coloração pela Hematoxilina & eosina (150×). (B), Aumento do pigmento melanina na coloração pela Hematoxilina & eosina, que também foi observado nas camadas suprabasais (400×). (C), A imuno‐histoquímica com marcador melanocítico (HMB‐45) confirmou um aumento de melanina e revelou um número normal de melanócitos (400×). (D), A imuno‐histoquímica com marcador melanocítico (HMB‐45) confirmou um aumento de melanina e revelou um número normal de melanócitos (400×).
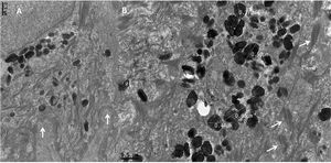
A MET demonstrou estruturas epidérmicas normais, como desmossomos, filamentos de citoqueratina, membrana basal e hemidesmossomos (fig. 3). Observou‐se elevada quantidade de melanossomas nos queratinócitos (fig. 3B), que mediam 0,38 a 0,67nm, além de variação na sua forma e no tamanho (figs. 3B, 4A e 5).
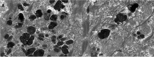
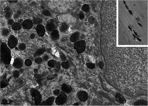
Com grandes ampliações, puderam ser observados recortes no contorno dos melanossomas (fig. 4), bem como um contorno melanossomal irregular (fig. 5), em contraste com os melanossomas normais, que apresentam contorno regular e formato oval (fig. 5, detalhe).
Os sinais clínicos da paciente examinada estão de acordo com a literatura, com mácula café‐com‐leite segmentar, envolvimento ósseo e ovariano.
A microscopia óptica mostrou um aumento do pigmento melanina com um número normal de melanócitos nas lesões hipercrômicas da SMA, demonstrado pelos marcadores de melanócitos.
Não há relatos de estudos ultraestruturais em máculas café‐com‐leite na SMA, e foi encontrado apenas um estudo que avaliou manchas café‐com‐leite utilizando microscopia eletrônica em neurofibromatose em 1992. Nenhum achado ultraestrutural anormal foi observado nos melanócitos ou queratinócitos epidérmicos, e os melanossomas (tanto nos melanócitos quanto nos queratinócitos epidérmicos) tinham aspecto normal.7
Os achados do presente estudo também demonstraram aumento de pigmento de melanina. Nas grandes ampliações, entretanto, os melanossomas apresentaram aspecto anormal, sugerindo defeito em sua síntese na SMA.
Este estudo apresenta a primeira descrição das características de manchas café‐com‐leite em uma paciente com SMA na microscopia eletrônica de transmissão, descrevendo alterações ultraestruturais em melanossomas que apresentaram um contorno irregular em grandes ampliações. O dermatologista deve reconhecer esse distúrbio, considerando a possibilidade de que essas máculas vistas na SMA podem ser confundidas com neurofibromatose, como no caso aqui descrito.
Suporte financeiroNenhum.
Contribuição dos autoresVictor Garcia Neto: Aprovação da versão final do manuscrito; concepção e planejamento do estudo; elaboração e redação do manuscrito; obtenção, análise e interpretação dos dados; revisão crítica do manuscrito.
Hiram Larangeira de Almeida Jr.: Aprovação da versão final do manuscrito; concepção e planejamento do estudo; elaboração e redação do manuscrito; obtenção, análise e interpretação dos dados; participação efetiva na orientação da pesquisa; revisão crítica do manuscrito.
Claúdia Fernandes Lorea: Aprovação da versão final do manuscrito; concepção e planejamento do estudo; elaboração e redação do manuscrito; obtenção, análise e interpretação dos dados; revisão crítica do manuscrito.
Valéria Magalhães Jorge: Aprovação da versão final do manuscrito; concepção e planejamento do estudo; elaboração e redação do manuscrito; obtenção, análise e interpretação dos dados; revisão crítica do manuscrito.
Antônia Larangeira de Almeida: Aprovação da versão final do manuscrito; concepção e planejamento do estudo; elaboração e redação do manuscrito; obtenção, análise e interpretação dos dados; revisão crítica do manuscrito.
Conflito de interessesNenhum.
Como citar este artigo: Garcia Neto V, Almeida Jr. HL, Lorea CF, Jorge VM, Almeida AL. Mc Cune‐Albright syndrome: a case report with transmission electron microscopy. An Bras Dermatol. 2022;97:58–62.
Trabalho realizado no Programa de Pós‐Graduação em Saúde e Comportamento da Universidade Católica de Pelotas e Liga de Dermatologia da Universidade Federal de Pelotas, Pelotas, RS, Brasil.
 
										
				











