Urticária multiforme (UM) é uma doença benigna incomum que ocorre, principalmente, na primeira infância.1,2 É caracterizada por lesões anulares e arciformes com centro violáceo, pode ser acompanhada de febre de curta duração (um a três dias), além de edema de mãos e pés.2,3 É uma doença ainda pouco reconhecida, com escassos relatos na literatura. Além disso, trata‐se de um importante diagnóstico diferencial do eritema multiforme.
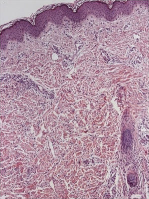
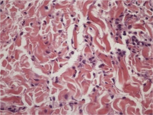
Lactente feminina, nascida com 31 semanas de idade gestacional devido à restrição de crescimento intrauterino. Com 4 meses, após fazer as vacinas meningocócica e pneumocócica, surgiram máculas anulares com bordas eritematosas e centro vermelho fosco (fig. 1). As lesões apresentavam caráter efêmero (24 horas), surgiram novas máculas concomitantemente. Pela baixa idade, não foi possível avaliar prurido. Feita hipóteses diagnósticas de UM e eritema anular da infância. Optou‐se por uma biópsia para estudo anatomopatológico, que evidenciou epiderme conservada, infiltrado inflamatório linfo‐histiocitário superficial e profundo perivascular e intersticial com alguns eosinófilos de permeio. Ausência de vasculite, corroborou para o diagnóstico de UM (figs. 2 e 3). Iniciado tratamento com anti‐histamínico (hidroxizina 0,5mg/kg de 12/12h). Após 10 dias, o quadro regrediu por completo, sem lesão residual.
Descrita inicialmente em 1997 por Tamayo‐Sanchez et al., sob o nome de urticária anular aguda,1 teve seu nome alterado em 2007 por Shah et al., ao relatarem 19 casos de UM devido à semelhança clínica com o eritema multiforme.2 Esses autores também propuseram que tal desordem seria uma variante da urticária comum, uma vez que seus pacientes apresentaram prurido e dermografismo.1,2
Com poucos casos na literatura, sua etiologia é pouco compreendida. Na maioria dos casos há relação temporal com infecções (micoplasma, adenovírus, estreptococos, Epstein‐Bar), uso de medicações (principalmente antibióticos) e vacinação. Sempau et al. (2016) encontraram associação com uso prévio de amoxicilina.3 Especificamente em neonato já houve comprovada infecção por herpes‐vírus 6 e queda da carga viral, acompanhada de melhoria clínica do paciente.4
A faixa etária mais acometida é entre quatro meses e quatro anos, embora neonatos e adolescentes também desenvolvam a doença. As lesões cutâneas iniciam‐se como urticas que rapidamente se expandem centrifugamente, tornam‐se anulares, coalescem‐se e formam placas arciformes e policíclicas, com centro violáceo ou vermelho fosco, como no caso descrito. Cada lesão evanesce dentro de 24 horas. Um sinal clínico importante é o edema de mãos, pés e face, presente em 61% dos casos.2 O sintoma mais presente é o prurido (94%), porém em pacientes muitos jovens pode ser difícil de avaliá‐lo.2 Febre e dermografismo estão presentes em 44% das vezes, porém o estado geral está preservado.2 O quadro resolve‐se espontaneamente dentro de 10 dias sem deixar cicatrizes.
Os critérios diagnósticos são: placas anulares com centro equimótico, cada lesão dura menos do que 24 horas, episódio de febre associado, duração total da doença menor do que 10 dias e edema de extremidades.3 Exames laboratoriais são desnecessários, são suficientes uma boa anamnese e exame físico dermatológico.
Como na maioria dos casos o diagnóstico faz‐se clinicamente, os registros histopatológicos são escassos. Os achados de edema dérmico superficial associado a infiltrado perivascular e intersticial linfocitário com eosinófilos e ocasionalmente neutrófilos predominam nos relatos. Em um dos casos relatados por Samorano et al. havia presença de histiócitos, assim como no relato aqui apresentado, o que não é um achado comum.5
O principal diagnóstico diferencial é o eritema multiforme. Muitos pacientes são inicialmente diagnosticados como eritema multiforme e posteriormente o diagnóstico é ratificado. Achados clínicos importantes para a diferenciação são a rápida resolução das lesões de UM (< 24h) e presença de centro necrótico, presente no eritema multiforme. Outros diagnósticos diferenciais incluem urticária aguda, em que costuma haver intenso prurido, mas não há febre e as lesões não apresentam centro equimótico.2 Em crianças com febre e edema acral e de face deve‐se diferenciar de reação semelhante a doença do soro, que ocorre após administração de soro animal ou proteínas estranhas e o quadro clínico mais comum engloba febre, artralgia, angioedema, urticária e linfadenopatia.2,3 Também o eritema anular centrífugo, eritema crônico migratório, exantema viral, urticária vasculite e lúpus eritematoso.
O tratamento da UM é sintomático, uma vez que há resolução espontânea na maioria dos casos, como visto na paciente deste relato. Devem‐se descontinuar quaisquer medicações suspeitas e não necessárias.1 Anti‐histamínicos sistêmicos para alívio de sintomas. Em casos refratários e graves, pode ser necessário o uso de corticosteroide sistêmico junto com anti‐histamínico.
Suporte financeiroNenhum.
Contribuição dos autoresMaria Claudia Alves Luce: concepção e planejamento do estudo; elaboração e redação do manuscrito; revisão crítica da literatura.
Bruno de Castro e Souza: concepção e planejamento do estudo; elaboração e redação do manuscrito; revisão crítica da literatura.
Maria Fernanda Vieira Cunha Camargo: aprovação da versão final do manuscrito; participação intelectual em conduta propedêutica e/ou terapêutica de casos estudados; revisão crítica do manuscrito.
Neusa Yuriko Sakai Valente: aprovação da versão final do manuscrito; participação intelectual em conduta propedêutica e/ou terapêutica de casos estudados; revisão crítica da literatura; revisão crítica do manuscrito.
Conflito de interessesNenhum.
À Dra. Maria Fernanda Camargo e à Dra. Neusa Valente pela colaboração neste manuscrito e a toda a equipe do HSPE.
 
										
				







