A alopecia frontal fibrosante (AFF) pertence ao grupo de alopecias cicatriciais linfocíticas e foi descrita pela primeira vez em 1994, por Kossard.1 Clinicamente, observa‐se retração da linha de implantação frontotemporal, frequentemente associada à perda de sobrancelhas e, em alguns casos, à perda de pelos de outras partes do corpo.2
Há uma predileção pelo sexo feminino e indivíduos caucasianos, principalmente no período pós‐menopausa.3 Os primeiros relatos de AFF em pessoas da mesma família surgiram em 2010, quando foi descrita a ocorrência da patologia em duas irmãs.4 A etiopatogênese da AFF ainda é desconhecida, mas a predisposição genética tem sido reforçada por sua associação com alguns alelos de antígeno leucocitário humano (HLA) de classe I. Como a incidência vem aumentando ao longo dos anos, postula‐se que gatilhos ambientais atuais possam agir sobre uma predisposição genética, conduzindo o perfil th1/JAK‐STAT de inflamação na AFF.2
Trata‐se de uma família composta por cinco irmãs negras, com idades entre 56 e 66 anos, todas já menopausadas. A mais jovem delas compareceu ao ambulatório de dermatologia com queixa de rarefação capilar e, após ser questionada sobre seu antecedente familiar, relatou que tinha irmãs com quadro semelhante. Todas foram, então, convidadas a comparecer à consulta para avaliação. Após exame clínico, constatou‐se que quatro delas eram acometidas por AFF (figs. 1 e 2); o diagnóstico também foi confirmado por exame anatomopatológico (fig. 3). As pacientes são procedentes e atuais moradoras da área urbana em São Paulo, moraram juntas até a adolescência e todas realizavam alisamento capilar desde a infância. São filhas dos mesmos pais, já falecidos e avaliados por fotografia – a mãe sem alterações, o pai com sinais de alopecia androgenética. Apenas uma das irmãs, com 63 anos, apresentava couro cabeludo dentro da normalidade.
Tricoscopia de uma das pacientes corroborando o diagnóstico. Descamação peripilar, unidades foliculares com apenas um pelo emergente, inexistência de orifícios foliculares, ausência de fios velus e fundo branco‐marfim com tonalidade eritematosa na área de fibrose. Todas pacientes apresentavam padrão semelhante
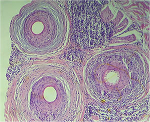
Exame histopatológico de couro cabeludo, folículo piloso (istmo), Hematoxilina & eosina, 100×. Alopecia cicatricial com fibrose concêntrica perifolicular, agressão linfocítica ao epitélio folicular e presença de corpos apoptóticos. A região do infundíbulo e do bulbo não apresentava inflamação
As pacientes acometidas tinham o mesmo padrão clínico, classificado como padrão linear ou tipo I, quando há retração da linha de implantação do cabelo linearmente. A idade do surgimento da doença variou de 40 a 62 anos. A mais jovem tinha o quadro mais avançado, e era a única com início do acometimento antes da menopausa. Apresentava história de uso de protetor solar regular desde a adolescência, há mais tempo que as demais irmãs, que relataram uso irregular há poucos anos. Três delas não tinham pelos em supercílio, e todas apresentavam lesões faciais sugestivas de líquen plano pigmentoso, frequentemente associado à AFF, especialmente em pacientes com fototipo mais alto.5 Dentre as comorbidades mais relacionadas à AFF, uma delas apresentava artrite (não especificada) e outra hipertireoidismo. Os dados clínicos estão detalhados na tabela 1.
Dados clínicos das quatro irmãs com alopecia frontal fibrosante
| Paciente | Idade (anos) | Fototipo | Idade de início dos sintomas (anos) | Subtipo clínico | Líquen plano pigmentoso | Pápulas da face | Alopecia de sobrancelhas | Menopausa (anos) | Comorbidades | Tratamentos capilares |
|---|---|---|---|---|---|---|---|---|---|---|
| 1 | 56 | V | 40 | I | Presente | Ausente | Presente | 55 | HAS, artrite não especificada | Alisamento capilar pregresso (adolescência) |
| 2 | 61 | V | 59 | I | Presente | Ausente | Presente | 50 | DM, dislipidemia, bipolaridade, tabagismo | Alisamento capilar e coloração |
| 3 | 64 | V | 60 | I | Presente | Ausente | Presente | 48 | DM, glaucoma | Alisamento capilar e coloração |
| 4 | 66 | V | 62 | I | Presente | Ausente | Ausente | 50 | HAS, hipertireoidismo, glaucoma | Alisamento capilar e coloração |
DM, diabetes mellitus; HAS, hipertensão arterial sistêmica.
Desde sua descrição, a AFF foi relatada, principalmente, em indivíduos caucasianos. Em virtude da falta de dados na literatura, não se pode afirmar convictamente se a prevalência em afrodescendentes é realmente menor ou se tal população foi menos estudada em relação aos caucasianos.5
A AFF é uma doença relativamente recente e sua prevalência vem aumentando nos últimos anos. Uma vez que etnia afrodescendente e o componente genético são descritos na minoria dos casos, destacamos a relevância do relato deste núcelo familiar.
Suporte financeiroNenhum.
Contribuição dos autoresJéssica Vianna Starek: Aprovação da versão final do manuscrito; elaboração e redação do manuscrito; revisão crítica da literatura; revisão crítica do manuscrito.
Thaís Petry Raszl: Aprovação da versão final do manuscrito; elaboração e redação do manuscrito; revisão crítica da literatura; revisão crítica do manuscrito.
Samar Mohamad El Harati Kaddourah: Aprovação da versão final do manuscrito; revisão crítica do manuscrito.
Conflito de interessesNenhum.





